³ªÀÌ ¼ºº° : 53¼¼ /³²ÀÚ
ÁÖ Áõ »ó : ÁÂÃø ¾î±úÀÇ ÅëÁõ , 1³â ÀÌ»ó
º´ ·Â : ¼ö ³âÀüºÎÅÍ °£ÇæÀûÀÎ ÅëÁõ ÀÖ´ø Áß ÃÖ±Ù »ß²ý ÇÑ ÈÄ ÅëÁõ ½ÉÇØÁü ¹ã¿¡ ¾¥¼Å¼ ÀáÀÚ±â Èûµé°í, µé´Ù°¡ ÈûÀÌ ºüÁü.
ÀÌÇÐÀû °Ë»ç : °üÀý°¡µ¿¹üÀ§ ±¼°î 160µµ, ¿ÜȸÀü 50µµ·Î °æ¹ÌÇÑ Á¦ÇÑÀ» º¸ÀÓ ÀúÇ׿¡ ´ëÇÑ ¿ÜÀü½Ã ÅëÁõ ¹ß»ýÇÏ°í ±Ù·Â ¾àȸ¦ º¸ÀÓ ÀúÇ׿¡ ´ëÇÑ ¿ÜȸÀü½Ã ÅëÁõÀ» º¸À̳ª ±Ù·Â ¾àÈ´Â º¸ÀÌÁö ¾ÊÀ½ ÀúÇ׿¡ ´ëÇÑ ³»È¸Àü½Ã ÅëÁõÀ» º¸ÀÌÁö ¾ÊÀ½.
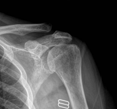
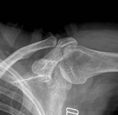
¹æ»ç¼± °Ë»ç : ¾î±ú ÀÜ¸é »çÁø¿¡¼ ´ë°áÀýÀÇ ¹Ì¼¼ÇÑ °ñ±Ø°ú °æÈµÈ ¼Ò°ßÀ» º¸ÀÌ°í °ßºÀ ÇÏ´ÜÀÇ °æÈ ¼Ò°ß ¹× ¿À±¸µ¹±â °ßºÀÀÎ´ë ºÎÂøºÎ °ñ±ØÀ» º¸¿© ¸¸¼ºÀûÀÎ Ãæµ¹ÀÌ ÃßÁ¤µÊ. ¿ÜÀü½Ã Àü¸é »çÁø¿¡¼ ´ë°áÀýÀÌ °ßºÀÇÏ´Ü¿¡ Á¢ÃËÇÏ´Â ¸ð½ÀÀÌ °üÂûµÊ. 
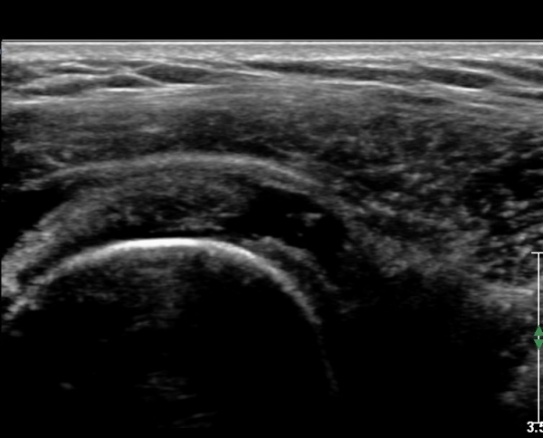
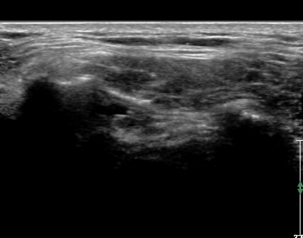
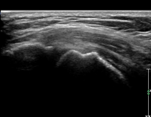
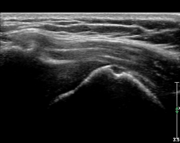
ÃÊÀ½ÆÄ ¼Ò°ß: ¿À±¸µ¹±â¿Í °ßºÀÀ» ¿¬°áÇÏ´Â ¿À±¸µ¹±â°ßº»Àδ밡 Á¤»óÀûÀÎ ¸ð½ÀÀ¸·Î °üÂûµÈ´Ù(»çÁø 1).
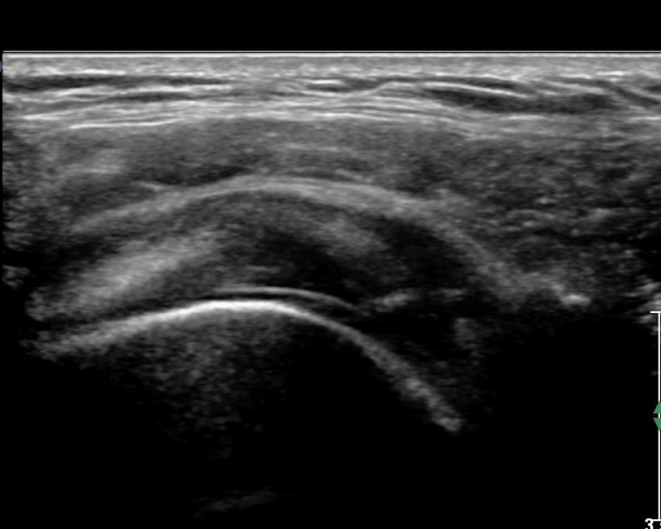
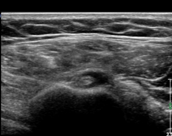
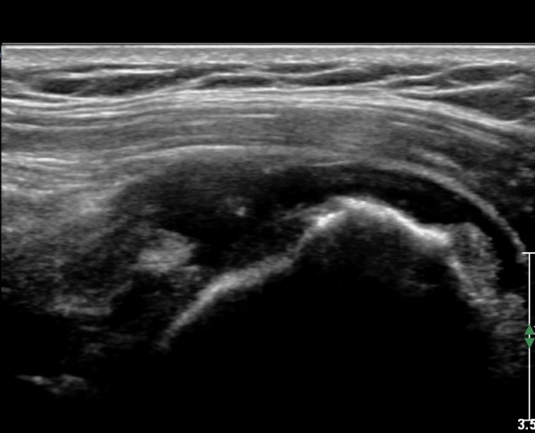
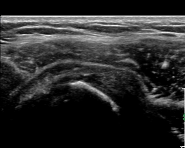
ŽÃËÀÚ¸¦ Á¶±Ý ¸»´ÜÀ¸·Î À̵¿ÇÏ´Ï ¿À±¸µ¹±â°ßºÀÀÎ´ë °ßºÀ ºÎÂøºÎ °ñ±ØÀÌ °üÂûµÇ°í ÀÎ´ë ½ÉÃþºÎ¿¡ ¼ö¾×Àú·ù°¡ ÀÖ¾î ¸¸¼ºÀûÀÎ Ãæµ¹À» ÃßÁ¤ÇÒ ¼ö ÀÖ´Ù(»çÁø 2).
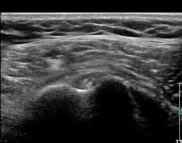
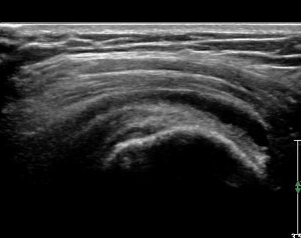
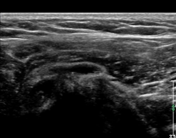
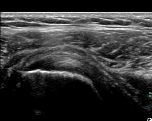
ŽÃËÀÚ¸¦ Á»´õ ¸»´ÜÀ¸·Î À̵¿ ÈÄ(¶Ç´Â ¾Æ·¡·Î ±â¿ïÀÎ ÈÄ) ³»ÃøºÎ¸¦ Á¶ÀýÇÏ´Ï °ß°©ÇÏ±Ù°Ç Ç¥ÃþÀ¸·Î Á¡¾×³¶³» ¼ö¾×Àú·ù°¡ °üÂûµÈ´Ù(»çÁö 3, 4). ŽÃËÀÚ¸¦ Á¶Á¤ÇÏ´Ï ÀÌµÎ¹Ú°Ç ÁÖÀ§ ¼ö¾× Àú·ù¿Í Á¡¾×³¶³» ¼ö¾×Àú·ù°¡ °üÂûµÇ¾î Á¡¾×³¶¿°°ú Ȱ¾×¸·¿°ÀÌ ÀÖÀ½À» ¾Ë ¼ö ÀÖ´Ù(»çÁø 5).
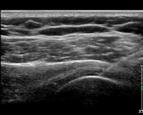
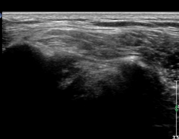
ŽÃËÀÚ¸¦ ¾à°£ ¿ÜÃøÀ¸·Î À̵¿ÇÏ¿© Á¶ÀýÇÏ´Ï À̵ιڰÇÀÌ °üÂûµÇ°í(»çÁø 6) ¾à°£ ¸»´ÜÀ¸·Î À̵¿ÇÏ´Ï °ÇÁÖÀ§ ¼ö¾×Àú·ù°¡ °üÂûµÈ´Ù(»çÁø 7). Á߸³À§¿¡¼ ŽÃËÀÚ¸¦ ¾î±ú ¿ÜÃø¿¡ ´ë°í °ßºÀ°ú ´ë°áÀýÀÌ ¸ðµÎ º¸À̵µ·Ï Á¶ÀýÇÏ¿© ¿ÜÀüÇÏ¸é¼ Ãæµ¹ ¿©ºÎ¸¦ °üÂûÇÑ´Ù. Á¤Áö »óÅ¿¡¼ ´ë°áÀýÀÇ °ñ °á¼ÕÀÌ °üÂûµÇ¾î ¸¸¼ºÀûÀÎ Ãæµ¹À» ½Ã»çÇÑ´Ù(»çÁø 8). ¿ÜÀü½Ã »ó¿Í°ñµÎ°¡ »ó¹æÀ¸·Î ¿òÁ÷ÀÌ°í °ßºÀ°ú Ãæµ¹ÇÔÀÌ °üÂûµÈ´Ù(»çÁø 8, ÷ºÎµ¿¿µ»ó 1).
±ØÇ졂 Á¾´Ü¸é °Ë»ç¿¡¼ Àá¾×³¶³» ¼ö¾×Àú·ù°¡ °üÂûµÇ°í(»çÁø 9) ÅÒÃËÀÚ¸¦ Á¶±Ý ³»ÃøÀ¸·Î À̵¿ÇÏ´Ï ±Ø»ó°ÇÀÌ ¼Ò½ÇµÇ°í ¼ö¾×Àú·ù°¡ °üÂûµÈ´Ù(»çÁø 10).
ȸÀü±Ù°³ Ⱦ´Ü¸é°Ë»ç¿¡¼ ±Ø»ó°Ç ³»ÃøºÎ ºÎºÐ °á¼ÕÀÌ °üÂûµÇ°í(»çÁø 11) ŽÃËÀÚ¸¦ Á¶±Ý ¸»´ÜÀ¸·Î À̵¿ÇÏ´Ï ±Ø»ó°Ç ³»ÃøºÎ ÀüÃþÆÄ¿ÀÌ °üÂûµÈ´Ù(»çÁö 12).
¿·À¸·Î ´©¿î »óÅ¿¡¼ ÃÊÀ½ÆÄ À¯µµÇÏ °üÀý°³» ÁÖ»çÄ¡·á ¿µ»óÀ¸·Î ÁÖ»ç ¹Ù´ÃÀÌ Á¤È®ÇÏ°Ô °üÀý°³» À§Ä¡Çϰí ÀÖ´Â °ÍÀÌ È±äµÈ´Ù(»çÁø 13). ÷ºÎ µ¿¿µ»ó¿¡¼ ÁÖ»ç¾×ÀÌ °üÀý³»·Î È帣´Â °ÍÀÌ °üÂûµÈ´Ù(÷ºÎ µ¿¿µ»ó 3).
Ä¡ ·á : ÅëÁõ °¨¼Ò¸¦ À§ÇÑ °üÀý³» ÁÖ»çÄ¡·á ÃÊÀ½ÆÄ »çÁø 13, ÷ºÎµ¿¿µ»ó 3¹ø Âü°í. °í Âû : Ãæµ¹ÁõÈıºÀº »ó¿Ï°ñÀÇ ´ë°áÀýÀÌ °ßºÀ°ú Ãæµ¹ÇÏ´Â ÁõÈıºÀ¸·Î ´ë°³ ÆÈÀ» À§·Î µå´Â Á÷¾÷À̳ª ½ºÆ÷Ã÷ Ȱµ¿À» °úµµÇÏ°Ô ÇÑ´Â »ç¶÷µé¿¡°Ô¼ ¸¹ÀÌ ¹ß»ýÇÒ ¼ö ÀÖ´Ù(»çÁø 1).
ƯÈ÷ °ßºÀ°ú ¼â°ñ »çÀ̰¡ ±¸Á¶ÀûÀ¸·Î Á¼¾ÆÁø °æ¿ì ¶Ç´Â ¾î±ú¸¦ ¿Ã¸± ¶§ »ó¿Ï°ñµÎ°¡ ºñÁ¤»óÀûÀ¸·Î ¿òÁ÷ÀÌ´Â °æ¿ì¿¡´Â Á¤»óÀûÀΠȰµ¿¿¡¼µµ Ãæµ¿ÀÌ ¹ß»ý ÇÒ ¼ö ÀÖ´Ù.
°ßºÀ°ú ¼â°ñ »çÀ̰¡ ±¸Á¶ÀûÀ¸·Î Á¼¾ÆÁö´Â °æ¿ì´Â ¼±ÃµÀûÀ¸·Î °ßºÀÀÌ ¾Æ·¡ ¹æÇâÀ¸·Î Çü¼ºµÇ¾î Àְųª °ßºÀÀÌ »ó¿Ï°ñÀ» ºñÁ¤»óÀûÀ¸·Î ¸¹ÀÌ µ¤°í ÀÖ´Â °æ¿ì, Áï critical shoulder angle ÀÌ 36µµ ÀÌ»ó, ¶Ç´Â °ßºÀÇÏ °ñ±ØÀÌ Àְųª °ßºÀ¼â°ñ°üÀý °ñ±ØÀÌ ÀÖ´Â °æ¿ì ¶Ç´Â ¿À±¸µ¹±â°ßºÀÀÎ´ë ºÎÂøºÎ °ñ±ØÀÌ ÀÖ´Â °æ¿ì µîÀÌ´Ù.ÇÑ ¶§ °ßºÀÀÇ ¸ð¾çÀÌ ±¸ºÎ·¯Áø °æ¿ì Ãæµ¹ÀÌ ¸¹ÀÌ ¹ß»ýÇÏ´Â °ÍÀ¸·Î ÆÇ´ÜµÇ¾úÀ¸³ª ÃÖ±ÙÀÇ ¿¬±¸¿¡¼´Â ºÎÁ¤µÇ°í ÀÖ´Ù.
¾î±ú¸¦ ¿Ã¸± ¶§ »ó¿Ï°ñµÎ°¡ »ó¹æÀ̳ª ¾ÕÂÊÀ¸·Î °úµµÇÏ°Ô À̵¿ÇÏ´Â °æ¿ì Á¤»óÀûÀΠȰµ¿À¸·Îµµ Ãæµ¹ÀÌ ¹ß»ýÇÒ ¼ö Àִµ¥ ȸÀü±Ù°³ÀÇ ¿°ÁõÀÌ Àְųª ÆÄ¿ÀÌ ÀÖ´Â °æ¿ì ȸÀü±Ù°³ÀÇ ±â´ÉÀÌ ÀúÇϵǾî Ãæµ¹ÀÌ ¹ß»ýÇÒ ¼ö ÀÖ°í ÀÌ·± °æ¿ì ȸÀü±Ù°³ ÆÄ¿ÀÌ ´õ¿í ¾ÇȵǴ ¿øÀÎÀÌ µÉ ¼ö ÀÖ´Ù. ¾î±ú °üÀýÀÇ ÈĹ汸ÃàÀ̳ª ÈĹ濡 ÀÖ´Â ±ÙÀ°ÀÌ °úµµÇÏ°Ô ±¸ÃàµÇ¾î ÀÖ´Â °æ¿ì ¾î±ú¸¦ ¿Ã¸± ¶§ »ó¿Ï°ñµÎ°¡ Àü¹æÀ¸·Î À̵¿ÇÏ¿© Ãæµ¹ÀÌ ¹ß»ýÇÒ ¼ö ÀÖ´Ù. À̿ܿ¡µµ ¾ß±¸¼±¼ö³ª ¹è±¸¼±¼ö¿¡°Ô ÈçÈ÷ ¹ß»ýÇÏ´Â ¾î±ú°üÀýÀÇ ³»È¸Àü Á¦ÇÑÀ» º¸ÀÌ´Â GIRD, °ß°©°ñÀÇ ÀÌ»ó¿îµ¿Áõ(dyskinesis), ¾î±ú°üÀýÀÇ ºÒ¾ÈÁ¤ÀÌ ÀÖ´Â °æ¿ì Ãæµ¹ÀÌ Àß ¹ß»ýÇÒ ¼ö ÀÖ´Ù(»çÁø2).
Ãæµ¹ÀÌ ¹ß»ýÇϸé óÀ½¿¡´Â ¿¬ºÎÁ¶Á÷ÀÇ ¿°ÁõÀÌ ¹ß»ýÇϴµ¥ Ãʱ⿡´Â Á¡¾×³¶¿°ÀÌ ¹ß»ýÇÏ¿© ¾î±ú¸¦ ¿Ã¸± ¶§ °É¸®°Å³ª ÅëÁõÀÌ ¹ß»ýÇϰí Á» ´õ ÁøÇàµÇ¸é ȸÀü±Ù°³ ƯÈ÷ ±Ø»ó°ÇÀÇ ¿°ÁßÀÎ ÆÄ¿ÀÌ ¹ß»ýÇÏ°Ô µÈ´Ù. Á¡¾×³¶¿°ÀÌ ¹ß»ýÇϸé Á¡¾×³¶ÀÌ µÎÅÍ¿öÁ®¼ ´õ¿í ½±°Ô Ãæµ¹ÀÌ ¹ß»ýÇϰí ÈûÁÙÀÌ ÆÄ¿µÇ¸é ¾î±ú¸¦ ¿Ã¸± ¶§ »ó¿Ï°ñÀ» ¾Æ·¡·Î ´ç°Ü¼ Ãæµ¹À» ¿¹¹æÇϴ ȸÀü±Ù°³ÀÇ °íÀ¯ Ȱµ¿ÀÌ ¾ïÁ¦µÇ¾î Ãæµ¹Àº ´õ¿í ½ÉÇØÁø´Ù. Ãæµ¹ÀÌ ´õ¿í ½ÉÇØÁö¸é ȸÀü±Ù°³ÀÇ ÆÄ¿ÀÌ ´õ ½ÉÇØÁö°í µû¶ó¼ Ãæµ¹ÀÌ ´õ¿í ½ÉÇØÁö´Â ¾Ç¼øÈ¯ÀÇ °í¸®¸¦ Çü¼ºÇÏ°Ô µÈ´Ù. ȸÀü±Ù°³ÀÇ ÆÄ¿ÀÌ °è¼Ó ÁøÇàµÈ¸é Ȱ¾×¸·¿°, °üÀý¿°ÀÌ ¹ß»ýÇϰí ÃÖ¾ÇÀÇ °æ¿ì·Î ȸÀü±Ù°³ ÆÄ¿¿¡ ÀÇÇÑ ¾î±ú°üÀýºÎÀü(arthropathy)ÀÌ ¹ß»ýÇÏ°Ô µÈ´Ù(»çÁø 3).
Ãæµ¹ÀÌ ÁøÇàµÇ¸é ´Ü¼ø¹æ»ç¼± ÃÔ¿µ¿¡¼µµ Ãæµ¹ÀÇ ÈçÀûÀ» ¹ß°ßÇÒ ¼ö ÀÖ´Ù. ´Ü¼ø¹æ»ç¼± ÃÔ¿µ¿¡¼ ´ë°áÀýÀ̳ª °ßºÀÀÇ °æÈ¼º º¯È(sclerotic change) ¶Ç´Â °ñ±Ø, ´ë°áÀûÀÇ °ñ °á¼ÕÀÌ °üÂûµÇ¸é Ãæµ¹ÀÌ ¸¸¼ºÀûÀ¸·Î ÁøÇàµÇ¾úÀ½À» ½Ã»çÇØÁØ´Ù. °ßºÀ¼â°ñ°üÀý ÇÏ´ÜÀÇ °ñ±ØÀ̳ª caudal tilt ÃØ¿µ¿¡¼ º¸ÀÌ´Â °ßºÀÀÇ °ñ±ØÀ» °üÂûÇϸé Ãæµ¹ ¹ß»ý °¡´É¼ºÀ» ÃßÁ¤ÇÒ ¼ö ÀÖ°í ¿À±¸µ¹±â°ßºÀÀÎ´ë °ßºÀ ºÎÂøºÎ¿¡¼ º¸ÀÌ´Â °ñ±ØÀº ȸÀü±Ù°³ ÆÄ¿À» °·ÂÈ÷ ½Ã»çÇÏ´Â ¼Ò°ßÀ̰í ÀÌ·± °æ¿ì ´ë°³ º¸Á¸Àû Ä¡·á¿¡ ¾çÈ£ÇÑ È£ÀüÀ» º¸ÀÌÁö ¾Ê´Â´Ù. ÀüÈĹæ»çÁø¿¡¼ critical shoulder angleÀ» °üÂûÇÑ´À ½À°üµµ ¸Å¿ì À¯¿ëÇÏ´Ù(»çÁø 4).
ÃÊÀ½ÆÄ°Ë»ç´Â Á¡¾×³¶¿°, Ȱ¾×³¶¿°, ȸÀü±Ù°³ ÆÄ¿À» È®ÀÎ ÇÒ ¼ö ÀÖ´Â ¸Å¿ì À¯¿ëÇÑ Áø´Ü±â±â ÀÌ´Ù. ¶ÇÇÑ °ßºÀ ¿ÜÃø¿¡ ŽÃËÀÚ¸¦ ´ë°í ¾î±ú¸¦ ¿ÜÀü½ÃŰ¸é¼ °üÂûÇÏ¸é »ó¿Ï°ñµÎ°¡ °ßºÀ¿¡ Ãæµ¹ÇÏ¸é¼ °É¸®´Â ¸ð½À, °ßºÀ¿ÜÃø¿¡ ¼ö¾×ÀÌ Àú·ùµÇ´Â ¸ð½À, ½ÉÇÑ °æ¿ì »ó¿Ï°ñµÎ°¡ »ó¹æÀ¸·Î ¿Ã¶ó°¡´Â ¸ð½À, ¾î±ú¸¦ ¿Ã¸± ¶§ »ï°¢±ÙÀÌ Á¶±â¿¡ °úµµÇÏ°Ô È°¼ºÈµÇ´Â ¸ð½À µîÀ» °üÂûÇÒ ¼ö ÀÖ°í(÷ºÎµ¿¿µ»ó 1) °æ¿ì¿¡ µû¶ó¼´Â ŽÃËÀÚ³ª ¼ÕÀÇ ´À³¦À¸·Î °ßºÀ ¾Æ·¡¿¡¼ ´ú°Å´ö °Å¸®´Â ÀâÀ½À» ÃËÁøÇÒ ¼ö ÀÖ´Ù. Ãæµ¿ÀÌ ¹ß»ýÇÏ´Â À§Ä¡¿¡ µû¶ó °æºÀ°ú ¿ÜÀü±Ù°³ ¿ÜÃøÀÌ Ãæµ¹ÇÏ´Â ¿ÜÃø Ãæµ¹°ú ȸÀü±Ù°³ ½ÉÃþÀÌ °üÀý¼ø°ú Ãæµ¹ÇÏ´Â ³»Ãø Ãæµ¹·Î ±¸ºÐÇÒ ¼ö Àִµ¥ ¿ÜÃø Ãæµ¹¿¡¼´Â ±Ø»ó°Ç ³»Ãø¿¡ ÆÄ¿ÀÌ ¹ß»ýÇϰí(»çÁö 5) ³»Ãø Ãæµ¹¿¡¼´Â ±Ø»ó°Ç°ú ±ØÇ졂 ¿¬Á¢ºÎ¿¡¼ ÆÄ¿ÀÌ ¹ß»ýÇÏ¿©(»çÁø 6) ÃÊÀ½ÆÄ°Ë»ç·Î ±¸ºÐÀÌ µÈ´Ù.
Ä¡·á Ãæµ¹ÁõÈıº Ä¡·áÀÇ ±âº»Àº ÈÞ½ÄÀÌ´Ù. Á¤»óÀûÀÎ °üÀý¿¡¼µµ °úµµÇÑ ¿îµ¿À̳ª ¿ò±ãÀÓÀÌ ¿°ÁõÀ» ÃÊ·¡ ÇÒ ¼ö ÀÖÀ¸¹Ç·Î ¿òÁ÷ÀÓÀ» Á¦ÇÑÇÏ¿© ¿°ÁõÀÇ ¾Çȸ¦ ¹æÁöÇØ¾ß ÇÑ´Ù.
Áõ»óÀÇ ¿Ïȸ¦ À§ÇÏ¿© ¹°¸®Ä¡·á, ¾à¹°Ä¡·á°¡ ÇÊ¿äÇϰí Áõ»óÀÌ ½ÉÇÑ °æ¿ì¿¡´Â ÀÌÂ÷ÀûÀÎ Á¡¾×³¶¿°À̳ª Ȱ¾×¸·¿° Ä¡·áÀ» À§ÇØ Á¡¾×³¶³»ÁÖ»ç ¶Ç´Â °üÀý³» Áֻ縦 ½ÃÇàÇÑ´Ù. ¾î´À ºÎÀ§¿¡ Áֻ縦 ½ÃÇà ÇÒ °ÍÀΰ¡´Â ÀÌÇÐÀû°Ë»ç ¹× ÃÊÀ½ÆÄ°Ë»ç ¼Ò°ß¿¡ µû¶ó °áÁ¤ÇÑ´Ù.
Áõ»óÀÇ È£ÀüÀÌ ÀÖÀº ÈÄ ¾î±ú¿¡ ±¸Á¶ÀûÀÎ ÀÌ»óÀÌ ÀÖ´Â °æ¿ì À̰ÍÀ» Ä¡·áÇØ¾ß ±Ùº»ÀûÀÎ Ä¡·á°¡ µÈ´Ù. ȸÀü±Ù°³ÀÇ ¿°ÁõÀ̳ª ÆÄ¿ÀÌ ÀÖ´Â °æ¿ì ÈûÁÙÀÇ °È¸¦ À§ÇØ Áõ½ÄÄ¡·á, Ãæ°ÝÆÄÄ¡·á¸¦ ½ÃÇàÇÒ ¼ö ÀÖ°í ±Ù·Â ¾àÈ ¹× ±¸Ãà, °ß°©°ñ ÀÌ»ó¿îµ¿ÁõÀÌ ÀÖ´Â °æ¿ì ¿îµ¿Ä¡·á¸¦ ½ÃÇàÇÏ¿© ¾î±ú°üÀý°ú °ß°©°ñÀÇ ¿òÁ÷ÀÓÀ» Á¤»óÈ ½ÃÄÑ¾ß ÇÑ´Ù(»çÁø 7).
ÀÌ»ó°ú °°ÀÌ Ãæµ¹ÁõÈıº¿¡ ´ëÇÏ¿© ÃæºÐÈ÷ ÀÌÇØÇϰí Á¤È®ÇÏ°Ô Áø´ÜÇϸç È¿À²ÀûÀ¸·Î Ä¡·áÇϱâ À§Çؼ´Â ½Ã¸®¾Ç½ºÁ¤ÇüÀÇÇבּ¸È¸¿¡¼ ½ÃÇàÇÏ´Â ¼¼¸¶³ª¿Í ÃÊÀ½ÆÄ°Ë»ç ¿öÅ©¼¥¿¡ Âü°¡ÇÏ¿© °øºÎÇÏ´Â °ÍÀÌ ÇÊ¿äÇÏ´Ù(»çÁø 8)






 http://cyriax.co.kr/adm/bbs/down.php?code=dataroom03&idx=6990&no=19 (°üÀý³» ÁÖ»çÄ¡·á)
http://cyriax.co.kr/adm/bbs/down.php?code=dataroom03&idx=6990&no=20 (Á¡¾×³¶³» ÁÖ»çÄ¡·á)
 |