[¹ß¸ñ] ¸»´Ü Àü°æ°ñºñ°ñÀÎ´ë ¿°Á ¹× °æ°ñ °ß¿­°ñÀý ÃÊÀ½ÆÄ Áõ·Ê
ÀÛ¼ºÀÚ : ÃÖÀçÀÍ(jic121@hanmail.net) ÀÛ¼ºÀÏ : 2022-10-02 Á¶È¸¼ö : 1111
ÆÄÀÏ÷ºÎ :

³ªÀÌ   ¼ºº°  : 56¼¼ / ¿©ÀÚ

 

ÁÖ    Áõ   »ó  : ¿ìÃø ¹ß¸ñ ÅëÁõ (±â°£ : 1´Þ)

º´          ·Â  :  ¾à ÇÑ´Þ Àü »êÇà Áß  ¹ß¸ñÀ»  »ß¾î  Ÿº´¿ø ³»¿øÇÏ¿©  »À¿¡ ÀÌ»ó ¾ø´Ù´Â ¼Ò°ß µè°í

                    ¾à  º¹¿ëÇÏ°í  Áö³ÂÀ¸³ª  ÅëÁõÀÌ  °è¼ÓµÇ¾î ³»¿ø.

 

ÀÌÇÐÀû °Ë»ç : ¿Ü°ß»ó ¹ß¸ñ ¾ÕÂÊ¿¡  ¾à°£ÀÇ  ºÎÁ¾ÀÌ °üÂûµÇ°í

                  Àü°ÌºñÀÎ´ë  ¹× Àü°æ°ñºñ°ñÀÎ´ë  ºÎÀ§¿¡  ±¹¼ÒÀû  ¾ÐÅëÀ» º¸ÀÓ.


¹æ»ç¼± °Ë»ç :  ƯÀÌ ¼Ò°ß ¾øÀ½.


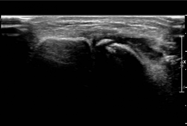
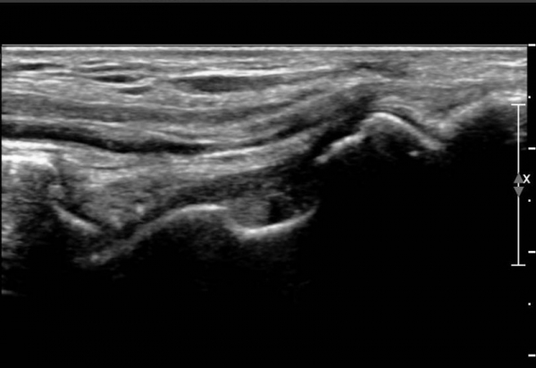
ÃÊÀ½ÆÄ ¼Ò°ß :  ¹ß¸ñ ¾Õ Á¾´Ü¸é°Ë»ç¿¡¼­ ¹ß¸ñ°üÀý³»  ¾à°£ÀÇ ¼ö¾×Àú·ù°¡ °üÂûµÊ(»çÁø 1).


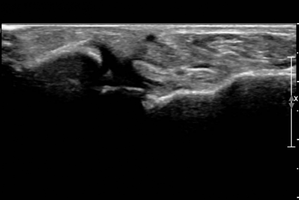
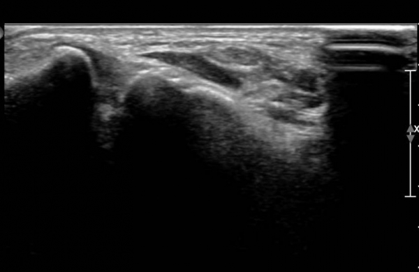
                   ¾Õ°æ°ñºñ°ñÀδë Á¾´Ü¸é°Ë»ç¿¡¼­ °æ°ñºñ°ñÀδëÀÇ  Àú¿¡ÄÚ  ºÎÁ¾ ¹× ÀδëºÎÂøºÎ °æ°ñÀÇ

                   °ß¿­°ñÀýÀÌ  °üÂûµÊ(»çÁø 2, 3, 4)

                   

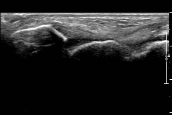
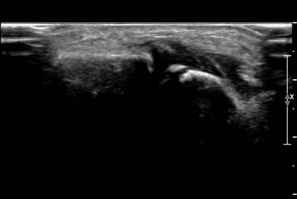
                   Àü°ÅºñÀδë,  Á¾°ñºñ°ñÀÎ´ë °Ë»ç»ó  ÀÌ»ó ¼Ò°ßÀ» º¸ÀÌÁö ¾ÊÀ½( »çÁø 5,  6)


                   ¹Ý´ëÃø  ¾Õ°æ°ñºñ°ñÀδë Á¾´Ü¸é°Ë»ç¿¡¼­  Àδ밡  °í¿¡ÄÚ·Î Á¤»óÀûÀÎ ¸ð½ÀÀ» º¸ÀÓ(»çÁø 7).


°Ë Ç» ÅÍ ÃÔ ¿µ : ÃÊÀ½ÆÄ°Ë»ç¿¡¼­ °üÂûµÇ´Â  °Íº¸´Ù  ºñ±³Àû  Å«  °ñÆíÀÌ °üÂûµÊ(»çÁø 8, 9, 10). 

                     

Ä¡          ·á  :  ºÎ¸ñ°íÁ¤,  Áõ½ÄÄ¡·á, Ãæ°ÝÆÄÄ¡·á


°í         Âû :  ¾ÕÂÊ ¸»´Ü°æ°ñºñ°ñÀδë´Â ¹ß¸ñÀÇ  ¿°Á¿¡¼­  ¸¹ÀÌ  ¾ð±ÞµÇÁö  ¾ÊÀ¸³ª  ÀÌ  ÀδëÀÇ  ¼Õ»óÀº

                  ¸¸¼ºÀûÀÎ ¹ß¸ñ°üÀý  ºÒ¾ÈÁ¤À»  ÃÊ·¡ÇÏ¿©  ¹ß¸ñ°üÀý¿°À» À¯¹ßÇÒ ¼ö ÀÖÀ¸¹Ç·Î  È®½ÇÇÑ  Áø´Ü  ¹×

                  Ä¡·á°¡  ÇÊ¿äÇÏ´Ù.

                  ¿°Á¿¡  µ¿¹ÝµÇ¾î  ¹ß»ýÇÒ ¼ö Àִ  ¹Ì¼¼°ñÀýÀº  ¿§½º·¹À̰˻翡¼­  È®ÀÎÀÌ  ¾ÈµÇ¹Ç·Î º¸Çà½Ã

                  ½ÉÇÑ  ÅëÁõÀ» º¸À̸鼭  ¹ß¸ñ°üÀý  »óºÎ¿¡(º¹½Â¾Æ»À ±ÙÀ§ºÎ)  ±¹¼ÒÀû  ¾ÐÅëÀÌ  ¶Ñ·ÈÇѰæ¿ì ÃÊÀ½ÆÄ

                  °Ë»ç¸¦ ½ÃÇàÇÏ¿©  ÀÎ´ë ¿°ÁÂ»Ó ¾Æ´Ï¶ó °æ°ñ,  ºñ°ñ,  °Å°ñÀÇ °ß¿­°ñÀý  ¿©ºÎ¸¦ È®ÀÎÇØ¾ß  Çϰí

                  °ñÀý¿¡  µû¸¥  öÀúÇÑ  Ä¡·á¸¦  ½ÃÇàÇØ¾ß  ¿Ü»ó ÈÄ ÈÄÀ¯ÁõÀ»  ÃÖ¼ÒÈ­  ÇÒ ¼ö ÀÖ´Ù.

ÀÌÀü±Û ¾öÁö¹ß°¡¶ô Àå±¼±Ù°Ç ¿°Áõ¿¡ ÀÇÇÑ ³»Ãø Á·Àú½Å°æ º´Áõ (PN of medial plantar nerve due to tenosynovitis of FHL)
´ÙÀ½±Û ¸¸¼º Ãæµ¹ÁõÈıº¿¡ ÀÇÇÑ È¸Àü±Ù°³ÆÄ¿­(±Ø»ó°Ç ÆÄ¿­)
       
°¡¸ÍÁ¡¸í : ½Ã¸®¾Ç½ºÁ¤ÇüÀÇÇבּ¸È¸
»ç¾÷ÀÚµî·Ï¹øÈ£ : 894-81-00627 | ´ëÇ¥ÀÚ : ÀåµÎÇõ
 
ÁÖ¼Ò : °æ±âµµ ¾çÆò±º ¿ë¹®¸é ¿ë¹®·Î 375-1, 2Ãþ 1È£
TEL : 010-2323-4055
E-mail : cyriax12@naver.com
ÀԱݾȳ»
±¹¹ÎÀºÇà | ½Ã¸®¾Ç½ºÁ¤ÇüÀÇÇבּ¸È¸(ÁÖ)
220401-04-194155