[¹ß¸ñ] °Å°ñÇϰüÀý¿°¿¡ º´¹ßµÈ ºñ°ñ°Ç¿°(secondary peroneal tendinitis due to subtalar arthritis)
ÀÛ¼ºÀÚ : ÃÖÀçÀÍ(jic121@hanmail.net) ÀÛ¼ºÀÏ : 2023-09-02 Á¶È¸¼ö : 906
ÆÄÀÏ÷ºÎ : image_2s.jpg image_3s.jpg

³ªÀÌ  ¼ºº°  :  57 /  ¿©ÀÚ


ÁÖ  Áõ  »ó  : ÁÂÃø ¹ß¸ñÀÌ ¾ÆÇÁ´Ù(3°³¿ù) 

               Æ¯È÷ ¹ß¸ñ ¾Æ·¡ ¿ÜÃøºÎ ¾ÆÇÁ´Ù  


º´      ·Â  : ¿Ü»ó ¾øÀÌ °ÉÀ¸¸é ¾ÆÇÁ´Ù. ÃÖ±Ù ½ÉÇØÁü.

                     


ÀÌÇÐÀû °Ë»ç : ¹ß¸ñ°üÀý  ¹è±¼ °æ¹ÌÇÑ Á¦ÇÑ

               ¹ß¸ñ ¿ÜÃøºÎ ºñ°ñ°ÇºÎ ¾ÐÅë(+)

               ÀúÇ׿¡ ´ëÇÑ ¹ß ¿Ü¹ø ½Ã ÅëÁõ(+) , ±Ù¾àÁõ(+)

               °Å°ñÇÏ °üÀý ¿Ü¹Ý Á¦ÇÑ(+) 



¹æ»ç¼± °Ë»ç : ºñ°ñ°ú °æ°ñÀÇ °ñ±Ø µî °æ¹ÌÇÑ ÅðÇ༺ º¯È­ ¹× ¹ß¸ñ µÚ À¯¸®Ã¼(÷ºÎÆÄÀÏ 1, 2).


ÄÄÇ»ÅÍ ÃÔ¿µ : 

  

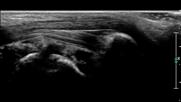
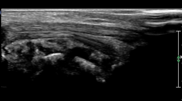
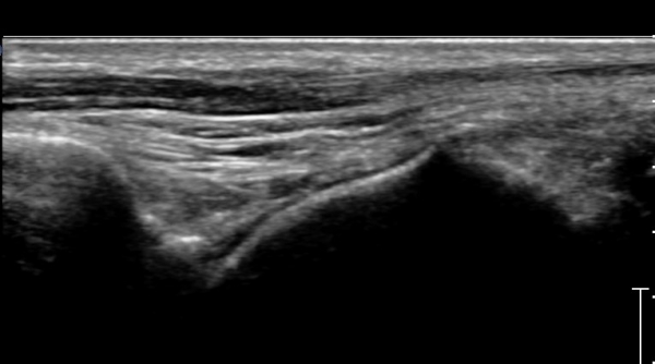
ÃÊÀ½ÆÄ°Ë»ç : ¹ß¸ñ °üÀý Á¾´Ü¸é°Ë»ç¿¡¼­ ¹ß¸ñ °Å°ñ ¿¬°ñÀÌ ¾ã¾îÁ®(thinning) º¸ÀδÙ(»çÁø 1).


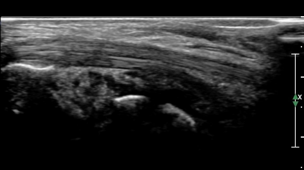
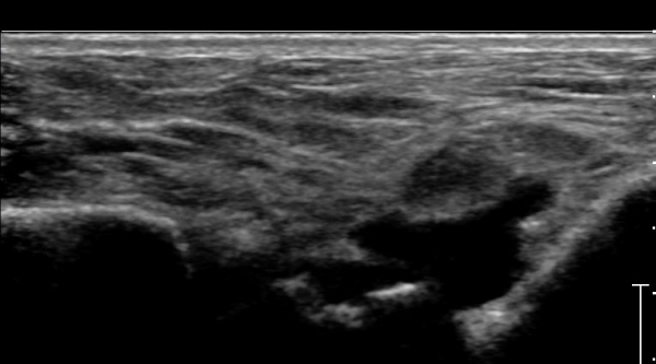
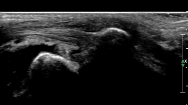
              Àü°ÅºñÀδë Á¾´Ü¸é°Ë»ç»ó Àü°ÅºñÀδëÀÇ Àú¿¡ÄÚ À§Ãà°ú Á·±Ùµ¿(sinus tarsi) ¼ö¾×Àú·ù°¡ 

              °üÂûµÈ´Ù(»çÁø 2, 3).


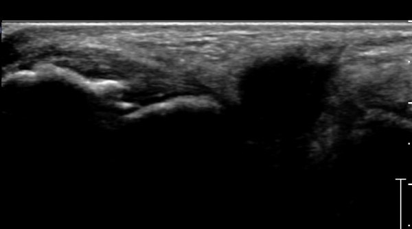
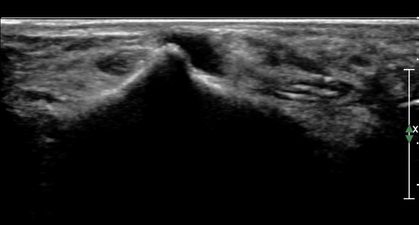
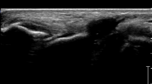
              Á¾°ñºñ°ñÀδë Á¾´Ü¸é°Ë»ç¿¡¼­ °Å°ñÇϰüÀýÀÇ ¼ö¾×Àú·ù(Á¾°ñºñ°ñÀÎ´ë ½ÉºÎ ¼ö¾×Àú·ù)°¡ 

              °üÂûµÈ´Ù(»çÁø 4).

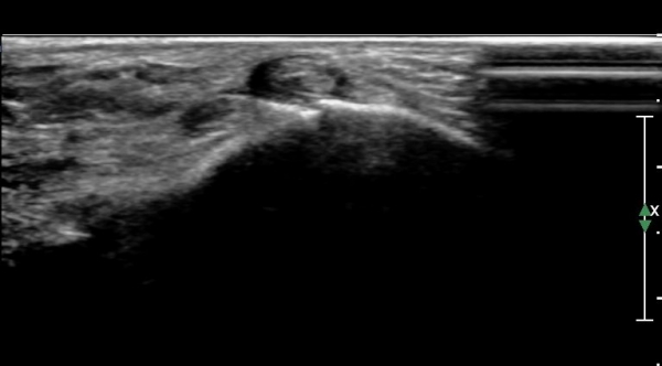
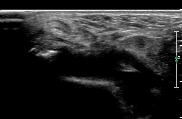
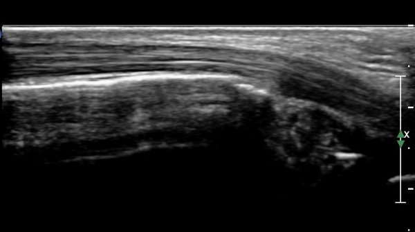
              ¹ß¸ñ ¿ÜÃø Ⱦ´Ü¸é(ºñ°ñ°Ç Ⱦ´Ü¸é)°Ë»ç¿¡¼­ ºñ°ñ°Ç ½ÉÃþÀÇ ´Ù·®ÀÇ ¼ö¾×Àú·ù°¡ °üÂûµÈ´Ù

              (»çÁø 5, 6).

              

             ,¾ÆÅ³·¹½º°ÇÀ» âÀ¸·Î °üÂûÇÑ ¹ß¸ñ µÚ Á¾´Ü¸é°Ë»ç¿¡¼­ °Å°ñÇϰüÀýÀÇ ¼ö¾×Àú·ù°¡ °üÂûµÈ´Ù(»çÁø 7).


              ºñ°ñ°Ç ±ÙÀ§ºÎ Á¾´Ü¸é°Ë»ç¿¡¼­ ºñ°ñ°ÇÀÌ °í¿¡ÄÚ  ¼¶À¯¾ç ¾ç»óÀ¸·Î °üÂûµÈ´Ù(»çÁø 8).


              ŽÃËÀÚ¸¦ Á» ´õ ¸»´ÜÀ¸·Î À̵¿ÇÏ´Ï  Àåºñ°ñ°Ç°Ç°ú Àåºñ°ñ°ÇÀÌ °í¿¡ÄÚ·Î °üÂûµÇ´Âµ¥ °ÇÀÇ ºÎÁ¾ÀÌ

              ÃßÁ¤µÈ´Ù(»çÁø 9)

              

              ŽÃËÀÚ¸¦ Á¶±Ý ´õ ¸»´ÜÀ¸·Î À̵¿ÇÏ´Ï ÇÔ²² ÁÖÇàÇÏ´ø Àåºñ°ñ°Ç°ú ´Üºñ°ñ°ÇÀÌ ¹ú¾îÁö±â ½ÃÀÛÇϴµ¥

              ÀÌ´Â Á¾°ñÀÇ ºñ°ñȰÂ÷(peroneal trochlear) ¶§¹®ÀÌ´Ù(»çÁø 10).

                  

             Å½ÃËÀÚ¸¦ Á¶±Ý ´õ ¸»´ÜÀ¸·Î À̵¿ÇÏ´Ï Á¾°ñÀÇ ºñ°ñȰÂ÷°¡ °üÂûµÇ°í Àåºñ°ñ°ÇÀº ºñ°ñȰÂ÷ »óºÎ·Î

              ´Üºñ°ñ°ÇÀº ºñ°ñȰÂ÷ ÇϺηΠÁÖÇàÇÑ´À °ÍÀÌ °üÂûµÈ´Ù(»çÁø 11)


              ŽÃËÀÚ¸¦ ¹Ì¼¼ÇÏ°Ô »óºÎ·Î ±â¿ïÀ̳ª Àåºñ°ñ°ÇÀÌ ´õ ¶Ñ·ÇÇÏ°Ô °üÂûµÇ°í ´Üºñ°ñ°ÇÀº Èå¸´ÇØ

              Áö´Â °ÍÀ» È®ÀÎÇÒ ¼ö ÀÖ´Ù(»çÁø 12) .

              

              ŽÃËÀÚ¸¦ ¹Ì¼¼ÇÏ°Ô ÇϺηΠ±â¿ïÀ̳ª ´Üºñ°ñ°ÇÀÌ ´õ ¶Ñ·ÇÇÏ°Ô °üÂûµÇ°í Àåºñ°ñ°ÇÀº Èå¸´ÇØ

              Áö´Â °ÍÀ» È®ÀÎÇÒ ¼ö ÀÖ´Ù(»çÁø 13). 


              ŽÃËÀÚ¸¦ 90µµ ȸÀüÇÏ¿© Ⱦ´Ü¸é°Ë»ç¸¦ ½ÃÇàÇÏ´Ï Àåºñ°ñ°Ç°ú ´Üºñ°ñ°ÇÀÌ ºñ°ñȰÂ÷ ±Ùó¿¡

              ¿ìÄ¡Çϰí ÀÖ°í Àåºñ°ñÀÇ ÁÖÀ§ ¼ö¾×Àú·ù°¡ °üÂûµÈ´Ù(»çÁø 14).


              ŽÃËÀÚ¸¦ Á¶±Ý ´õ ¸»´ÜÀ¸·Î À̵¿ÇÏ´Ï Àåºñ°ñ°ÇÀº ºñ°ñȰÂ÷ÀÇ »óºÎ¿¡ ´Üºñ°ñ°ÇÀº ºñ°ñȰÂ÷ÀÇ

              ÇϺο¡ À§Ä¡Çϰí ÀÖ°í Àåºñ°ñ°ÇÀº ÀΰøÀ½¿µ¿¡ ÀÇÇØ Àú¿¡ÄÚ·Î °üÂûµÈ´Ù(»çÁø 15).

  

Ä¡      ·á :     Áõ½ÄÄ¡·á(aiTF,  ATF,  CF, sinus tarsi, frondiform), ESWT, peroneal tendon)


°í      Âû : º» Áõ·ÊÀÇ °æ¿ì ¹ß¸ñ ³»¹Ý ¼Õ»óÀ¸·Î Àü°ÅºñÀδë¿Í  ºñ°ñÁ¾°ñÀÎ´ë ¼Õ¼º ½Ã °Å°ñÇÏ °üÀý ¼Õ»óÀÌ

              ¹ß»ýÇÑ °ÍÀ¸·Î ÃßÁ¤µÇ°í ÀÌ¿¡ µû¶ó ÀÌÂ÷ÀûÀ¸·Î ºñ°ñ°Ç¿°ÁõÀÌ ÁøÇàµÇ°í ÀÖ´Â °ÍÀ¸·Î ÃßÁ¤µÈ´Ù.

              ½Ã¸®¾Ç½º ¼±»ý´ÔÀÌ ¸»¾¸ÇϽйߏñ ÀÎ´ë ¼Õ»ó ÈÄ ¸¸¼ºÅëÁõÀÇ ¿øÀÎÀ¸·Î °Å°ñÇÏ °üÀý ºÒ¾ÈÁ¤°ú 

              À̰ÍÀ» ±Øº¹ÇÏ·Á´Â ºñ°ñ°ÇÀÇ °ú´ÙÇÑ ±äÀåÀÌ °á±¹ ºñ°ñ°ÇÀÇ ¿°ÁõÀ» À¯¹ßÇÑ´Ù´Â ³í¸®¿¡  ºÎÇÕÇÑ´Ù°í

              ÆÇ´ÜµÈ´Ù.

              °Å°ñÇÏ °üÀýÀÇ ºÒ¾ÈÁ¤¿¡ µû¸¥ ÀÌÂ÷ÀûÀÎ Á¶Á÷ ¼Õ»óÀ» ¿¹¹æÇϱâ À§Çؼ­´Â Ãʱ⿡ Àδë¼Õ»ó ¹üÀ§¸¦

              Á¤È®È÷ Æò°¡ÇÏ¿© ÀûÀûÇÑ Ä¡·á¸¦ ½ÃÇàÇØ¾ß Çϴµ¥ ÀÌ ¶§ ¹Ýµå½Ã ÇϺνÅÀüÁöÁö¶ì(inferior extesor 

              retinaculum) ÀÇ frondiform Àδë¿Í Á·±Ùµ¿ °æºÎÀδë¿Í °ñ°£Àδ븦 öÀúÈ÷ °Ë»çÇØ¾ßÇÑ´Ù.

              °Å°ñÇϰí°üÀýÀÇ ºÎÁ¾À» È®ÀÎÇϱâ À§Çؼ­´Â ¹ß¸ñ ¿ÜÃø Á¾°ñºñ°ñÀÎ´ë ºÎÀ§¿Í ¹ß µÚ²ÞÄ¡¿¡¼­  ¾ÆÅ³·¹½º

              °ÇÀ» âÀ¸·Î ÇÏ¿© ¼ö¾×Àú·ù¸¦ È®ÀÎÇÒ ¼ö ÀÖ´Ù. ¹ß¸ñÀÇ ³»Ãø Àç°Åµ¹±â(sustentaculum tali) ºÎÀ§µµ

              °Å°ñÇϰüÀýÀÌÁö¸¸ ¾Æ±Þ¼º±â¿¡ ¼ö¾×Àú·ù´Â ÈçÇÏÁö ¾Ê´Ù. ÇÏÁö¸¸ ¸¸¼±ÀûÀÎ °Å°ñÇϰüÀý¿°ÀÌ ¹ß»ýÇÑ 

              °æ¿ì¿¡´Â °Å°ñ ¶Ç´Â Á¾°ñÀÌ µ¹ÃâÇÏ¿© Á·±Ù°üÁõÈıºÀ» ¹ß»ýÇÒ ¼ö ÀÖÀ½¿¡ À¯ÀÇÇØ¾ß ÇÑ´Ù.


Âü°í ¹®Çå

ÀÌÀü±Û Àü°ÅºñÀÎ´ë ¼Õ»ó°ú µ¿¹ÝµÈ °Å°ñÇÏ °üÀý ¿°ÁÂ
´ÙÀ½±Û Á¾°ñ Àü¹æµ¹±â ¹× °Å°ñ, ¼³Çü°ñ, ÀÔ¹æ°ñ, ÁßÁ·°ñ ´Ù¹ß¼º °ß¿­°ñÀý(multiple avulsion fx. of ankle and foot)
       
°¡¸ÍÁ¡¸í : ½Ã¸®¾Ç½ºÁ¤ÇüÀÇÇבּ¸È¸
»ç¾÷ÀÚµî·Ï¹øÈ£ : 894-81-00627 | ´ëÇ¥ÀÚ : ÀåµÎÇõ
 
ÁÖ¼Ò : °æ±âµµ ¾çÆò±º ¿ë¹®¸é ¿ë¹®·Î 375-1, 2Ãþ 1È£
TEL : 010-2323-4055
E-mail : cyriax12@naver.com
ÀԱݾȳ»
±¹¹ÎÀºÇà | ½Ã¸®¾Ç½ºÁ¤ÇüÀÇÇבּ¸È¸(ÁÖ)
220401-04-194155