[¹ß¸ñ] Àü°ÅºñÀÎ´ë ¼Õ»ó°ú µ¿¹ÝµÈ °Å°ñÇÏ °üÀý ¿°ÁÂ
ÀÛ¼ºÀÚ : ÃÖÀçÀÍ(jic121@hanmail.net) ÀÛ¼ºÀÏ : 2023-09-02 Á¶È¸¼ö : 763
ÆÄÀÏ÷ºÎ :

³ªÀÌ  ¼ºº°  :  57 /  ¿©ÀÚ


ÁÖ  Áõ  »ó  : 

                


º´      ·Â  : 

                     


ÀÌÇÐÀû °Ë»ç 



¹æ»ç¼± °Ë»ç : 


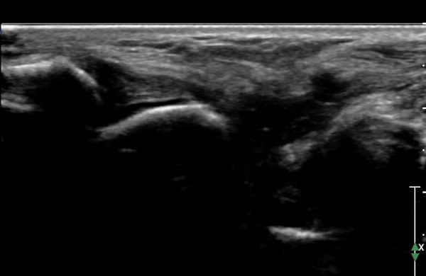
ÃÊÀ½ÆÄ °Ë»ç :  ¹ß¸ñ ¾ÕÂÊ Á¾´Ü¸é°Ë»ç¿¡¼­ ƯÀÌ ¼Ò°ß º¸ÀÌÁö ¾Ê´Â´Ù(»çÁø 1)


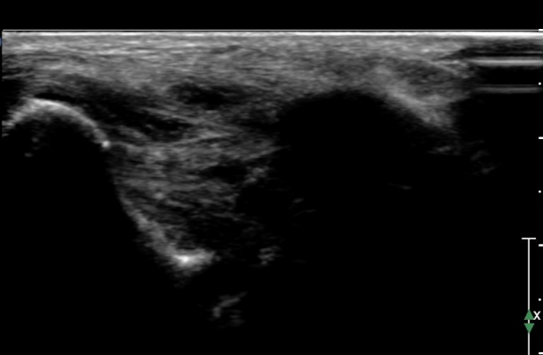
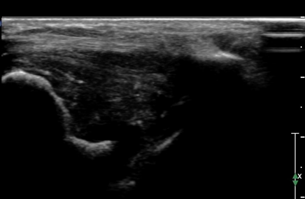
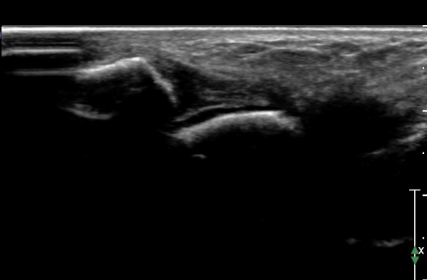
                Àü°ÅºñÀδë ÇϺΠÁ¾´Ü¸é°Ë»ç¿¡¼­ Àü°ÅºñÀδëÀÇ Àú¿¡ÄÚ À§Ãø°ú Á·±Ùµ¿ÀÇ ¼ö¾×Àú·ù°¡

                °üÂûµÈ´Ù(»çÁø 2, 3, 4).


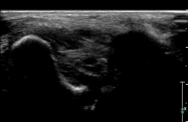
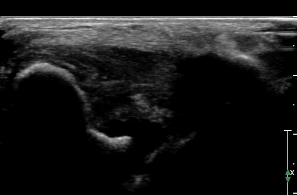
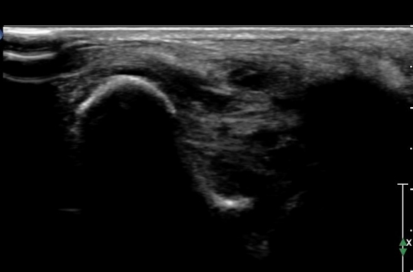
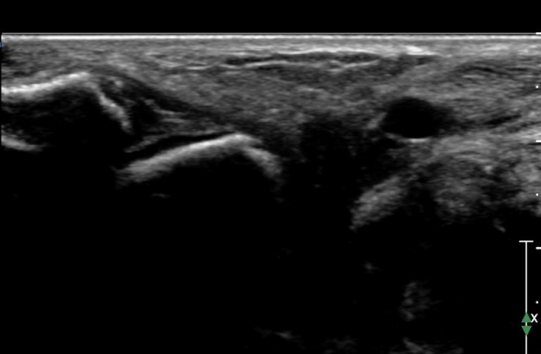
                ÇϺΠ½ÅÀü ¶ì(inferior extensor retinaculum) ÀÇ frondiform Àδë Á¾´Ü¸é°Ë»ç¿¡¼­

                frondiformÀÎ´ë ½ÉºÎ°¡Áö ÁÖº¯ ¼ö¾×Àú·ù°¡ °üÂûµÇ°í Á·±Ùµ¿ °æºÎÀδ밡 ³Ê¹« ¶Ñ·ÇÈ÷

                °üÂûµÈ´Ù(»çÁø 5, 6, 7).


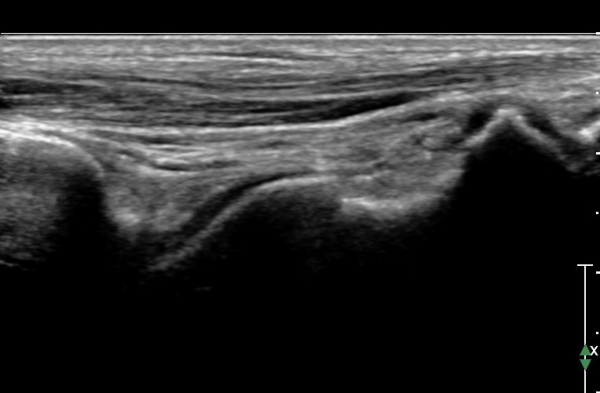
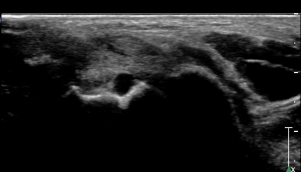
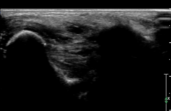
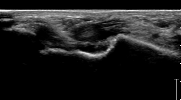
                ÇϺΠ½ÅÀü ¶ì(inferior extensor retinaculum) ÀÇ frondiform Àδë Á¾´Ü¸é°Ë»ç¿¡¼­

                frondiformÀδëÀÇ Àú¿¡ÄÚ ºÎÁ¾°ú °Å°ñÇÏ °üÀý °£°ÝÀÌ ¹ú¾îÁ® ÀÖ´Ù(»çÁø 8, 9).


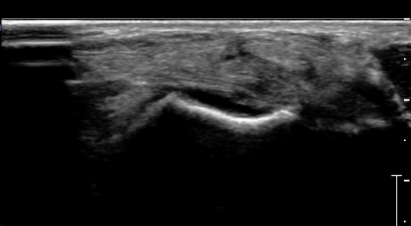
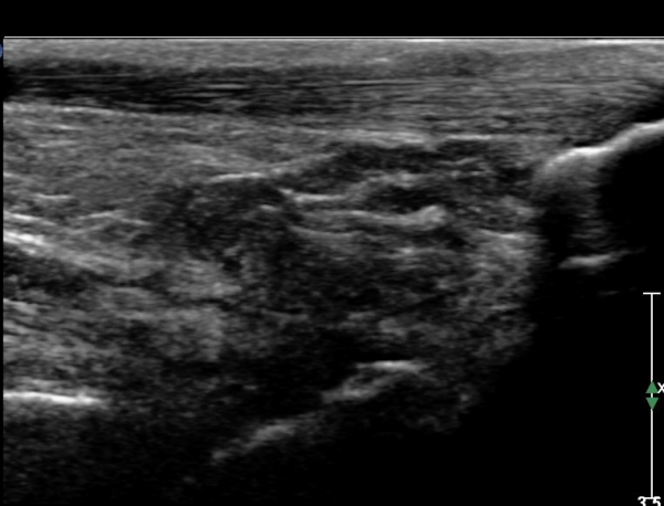
                Á¾°ñºñ°ñÀÎ´ë °Ë»ç¿¡¼­ Á¾°ñºñ°ñÀÎ´ë ½ÉÃþÀÇ °Å°ñÇϰüÀý Ç¥Ãþ¿¡ ¼ö¾×Àú·ù°¡ °üÂûµÈ´Ù

                (»çÁø 10).


                ¹ß¸ñ ³»Ãø Àç°Åµ¹±â »óºÎ °Å°ñÇϰüÀý Ç¥Ãþ¿¡ ¼ö¾×Àú·ù°¡ °üÂûµÈ´Ù(»çÁø 11, 12).


                ¾ÆÅ³·¹½º°ÇÀ» âÀ¸·Î °üÂûÇÑ ¹ßµÚ²ÞÄ¡¿¡¼­ °æ°ñ°Å°ñ°üÀýÀÇ ¼ö¾×Àú·ù°¡ °üÂûµÈ´Ù(»çÁø 13).


°í    Âû 

Âü°í¹®Çå      1. Ankle: posterior subtalar joint effusion assessment

                  https://www.youtube.com/watch?app=desktop&v=xttACRoTvq4


               2. Sonographically Guided Posterior Subtalar Joint Injections via the Sinus Tarsi Approach

                            https://sci-hub.se/https://doi.org/10.7863/ultra.34.1.83 


                        3.  Ultrasound of Subtalar Joint Synovitis in Patients with Rheumatoid Arthritis: Results of an                                          OMERACT Reliability Exercise Using Consensual Definitions

                             https://www.jrheum.org/content/46/4/351.tab-figures-data


                         4. Ultrasound Imaging Guide for Assessment of the Intrinsic Ligaments Stabilizing the Subtalar and                               Midtarsal Joints

                           https://sci-hub.se/10.1055/s-0040-1710066

                        

ÀÌÀü±Û ÃÊÀ½ÆÄ À¯µµÇÏ ¹ß¸ñ°üÀý ÁÖ»ç(sonoguide ankle joint injection)
´ÙÀ½±Û °Å°ñÇϰüÀý¿°¿¡ º´¹ßµÈ ºñ°ñ°Ç¿°(secondary peroneal tendinitis due to subtalar arthritis)
       
°¡¸ÍÁ¡¸í : ½Ã¸®¾Ç½ºÁ¤ÇüÀÇÇבּ¸È¸
»ç¾÷ÀÚµî·Ï¹øÈ£ : 894-81-00627 | ´ëÇ¥ÀÚ : ÀåµÎÇõ
 
ÁÖ¼Ò : °æ±âµµ ¾çÆò±º ¿ë¹®¸é ¿ë¹®·Î 375-1, 2Ãþ 1È£
TEL : 010-2323-4055
E-mail : cyriax12@naver.com
ÀԱݾȳ»
±¹¹ÎÀºÇà | ½Ã¸®¾Ç½ºÁ¤ÇüÀÇÇבּ¸È¸(ÁÖ)
220401-04-194155