[¾î±ú] ¼®È¸¼º ±Ø»ó°Ç ¿° ÁÖ»ç. ÈíÀÎ Ä¡·á(aspiration and needleing of calciific supraspinatus)
ÀÛ¼ºÀÚ : ÃÖÀçÀÍ(jic121@hanmail.net) ÀÛ¼ºÀÏ : 2023-12-20 Á¶È¸¼ö : 691
ÆÄÀÏ÷ºÎ : [mix] 1 impinge.avi [mix] needleing and inj.avi [mix] 3 injection and aspiration.avi

³ªÀÌ  ¼ºº°  :  47 /  ¿©ÀÚ


ÁÖ  Áõ  »ó  : ¾çÃø ¾î±ú  ¾ÆÇÁ´Ù(2°³¿ù)

               µé±â ¾î·Æ´Ù.  ¸ñ(+), µÎÅë(+)

                 

º´      ·Â  : 1³â Àü¿¡µµ ÅëÁõ ÀÖ¾î  Ãæ°ÝÆÄ Ä¡·á(+)

                  


ÀÌÇÐÀû °Ë»ç : ¾î±ú ±¼°î(170/170) °¡µ¿¹üÀ§ ¸»´Ü¿¡¼­ ÅëÁõ(+)

               ¿ÜÀü  80/80µµ   ¿ÜȸÀü   70/80 µµ

               ÀúÇ׿¡ ´ëÇÑ ¿ÜÀü ½Ã ÅëÁõ(+/+)

               ÀúÇ׿¡ ´ëÇÑ ³»È¸Àü ½Ã ÅëÁõ(+/+)

               ÀúÇ׿¡ ´ëÇÑ ¿ÜȸÀü ½Ã(-/-)


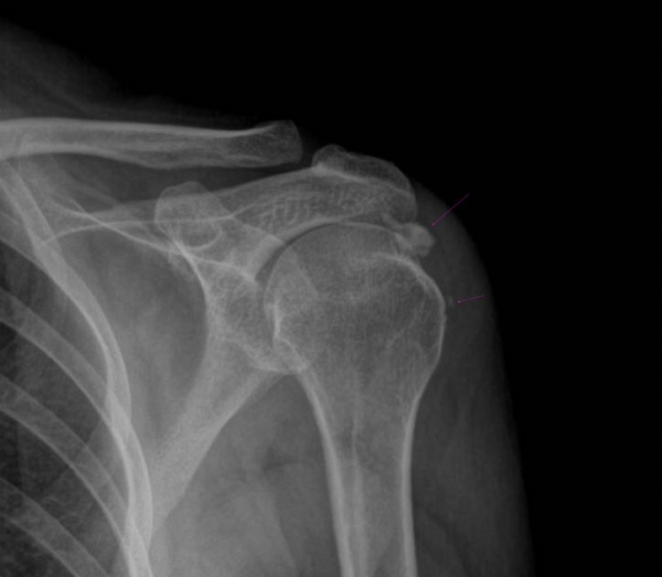
¹æ»ç¼± °Ë»ç :  ÃÊÁø ½Ã ¹æ»ç¼± °Ë»ç¿¡¼­ ¾çÃø ±Ø»ó°Ç°ú °ß°©Çϱٰǿ¡ Å« ¼®È¸°¡ °üÂûµÈ´Ù(»çÁø 8. 9).

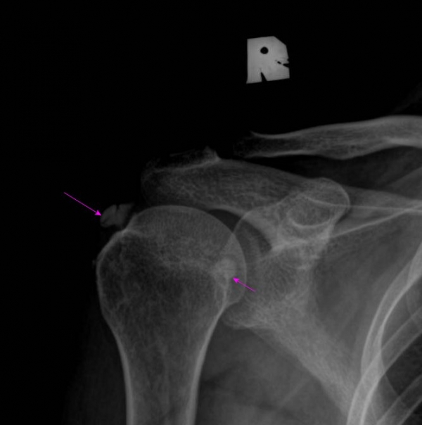
                Ä¡·á ÈÄ ¾à 1´Þ ÈÄ¿¡ ÃßÀû °Ë»çÇÑ »çÁø¿¡¼­  ¿ìÃø ±Ø»ó°Ç ¼®È¸´Â °ÅÀÇ ¼Ò½ÇµÈ ¸ð½ÀÀ̰í

                ÁÂÃø ±Ø»ó°ÇÀÇ ¼®È¸´Â ¸¹ÀÌ ÁÙ¾îµç ¸ð½ÀÀÌ´Ù(»çÁø  10. 11). 


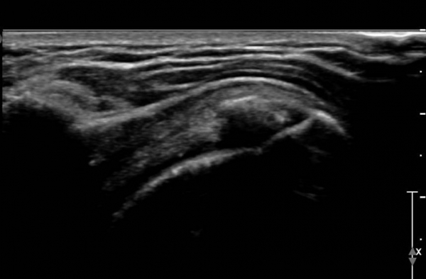
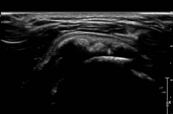
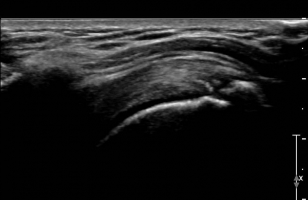
ÃÊÀ½ÆÄ °Ë»ç :  ¿À±¸µ¹±â °ßºÀÀδë Á¾´Ü¸é°Ë»ç¿¡¼­ ÀÎ´ë ½ÉÃþ¿¡ ¼ö¾×Àú·ù°¡ °üÂûµÇ´Âµ¥(»çÁø 1) ÀÌ °ÍÀº

                ¸¸¼ºÀûÀÎ Ãæµ¹ÁõÈıºÀ» ¾Ï½ÃÇÑ´Ù.


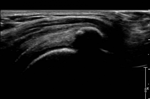
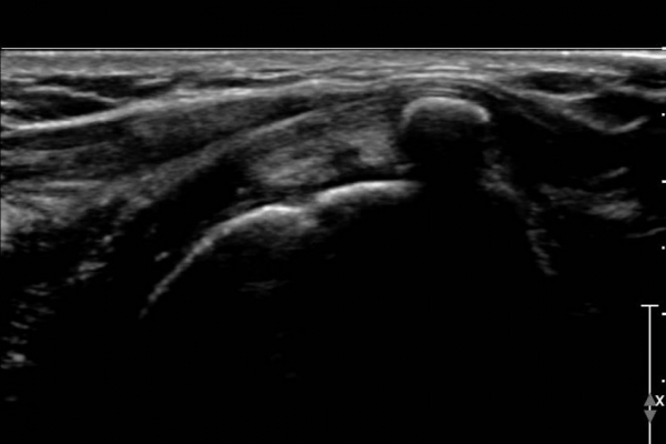
                °ß°©ÇÏ±Ù°Ç Á¾´Ü¸é°Ë»ç(»çÁø 2)¿Í ȸ´Ü¸é°Ë»ç(»çÁø 2)¿¡¼­ ÈĹæÀ½¿µÀ» º¸ÀÌ´Â °í¿¡ÄÚ ¼®È¸°¡ 

                °üÂûµÈ´Ù. Åë»óÀûÀÎ °ß°©ÇÏ±Ù°Ç Á¾´Ü¸é°Ë»ç¿¡¼­´Â °ß°©ÇÏ±Ù°Ç »óºÎ ¼®È¸È­·Î º¸ÀÌÁö¸¸ Ⱦ´Ü¸é°Ë»ç·Î

                º¼ ¶§ °ß°©ÇÏ±Ù°Ç ÇϺο¡ ¹ß»ýÇÑ ¼®È¸ÀÓÀ» ¾Ë ¼ö ÀÖ´Ù.


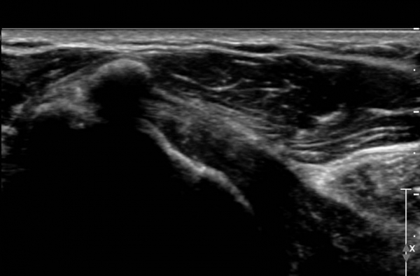
                ±Ø»ó°Ç Á¾´Ü¸é°Ë»ç»ó ±Ø»ó°Ç ¾Õ(»çÁø 4), Áß°£(»çÁø 5), ÈĹæ(»çÁø 7)¿¡ ±¤¹üÀ§ÇÏ°Ô ¼®È¸¸¦ º¸À̰í

                Ⱦ´Ü¸é°Ë»ç(»çÁø 6)¿¡¼­µµ ±Ø»ó°Ç ³»ÃøºÎÅÍ ¿ÜÃø±îÁö ±¤¹üÀ§ÇÑ ¼®È¸°¡ °üÂûµÈ´Ù.


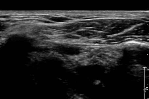
                ¿ªµ¿Àû°Ë»ç¿¡¼­ ¼®È¸°¡ °ßºÀ°ú Ãæµ¹ÇÏ´Â °ÍÀ» È®ÀÎÇÒ ¼ö ÀÖ´Ù(÷ºÎ µ¿¿µ»ó 1).


                ÃÊÀ½ÆÄ À¯µµÇÏ¿¡ ÁÖ»ç±âÀ» ÀÌ¿ëÇÏ¿© ¹Ýº¹ÀûÀÎ ÀÚ±Ø(needling)ÈÄ Á¡¾×³¶´ë ÁÖ»çÀ» ½ÃÇàÇÏ¿© ¼®È¸¸¦

                Ä¡·á ÇÒ ¼ö Àִµ¥(÷ºÎµ¿¿µ»ó 2) ÀÌ·± ¹æ¹ýÀº ÀÛÀº ¼®È¸È­ Ä¡·á¿¡ À¯¿ëÇÏ´Ù.


                ¼®È¸°¡ Å©°í ´Ü´ÜÇÑ °æ¿ì¿¡´Â ¼®È¸¸¦ ±ú´Â Ä¡·á¸¦ ½ÃÇàÇØ¾ßÇϴµ¥ ±¹¼Ò¸¶Ã븦 ½ÃÇàÇÏ°í ¼®È¸³»¿¡

                ÁÖ»ç¿Í ÈíÀÎÀ» ¹Ýº¹ÇÏ´Â ¹æ¹ýÀ¸·Î ½ÃÇàÇÑ´Ù. ÷ºÎµ¿¿µ»ó 3¿¡¼­ º¸µíÀÌ ¹Ýº¹ÀûÀÎ ÁÖ»ç¿Í ÈíÀÎÀ¸·Î

                ´Ü´ÜÇÑ ¼®È¸°¡ Âɰ³Áö´Â °ÍÀ» º¼ ¼ö ÀÖ´Ù.   

°í      Âû : ¼Õ
ÀÌÀü±Û ÃÊÀ½ÆÄ
´ÙÀ½±Û À¯¹æ¾Ï ÀüÀÌ¿¡ ÀÇÇÑ »ó¿Ï½Å°æÃÑ ¸¶ºñ(ÃßÁ¤)(brachial plexopathy probably due to breast cancer metastasis)
       
°¡¸ÍÁ¡¸í : ½Ã¸®¾Ç½ºÁ¤ÇüÀÇÇבּ¸È¸
»ç¾÷ÀÚµî·Ï¹øÈ£ : 894-81-00627 | ´ëÇ¥ÀÚ : ÀåµÎÇõ
 
ÁÖ¼Ò : °æ±âµµ ¾çÆò±º ¿ë¹®¸é ¿ë¹®·Î 375-1, 2Ãþ 1È£
TEL : 010-2323-4055
E-mail : cyriax12@naver.com
ÀԱݾȳ»
±¹¹ÎÀºÇà | ½Ã¸®¾Ç½ºÁ¤ÇüÀÇÇבּ¸È¸(ÁÖ)
220401-04-194155