[½Å°æ] À¯¹æ¾Ï ÀüÀÌ¿¡ ÀÇÇÑ »ó¿Ï½Å°æÃÑ ¸¶ºñ(ÃßÁ¤)(brachial plexopathy probably due to breast cancer metastasis)
ÀÛ¼ºÀÚ : ÃÖÀçÀÍ(jic121@hanmail.net) ÀÛ¼ºÀÏ : 2023-11-22 Á¶È¸¼ö : 1113
ÆÄÀÏ÷ºÎ :

³ªÀÌ  ¼ºº°  :  66 /  ¿©ÀÚ


ÁÖ  Áõ  »ó  : ÁÂÃø ÆÈÀÇ ±Ù¾àÁõ, ¾î±ú¸¦ µé ¼ö ¾ø´Ù(3°³¿ù)

                

º´      ·Â  : À¯¹æ¾Ï ¼ö¼ú  10³âÀü, ÃÖ±Ù ÀüÀÌ È®ÀεǾî Ç×¾ÏÄ¡·á Áß.

               2023³â  6¿ù °æºÎÅÍ ÁÂÃø »ó°ß°©ºÎ ÅëÁõÀÌ ÀáÀ» ÀڱⰡ ¾î·Á¿î Á¤µµ·Î ½ÉÇØÁ® 

               Á¦5-6 °æÃß°£ Ãß°£ÆÇÅ»ÃâÁõ Áø´ÜÇÏ¿¡ 2023³â  8¿ù Á¦5-6 °æÃß°£ À¯ÇÕ¼ú ½ÃÇà. 

               ¼ö¼ú ÈÄ ½ÉÇÑ ÅëÁõÀº °¨¼Ò ÇÏ¿´À¸³ª ÁÂÃø ÆÈÀÇ ±Ù¾àÁõÀÌ ¹ß»ýÇÔ.

               ¼ö¼ú º´¿øÀ¸·ÎºÎÅÍ ÁÂÃø ÆÈ ±Ù¾àÁõ¿¡ ´ëÇÑ ±ÙÀüµµ°Ë»ç ÀÇ·ÚµÊ.  

               ¹æ»ç¼±Ä¡·á´Â ½ÃÇàÇÏÁö ¾Æ´ÏÇÔ.                   


ÀÌÇÐÀû °Ë»ç : ±Ù·Â°Ë»ç : ¾î±ú ±¼°î, ¾î±ú ¿ÜȸÀü (zero),  ÆÈ²ÞÄ¡ ±¼°î(zero),

               ¼Õ¸ñ ½ÅÀü,  ±¼°î(G-/G-)

               ¼Õ°¡¶ô ³úÀü, ³»Àü(G~N/G~N)

               Hoffman sign (-/-)

               

±ÙÀüµµ °Ë»ç : compatible with  brachial plexopathy, upper and mid trunk level, lt.  


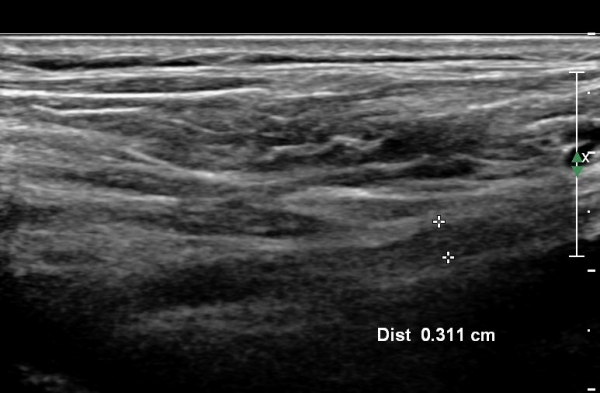
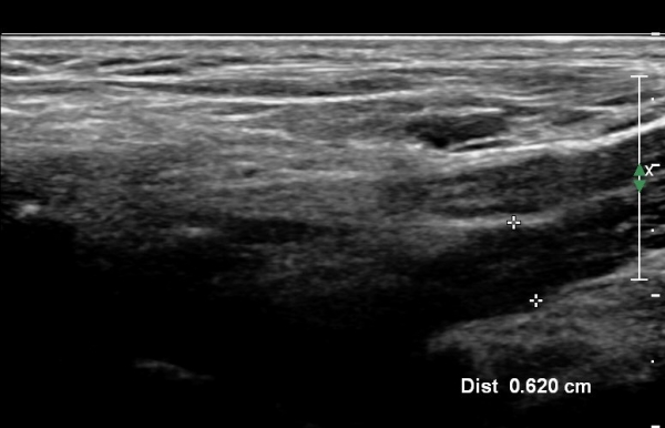
ÃÊÀ½ÆÄ °Ë»ç :  ÁÂÃø ¸ñ ¾Õ ¿ÜÃø¿¡¼­ °üÂûÇÑ Á¦5°æÃß ½Å°æ±Ù Ⱦ´Ü¸é°Ë»ç¿¡¼­ Á¦5°æÃß ½Å°æ±ÙÀÇ °æ¹ÌÇÑ Àú¿¡ÄÚ 

                ºÎÁ¾ÀÌ °üÂûµÊ(»çÁø 1).


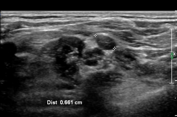
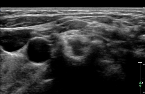
                ŽÃËÀÚ¸¦ Á¶±Ý ¸»´ÜÀ¸·Î À̵¿ÇÏ¿© Àü»ç°¢±Ù°ú Á߻簢±Ù »çÀÌ¿¡¼­ »ó¿Ï½Å°æÃÑÀÇ Àú¿¡ÄÚ ºÎÁ¾ÀÌ °üÂûµÊ                  (»çÁø 2, 3).


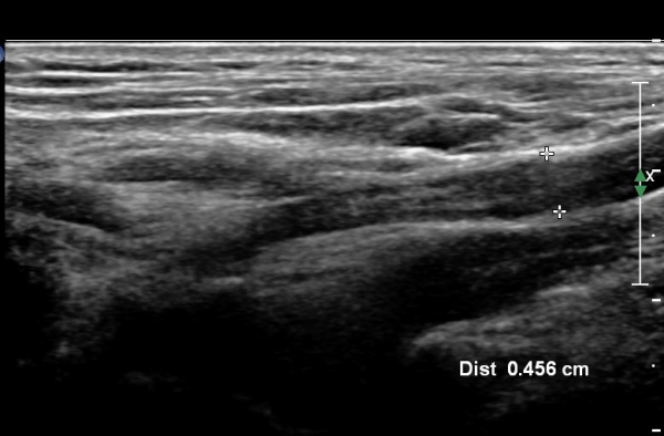
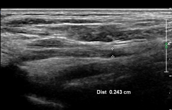
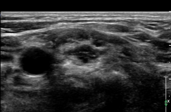
                ¸ñ ¾Õ ¿ÜÃø¿¡¼­ Á¦5, 6 ½Å°æ±Ù Á¾´Ü¸é°Ë»ç¿¡¼­ Á¦5, 6 ½Å°æ±ÙÀÇ Àú¿¡ÄÚ ºÎÁ¾(4,5mm, 6.5 mm)ÀÌ

                °üÂûµÇ°í »çÁø 4,5 ) °ÇÃø(»çÁø 6, 7)(2.4mm, 3.1mm)°ú ºñ±³ÇÏ¸é ¾à 2¹èÀÌ»ó ºÎÁ¾ÀÌ ¶Ñ·ÇÇÔ.


°í      Âû : ¾î±ú¸¦ µéÁö ¸øÇÏ´Â ±Ù¾àÁõÀ» ÁÖ¼Ò·Î ³»¿øÇÑ °æ¿ì ´ë°³´Â ¾î±ú ÀÚüÀÇ ¹®Á¦ÀÎÁö ¾Æ´Ï¸é ½Å°æ°èÀÇ
              ¹®Á¦ÀÎÁö¸¦ °¨º°ÇÏ´Â °ÍÀº °æÇèÀÌ ÀÖ´Â ÀÇ»ç¶ó¸é ¾î·Á¿î °úÁ¦´Â ¾Æ´Ï´Ù.
              Âü°í µ¿¿µ»ó : https://www.youtube.com/watch?v=gYkka3TvQXc
              ±×·¯³ª ±ÙÀüµµ°Ë»ç»ó ½Å°æÀÇ ¹®Á¦·Î ¾î±ú¸¦ ¸ø ¿Ã¸®´Â °ÍÀ¸·Î ÆÇ´ÜÀÌ µÉ ¶§ Á¦5°æÃß ½Å°æ±ÙÀÇ 
              ¹®Á¦ÀÎÁö  »ó¿Ï½Å°æÃÑÀÇ »óºÎ¸öÅë(upper trunk) ¹®Á¦ÀÎÁö¸¦ °¨º°ÇÏ´Â °ÍÀº ½±Áö ¾ÊÀº ¹®Á¦ÀÌ´Ù.
              ÀÌ·² °æ¿ì »ó¿Ï½Å°æÃÑÀÇ ÃÊÀ½ÆÄ°Ë»ç¸¦ ½ÃÇàÇÏ´Â °ÍÀº °¨º°Áø´Ü¿¡ Å« µµ¿òÀÌ µÈ´Ù.

              º» Áõ·Ê¿Í °°ÀÌ »ó¿Ï½Å°æÃÑÀÇ upper trunk¿Í middle trunk¿¡ ÀÌ»óÀÌ ÀÖ´Â °æ¿ì´Â ºñ±³Àû ½±°Ô
              º´º¯ºÎÀ§¸¦ ƯÁ¤ÇÒ ¼ö ÀÖÁö¸¸ ±×·² °æ¿ì¿¡µµ ÃÊÀ½ÆÄ°Ë»ç¸¦ ½ÃÇàÇÏ¿© »ó¿Ï½Å°æÃÑÀÇ ÀÌ»ó ¿©ºÎ¸¦
              °üÂûÇÏ¸é »ó¿Ï½Å°æÃÑ º´º¯ ¿øÀÎÀ» ÃßÁ¤Çϴµ¥ Å« µµ¿òÀÌ µÈ´Ù.
              º» Áõ·Ê¿¡¼­ »ó¿Ï½Å°æÃÑÀÌ Á¤»óÃø°ú ºñ±³ÇÏ¿© ¾à 2¹èÁ¤µµ Àú¿¡ÄÚ ºÎÁ¾À» º¸À̰í ȯÀÚÀÇ º´·ÂÀ» 
              °í·ÁÇÏ¸é »ó¿Ï½Å°æÃÑ º´ÁõÀÇ ¿øÀÎÀ» ÃßÁ¤Çϴµ¥ ¹«¸®°¡ ¾ø¾î º¸ÀδÙ. 
              ¹°·Ð ÃÖÁ¾ÀûÀÎ ÆÇ´ÜÀ» À§Çؼ­´Â ÀÚ±â°ø¸í°Ë»óÀÇ ½ÃÇàÀÌ ÇʼöÀûÀÌ´Ù.

Âü°í  ¹®Çå 

1. A Case of Suspected Breast Cancer Metastasis to Brachial Plexus Detected by Magnetic Resonance Neurography


2. Characteristics of metastatic brachial plexopathy in patients with breast cancer 


3. Case report: Brachial plexopathy caused by malignant peripheral nerve sheath tumor and review of the literature



4. Occult primary breast cancer presenting with brachial plexopathy: A case report


5. Coexistence of Brachial Plexus and Cervical Spine Metastases in a Patient With Breast Cancer: Case Report


6. From the Plexus to the Cord: A Case of Metastatic Breast Cancer


7. Ultrasound of the Brachial Plexus

8. High definition ultrasound imaging of the individual elements of the brachial plexus above the clavicle

9. Ultrasonography of the brachial plexus, normal appearance and practical applications


10. Sonographic Pearls for Imaging the Brachial Plexus and Its Pathologies

ÀÌÀü±Û ¼®È¸¼º ±Ø»ó°Ç ¿° ÁÖ»ç. ÈíÀÎ Ä¡·á(aspiration and needleing of calciific supraspinatus)
´ÙÀ½±Û Á¤Á߽Ű泻 Á¾¾ç(mass in median nerve)
       
°¡¸ÍÁ¡¸í : ½Ã¸®¾Ç½ºÁ¤ÇüÀÇÇבּ¸È¸
»ç¾÷ÀÚµî·Ï¹øÈ£ : 894-81-00627 | ´ëÇ¥ÀÚ : ÀåµÎÇõ
 
ÁÖ¼Ò : °æ±âµµ ¾çÆò±º ¿ë¹®¸é ¿ë¹®·Î 375-1, 2Ãþ 1È£
TEL : 010-2323-4055
E-mail : cyriax12@naver.com
ÀԱݾȳ»
±¹¹ÎÀºÇà | ½Ã¸®¾Ç½ºÁ¤ÇüÀÇÇבּ¸È¸(ÁÖ)
220401-04-194155