[¾ûµ¢ÀÌ] °í°üÀý ¿Í¼ø. °üÀý³¶ ¼®È¸È­ ÃÊÀ½ÆÄ °Ë»ç ¹× Ä¡·á
ÀÛ¼ºÀÚ : ÃÖÀçÀÍ(jic121@hanmail.net) ÀÛ¼ºÀÏ : 2023-06-02 Á¶È¸¼ö : 1013
ÆÄÀÏ÷ºÎ :

³ªÀÌ   ¼ºº°  : 47  ³²ÀÚ


ÁÖ   Áõ   »ó  : ÁÂÃø ´Ù¸® ÅëÁõ (±â°£ : 3´Þ)


º´          ·Â  : Ưº°ÇÑ ÀÌÀ¯ ¾øÀÌ ÁÂÃø ´Ù¸® ÀüüÀÇ ÅëÁõ ¹ß»ý

                     ´Ù¸®¸¦ µ¹¸®°Å³ª µóÀ¸¸é ¾ÆÇÁ´Ù.

                     °ÉÀ» ¶§ ¾ÆÇÁ´Ù, ÈûÀÌ ºüÁø´Ù, µé±â ¾î·Æ´Ù


ÀÌÇÐÀû °Ë»ç : ÆÄÇà(+)

                     active SLR   ; weak(+)

                     active  abduction : painful(+)

                     r abduction (+)

                    tenderness(+),  ITB  and thigh


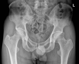
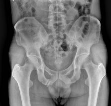
¹æ»ç¼± °Ë»ç :  ÁÂÃø °í°üÀý  ¿ÜÃø ¿Í¼ø°ú °üÀý³¶ºÎÀ§  ¼®È¸È­(+)(»çÁø10) * »çÁøÀ» Ŭ¸¯Çϸé ÇØ´ç »çÁøÀÌ º¸ÀÔ´Ï´Ù. 


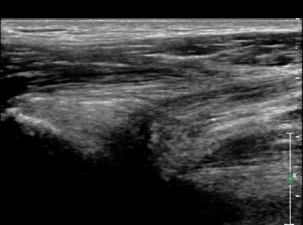
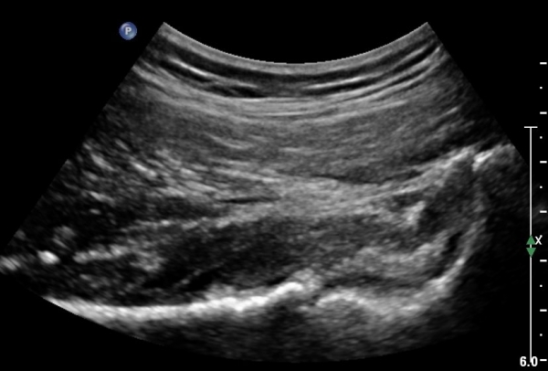
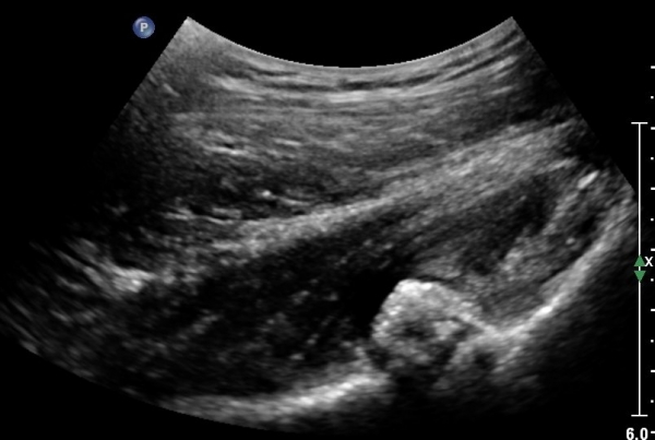
ÃÊÀ½ÆÄ°Ë»ç: °í°üÀý ¾ÕÂÊ Á¾´Ü¸é °Ë»ç¿¡¼­ °üÀý³¶ÀÌ µÎ²¨¿öÁö°í °æ¹ÌÇÑ °üÀý³» ºÎÁ¾À» º¸ÀÓ(»çÁø1, 2)


               °í°üÀý À§, ¿ÜÃø¿¡¼­ ´ëÅðÁ÷±Ù Á¾´Ü¸é°Ë»ç»ó  ´ëÅðÁ÷±Ù °ðÀº ¼¶À¯(direct) ±â½ÃºÎ¿¡ ¹Ì¼¼ÇÑ 

               ¼®È¸¼º º´º¯À» º¸À̳ª ÈûÁÙÀÇ Àú¿¡ÄÚ ºÎÁ¾Àº °üÂûµÇÁö ¾ÊÀ½.(»çÁø 3, 4)


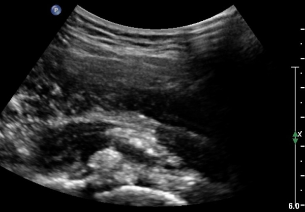
               Àå°ñ¸ªÀÇ Àå°æÀÎ´ë ±â½ÃºÎ¿¡ ÀδëÀÇ Àú¿¡ÄÚ ºÎÁ¾À̳ª ÆÄ¿­ µî ƯÀÌ ¼Ò°ß º¸ÀÌÁö ¾ÊÀ½(»çÁø 5, 6)


               °í°üÀý ¿ÜÃø Á¾´Ü¸é °Ë»ç¿¡¼­ ƯÀÌ ¼Ò°ß º¸ÀÌÁö ¾ÊÀ½(»çÁø 7)


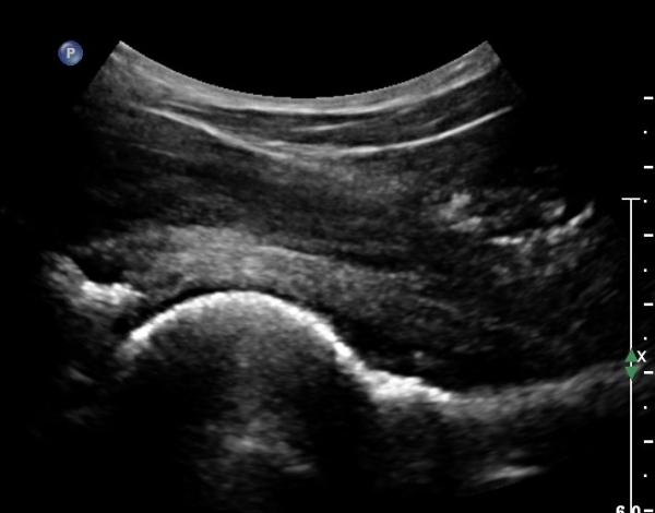
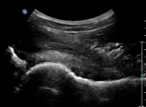
               °í°üÀý ¿ÜÃø, ¹Ù·Î µÚ Á¾´Ü¸é°Ë»ç¿Í Ⱦ´Ü¸é °Ë»ç»ó °üÀý ¿Í¼øºÎÀ§¿¡ Ä¿´Ù¶õ °í¿¡ÄÚ ¼®È¸È­°¡ °üÂûµÊ(»çÁø 8, 9)



Ä¡           ·á ÃÊÀ½ÆÄ À¯µµÇÏ ÁÖ»ç Ä¡·á ÈÄ Ãæ°ÝÆÄÄ¡·á  1ÁÖ°£°ÝÀ¸·Î 5ȸ ½ÃÇà.


°æ           °ú ÁÖ»çÄ¡·á 1ÁÖ ÈÄ ºÎÅÍ ÆÄÇàÀÌ  ¾ø¾îÁö°í ´Ù¸®ÀÇ ÅëÁõÀÌ ¼Ò½ÇµÊ.

                   5ÁÖ ÈÄ  ÃßÀû°Ë»ç ¹æ»ó¼± °Ë»ç¿¡¼­ ¼®È¸°¡ °ÅÀÇ ¿ÏÀü ¼Ò½Ç µÊ(»çÁø 11)..

                  

°í           Âû¾î±ú »Ó ¾Æ´Ï¶ó °ÅÀÇ ¸ðµç ±Ù°ñ°Ý°èÀÇ ¼®È¸È­ º´º¯¿¡¼­ 

                     ÁÖ»çÄ¡·á¿Í Ãæ°ÝÆÄÄ¡·á´Â ¼®È¸¸¦ Á¦°ÅÇϰí Áõ»óÀ» È£Àü ½ÃŰ´Â ¸Å¿ì À¯¿ëÇÑ Ä¡·á¹æ¹ýÀÌ´Ù. 

ÀÌÀü±Û neuroma of baxter's nerve(¹Ú½ºÅÍ ½Å°æÁ¾)
´ÙÀ½±Û »ó¹ÚºÎ¿¡¼­ Àü°ñ°£½Å°æ ´Ù¹ß ºñƲ¸²¿¡ ÀÇÇÑ Àü°ñ°£½Å°æ º´Áõ( anterior interosseous nerve neuropathy due to fascicular
       
°¡¸ÍÁ¡¸í : ½Ã¸®¾Ç½ºÁ¤ÇüÀÇÇבּ¸È¸
»ç¾÷ÀÚµî·Ï¹øÈ£ : 894-81-00627 | ´ëÇ¥ÀÚ : ÀåµÎÇõ
 
ÁÖ¼Ò : °æ±âµµ ¾çÆò±º ¿ë¹®¸é ¿ë¹®·Î 375-1, 2Ãþ 1È£
TEL : 010-2323-4055
E-mail : cyriax12@naver.com
ÀԱݾȳ»
±¹¹ÎÀºÇà | ½Ã¸®¾Ç½ºÁ¤ÇüÀÇÇבּ¸È¸(ÁÖ)
220401-04-194155