°øÁö»çÇ×
Á¦ 1ȸ ´ëÇÑ ÄÚ¾î ¿îµ¿. µµ¼öÄ¡·á ¿¬±¸È¸ ¿öÅ©¼¥
ÀÛ¼ºÀÚ : °ü¸®ÀÚ(khu3265442@naver.com) ÀÛ¼ºÀÏ : 2013-02-21 Á¶È¸¼ö : 6763
ÆÄÀÏ÷ºÎ : SCORES -Kimes - KOrea 2013.docx

¾È³çÇϽʴϱî?

ÃÖ±Ù Æò±Õ ¼ö¸íÀÇ Áõ°¡¿¡ µû¶ó °Ç°­ÇÑ ³ëÈİ¡ °³ÀÎ ÇູÀÇ ÇÙ½ÉÀ¸·Î ´ëµÎµÊ¿¡ µû¶ó
 
ÀÚ½ÅÀÇ °Ç°­À» À¯ÁöÇϰí ÁõÁø½Ã۱â À§ÇÑ ¿îµ¿¿¡ ´ëÇÑ °ü½ÉÀÌ ±ÞÁõÇϰí ÀÖÀ¸¸ç ÀÇ·á


±â°ü¿¡¼­µµ ¿îµ¿Ä¡·á ½Ã¼³ÀÇ °³¼³ÀÌ Áõ°¡Çϰí ÀÖ½À´Ï´Ù
. ¿À·¡ ÀüºÎÅÍ ÄÚ¾î ±ÙÀ°ÀÇ 


¿îµ¿Àº ¿©·¯ ºÐ¾ß ¿îµ¿Ä¡·áÀÇ ÇÙ½ÉÀ¸·Î ÀÚ¸® Àâ°í ÀÖ¾úÀ¸³ª ÄÚ¾î ±ÙÀ°À» Á¤È®ÇϰԠ


ÈÆ·Ã½Ã۴µ¥ ¾î·Á¿òÀÌ ÀÖ¾ú½À´Ï´Ù
. ÃÖ±Ù ÃÊÀ½ÆÄ±â±â¸¦ ÀÌ¿ëÇÏ¿© ½Ç½Ã°£ÀûÀ¸·Î 


ÄÚ¾î ±ÙÀ°À» °üÂûÇϸ鼭 ÄÚ¾î ±ÙÀ°À» ¿îµ¿½ÃŰ´Â ¹æ¹ýÀÌ ´ëµÎµÇ¾î ¿Ü±¹¿¡¼­ À̹Ì
 
³Î¸® ½ÃÇàµÇ°í ÀÖ½À´Ï´Ù
.

ÃÊÀ½ÆÄ¸¦ ÀÌ¿ëÇÑ ÄÚ¾î ±ÙÀ°ÀÇ ¿îµ¿Ä¡·á¸¦ °øºÎÇØ¿Â ÀÇ»çµéÀÇ ¸ðÀÓÀÎ ¿ì¸® ¿¬±¸È¸¿¡


¼­´Â ÃÊÀ½ÆÄ¸¦ ÀÌ¿ëÇÑ ÄÚ¾î ±ÙÀ° ¿îµ¿Ä¡·á¸¦ ³Î¸® º¸±Þ½Ã۰íÀÚ Á¦ 
1ȸ ¿öÅ©¼¥À» 


¾Æ·¡¿Í °°ÀÌ ½ÃÇàÇÕ´Ï´Ù
.


¿¬ ±¸ ȸ Àå     °­ À± ±Ô (°í·Á´ëÇб³ ÀçȰÀÇÇаú)

 

ÁÖ       Á¦ : ÃÊÀ½ÆÄ À̹ÌÁö¸¦ ÀÌ¿ëÇÑ ÄÚ¾î ±ÙÀ° ¿îµ¿ Ä¡·á

                 ( Core Muscles Exercise with Real Time Ultrasound Image)

°­       »ç :    Dinesh Verma. P.T/ Founder of SCORES

                    Monika Verma. P.T/ Physio Asia Director

ÀÏ       ½Ã : 3¿ù 24ÀÏ (ÀÏ¿äÀÏ) ¿ÀÀü 9½Ã ~ ¿ÀÈÄ 4½Ã 30ºÐ

´ë       »ó : ÀÇ»ç (12ÀÎ ¼±Âø¼ø µî·Ï)

Àå       ¼Ò : (ÁÖ)ÄھƽºÆ®·Ð °­ÀǽÇ

±³ À°  ºñ : 35¸¸¿ø

ÀÔ ±Ý ó : ±â¾÷ÀºÇà 123-126975-01-010  Á¶¹üÁØÄÚ¾î¿îµ¿µµ¼öÄ¡·á¿¬±¸È¸

ȯºÒÁ¤Ã¥ : °­ÀÇ 3ÀÏ Àü : 100% È¯ºÒ

                  °­ÀÇ 2ÀÏ Àü : 50% È¯ºÒ

                  °­ÀÇ ÀÏ ÀÌÈÄ : È¯ºÒ ¾øÀ½

¹®       ÀÇ : Á¶ ¹ü ÁØ   032-564-8833   gosma91@kornet .net


                  ÃÖ Àç ÀÍ   031-402-6790   jic121@hanmail.net

ÁÖ       ÃÖ : ´ëÇÑ ÄÚ¾î ¿îµ¿.µµ¼öÄ¡·á ¿¬±¸È¸(KSCORE)

ÈÄ       ¿ø : (ÁÖ)ÄھƽºÆ®·Ð

          Âü°í»çÇ×

          1) ¿öÅ©¼¥Àº ÃÊÀ½ÆÄ¸¦ ÀÌ¿ëÇÑ ÄÚ¾î ±ÙÀ° ¿îµ¿Ä¡·á¿¡ ´ëÇÑ °­ÀÇ¿Í ¿îµ¿Ä¡·á

               ½Ç½ÀÀ¸·Î ±¸¼ºµË´Ï´Ù.

           2) ¿îµ¿Ä¡·á ½Ç½ÀÀº ÀÇ»ç 4Àδç ÃÊÀ½ÆÄ Àåºñ 1´ë¾¿ ¹èÁ¤ÇÏ¿© ÃÊÀ½ÆÄ 5´ë·Î

                ½ÃÇàµË´Ï´Ù.

            3) ¿öÅ©¼¥¿¡ Âü¿©ÇϽŠºÐÀº ¿¬±¸È¸ Á¤È¸¿øÀ¸·Î¼­ ÇâÈÄ °³¼³µÉ ȨÆäÀÌÁö¿¡¼­

               °ü·Ã ÀڷḦ Á¦°øÇÕ´Ï´Ù.

            4) ¿öÅ©¼¥ Àå¼Ò : ¼­¿ï °­³²±¸ ¿ª»ïµ¿ 798-29 ´ëÈ£ºôµù 502È£ 02-564-2311

                 (ÁÖÂ÷ °¡´É) Áöµµ

 

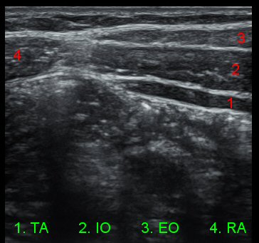
             5)  ÄھƱÙÀ°À̶õ?


2046700316_7ed59554_IMG_20121017_4_4-c.jpg  2046700316_307a4a49_IMG_20121025_1_2-c.jpg  2046700316_248d2405_pelvic.jpg

ÀÌÀü±Û ¿µ¼öÁõ ¹ß±Þ ¾È³»
´ÙÀ½±Û 2013³â ½Ã¸®¾Ç½º Á¤·Ê¼¼¹Ì³ª °­ÀÇÀÚ·á ÀϺΠ°ø°³
       
°¡¸ÍÁ¡¸í : ½Ã¸®¾Ç½ºÁ¤ÇüÀÇÇבּ¸È¸
»ç¾÷ÀÚµî·Ï¹øÈ£ : 894-81-00627 | ´ëÇ¥ÀÚ : ÀåµÎÇõ
 
ÁÖ¼Ò : °æ±âµµ ¾çÆò±º ¿ë¹®¸é ¿ë¹®·Î 375-1, 2Ãþ 1È£
TEL : 010-2323-4055
E-mail : cyriax12@naver.com
ÀԱݾȳ»
±¹¹ÎÀºÇà | ½Ã¸®¾Ç½ºÁ¤ÇüÀÇÇבּ¸È¸(ÁÖ)
220401-04-194155