³ªÀÌ ¼ºº° : 42¼¼ /³²ÀÚ ÁÖ Áõ »ó : ¿ìÃø ¼Õ°¡¶ô °¨°¢ µÐÈ ¹× ¼Õ°¡¶ô ¿òÁ÷ÀÓÀÌ ¾îµÐÇÏ´Ù (3ÁÖ)
º´ ·Â : 6°³¿ù Àü ÁÂÃø ÆÈ²ÞÄ¡ ¼ö¼ú ÈÄ °Á÷ÀÌ ½ÉÇÏ¿© È¥ÀÚ¼ °üÀý ¿îµ¿À» ¿½ÉÈ÷ ÇÏ¿´´Âµ¥ ¾à 3ÁÖÀü ºÎÅÍ ¼Õ°¡¶ôÀÌ °¨°¢ÀÌ ÀúÇϵǰí Á£°¡¶ôÁúÀ̳ª ±Û¾¾ ¾²±â¿¡ ¾î·Á¿òÀÌ ÀÖ¾î Ÿº´¿ø °æÀ¯ÇÏ¿© ±ÙÀüµµ°Ë»ç ÀÇ·ÚµÊ. Àú¸²ÁõÀº ½ÉÇÏÁö ¾ÊÀ½.
ÀÌÇÐÀû °Ë»ç : ¿ìÃø ¾öÁö ´Ü¹«Áö¿ÜÀü±Ù(APB) ±Ù·ÂÀÌ P µî±ÞÀ¸·Î ÀúÇϵÊ(»çÁø 7, 8, 9) ¾öÁö À幫Áö ±¼±Ù°ú Àå¼öÁö±¼±ÙÀÇ ±Ù·ÂÀº F µî±ÞÀ¸·Î ¾àȸ¦ º¸ÀÓ. ¼Õ¸ñ ±¼°î°ú ȸ³» ±Ù·ÂÀº G µî±ÞÀ¸·Î °ÇÃø°ú ºñ±³ÇÏ¿© °æ¹ÌÇÑ ¾àȸ¦ º¸ÀÓ. O ring °Ë»ç¿¡ ¾ç¼º ¼Ò°ßÀ» º¸ÀÓ(»çÁø 11, ÷ºÎ µ¿¿µ»ó)
±ÙÀüµµ °Ë»ç :Á¤Á߽Űæ Àüµµ°Ë»ç¿¡¼ ÆÈ²ÞÄ¡ »ó¹æ¿¡¼ ÀÚ±Ø ½Ã ¿îµ¿½Å°æ ¹ÝÀÀÀÇ ÁøÆøÀÌ ¸Å¿ì °¨¼ÒµÇ°í(»çÁø 13) ÆÈ²ÞÄ¡¸¦ °æÀ¯ÇÏ´Â ±¸°£¿¡¼ ½Å°æÀüµµ ¼ÓµµÀÇ °¨¼Ò¸¦ º¸ÀÓ(»çÁø 12) ħ±ÙÀüµµ °Ë»ç¿¡¼ ȸ³»±Ù¿¡¼´Â Á¤»ó ¼Ò°ßÀ» º¸ÀÌ°í ±× ¸»´ÜÀÇ ±ÙÀ°¿¡¼ ºñÁ¤»ó ÀÚ¹ßÀüÀ§³ª ¿îµ¿½Å°æ ´ÜÀ§ÀÇ °¨¼Ò¸¦ º¸¿© ÀüÇüÀûÀΠȸ³»±Ù ÁõÈıº¿¡ ºÎÇÕÇÏ´Â ¼Ò°ßÀ» º¸ÀÓ. ¼Õ¸ñ¿¡¼ °¨°¢½Å°æÀº Á¤»ó¼Ò°ßÀ» º¸ÀÓ(»çÁø 14)
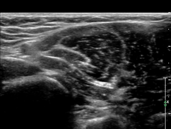
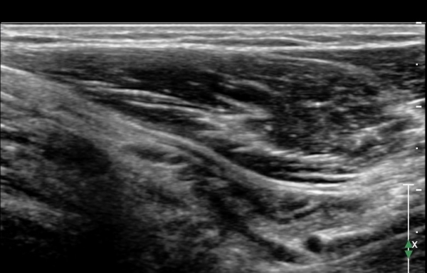
ÃÊÀ½ÆÄ °Ë»ç : ȸ³»±Ù ±ÙÀ§ºÎ¿¡¼ Á¤Á߽Űæ Ⱦ´Ü¸é°Å»ç¿¡¼ ƯÀÌ ¼Ò°ßÀ» º¸ÀÌÁö ¾ÊÀ¸³ª(»çÁø 1) ȸ³»±Ù ¿ä°ñµÎ ±â½ÃºÎ ¿¡¼ Á¤Á߽ŰæÀÇ ±¹°íÀû ¾Ð¹Ú ¹× ÆíÆòȰ¡ °üÂûµÊ(»çÁø 2). ÀÌ·± º¯È´Â °ÇÃø(»çÁø 5)°ú ºñ±³ÇÏ¸é ¶Ñ·ÇÇÔ.
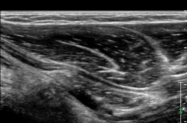
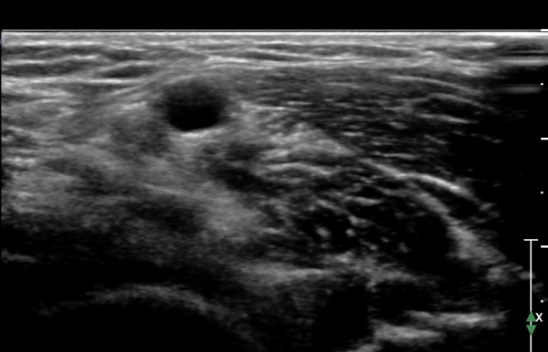
Á¤Á߽Űæ Á¾´Ü¸é°Ë»ç¿¡¼ ȸ³»±Ù ¿ä°ñµÎ ±â½ÃºÎ¿¡¼ Á¤Á߽ŰæÀÇ ±¹¼ÒÀû ¾Ð¹Ú°ú Ç¥ÃþÀ¸·Î ÀüÀ§°¡ °üÂûµÇ°í ¾Ð¹ÚÀÇ ±ÙÀ§ºÎ¿¡¼´Â Á¤Áß½Å°æ ºÎÁ¾ÀÌ °üÂûµÊ(»çÁö 3). ÀÌ·± º¯È´Â °ÇÃø(»çÁø 6)°ú ºñ±³ÇÏ¸ç ¶Ñ·ÇÇÔ.
°íÂû ¹× Âü°í ¹®Çå : ÷ºÎ ÆÄÀÏ
½Ã¸®¾Ç½º¼¼¹Ì³ª ÆÈ²ÞÄ¡¿Í ¼Õ¸ñ ÁúȯÀÇ Áø´Ü°ú Ä¡·á(¹Ù·Î°¡±â Ŭ¸¯)
IARM Ä«µ¥¹Ù ¿öÅ©»ð ÃÊÀ½ÆÄ °Ë»ç ÁÖ»çÄ¡·á
 |