³ªÀÌ ¼ºº° : 60¼¼ /¿©ÀÚ ÁÖ Áõ »ó : ¿ìÃø ¼Õ°¡¶ôÀÌ ÆìÁöÁö ¾ÊÀ½(±â°£ : 1´Þ) ¼Õ°¡¶ô Çϼö(finger drop)
 º´ ·Â : ¿Ü»ó ¾ø½¿. 6°³¿ù Àü Ưº°ÇÑ ¿øÀÎ ¾øÀÌ µÎ¹øÂ° ¼Õ°¡¶ôÀÌ ¾ÈÆìÁö±â ½ÃÀÛÇÑ ÈÄ Àüü ¼Õ°¥°¡ÀÌ ¾ÈÆìÁü.
ÀÌÇÐÀû °Ë»ç : ±Ù·Â°Ë»ç ¼Õ°¡¶ô ½ÅÀü T(1) grade ¼Õ¸ñ ½ÅÀü(ECR) G(4) grade ¾öÁö ¿ÜÀü(APB) G(4)grade ¼Õ°¡¶ô ¿ÜÀü(DI) G(4) grade
±ÙÀüµµ°Ë»ç : peripheral neuropathy of posterior interosseous nerve, near complete.
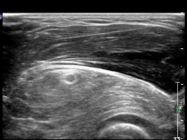
ÃÊÀ½ÆÄ ¼Ò°ß ÆÈ²ÞÄ¡ ¾Õ Ȳ´Ü¸é °Ë»ç¿¡¼ ¼ÒµÎ Àü¸é¿¡ ÀÌÁú¼º °í¿¡ÄÚ(heterogenous htperechoic)ÀÇ Á¾±«(mass)°¡ Èİñ°£½Å°æÀ» Ç¥ÃþÀ¸·Î ÀüÀ§½ÃŰ´Â ¾ç»óÀ¸·Î °üÂûµÊ(»çÁø 1).
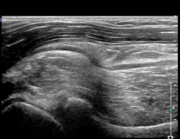
ŽÃËÀÚ¸¦ Á¶±Ý ¸»´ÜÀ¸·Î À̵¿ÇÏ´Ï ¿ä°ñµÎ°¡ °üÂûµÇ°í ÀÌÁú¼º°í¿¡ÄÚÀÇ Á¾±«°¡ Èİñ°£½Å°æÀ» Ç¥ÃþÀ¸·Î ÀüÀ§½ÃŰ´Â ¾ç»óÀ¸·Î °üÂûµÊ(»çÁø 2).
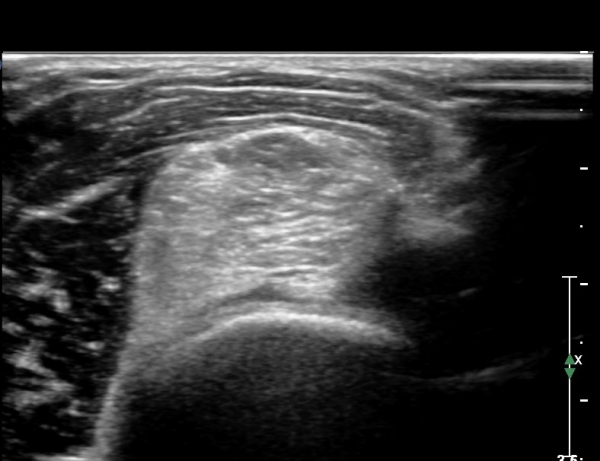
ŽÃËÀÚ¸¦ Á¶±Ý ´õ ¸»´ÜÀ¸·Î À̵¿ÇÏ´Ï ¿ä°ñ ¸öÅëÀÌ °üÂûµÇ°í ÀÌÁú¼º°í¿¡ÄÚ Á¾±«¿Í Èİñ°£½Å°æ ºÎÁ¾ÀÌ °ýÂûµÊ(»çÁø 3).
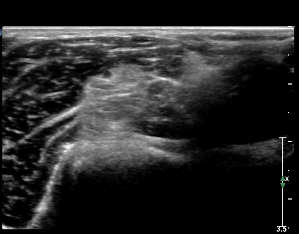
ÆÈ²ÞÄ¡ ¾Õ Á¾´Ü¸é°Ë»ç¿¡¼ ÀÌÁú¼º °í¿¡ÄÚ Á¾±«´Â ȸ¿Ü±ÙÀ» ħ¹üÇÏ¿© ÆÛÁ®ÀÖÀ¸¸ç Èİñ°£½Å°æÀÇ Àü¹ÝÀûÀÎ ºÎÁ¾°ú ±¹¼ÒÀû ¾Ð¹ÚÀÌ °üÂûµÊ(»çÁö 4).
Ä¡ ·á : ¿Ü·Ú º´¿ø ȸ¼Û . °í Âû : ¿ä°ñ½Å°æÀÌ »ó¿ÏÀÇ °£ºÎ Áï ¿ä°ñ°í¶û¿¡¼ ¼Õ»ó¹Þ´Â °æ¿ì ¼Õ¸ñÇϼö(wrist drop)°¡ ¹ß»ýÇϴµ¥ ¼ÒÀ§ ½ÅÈ¥¿©Çึºñ ¶Ç´Â Åä¿äÀϹ㠸¶ºñ¿Í °°ÀÌ Àå½Ã°£ ±¹¼ÒÀû ¾Ð¹Ú¿¡ ÀÇÇØ ¹ß»ýÇÑ´Ù. ÆÈ²ÞÄ¡³ª Àü¿ÏºÎÀ§¿¡¼ ¿ä°ñ½Å°æÀÌ ¸¶ºñµÇ´Â °æ¿ì´Â ¿ä°ñ½Å°æÀÇ ¿îµ¿½Å°æ°¡ÁöÀÎ Èİñ°£½Å°æÀÌ ¸¶ºñµÇ¾î ¼Õ°¡¶ôÇϼö (finger drop)°¡ ¹ß»ýÇÏ°í ½Å°æ¸¶ºñÀÇ ¿øÀÎÀº ´ë°³ ¿Ü»óÀ̳ª °áÀýÁ¾ µî Á¾±«¿¡ ÀÇÇÑ ¸¶ºñ°¡ ´ëºÎºÐÀÌ´Ù. ¾Æ·¡ Áõ·Ê¿Í °°ÀÌ ¾Ë ¼ö ¾ø´Â ¿øÀÎÀ¸·Î ¿ä°ñ½Å°æÀÇ ºñƲ¸²ÀÌ ¹ß»ýÇÏ¿© ½Å°æ¸¶ºñ°¡ ¹ß»ýÇÏ´Â °æ¿ì´Â Àü¼¼°èÀûÀ¸·Î ¸Å¿ì µå¹°°Ô º¸°íµÈ´Ù.
±ÙÀ°³» Ç÷°üÁ¾À̳ª ½Å°æ³» Ç÷°üÁ¾¿¡ÀÇÇÑ ½Å°æ¸¶ºñ´Â µå¹°°Ô º¸°í µÇ°í Àִµ¥ Ç÷°üÁ¾°ú °ü·ÃµÈ ½Å°æ ¸¶ºñ´Â ´ë°³ ³×°¡Áö ±âÀüÀ¸·Î ¹ß»ýÇÒ ¼ö Àִµ¥ ù°´Â ±ÙÀ°³» Ç÷°üÁ¾¿¡ ÀÇÇÑ Á÷Á¢ÀûÀÎ ½Å°æÀÇ ¾Ð¹Ú, µÑ°´Â ½Å°æ³» Ç÷°üÁ¾¿¡ ÀÇÇÑ ½Å°æÀÇ ¸¶ºñ°¡ ÀÖÀ» ¼ö Àִµ¥ ¿©·¯ ºÎÀ§¿¡¼ ¹ß»ýÇÏ´Â Áõ·Ê°¡ º¸°íµÇ°í ÀÖ´Ù. ¼Â°´Â Ç÷°üÁ¾ÀÇ ÃâÇ÷¿¡ ÀÇÇÑ ½Å°æ ¸¶ºñ·Î ½Å°æ¹Ùºñ Áõ»óÀÌ ±Þ¼ºÀ¸·Î ¹ß»ýÇÏ´Â °æÇâÀÌ ÀÖ´Ù, ¸¶Áö¸·À¸·Î Ç÷°üÁ¾°ú °ü·ÃµÈ ½Å°æ¿°Áõ¿¡ ÀÇÇÑ °æ¿ìÀÌ´Ù.
º» Áõ·Ê´Â Áõ»óÀÌ ºñ±³Àû ¼¼È÷ ¾ÇȵǾú°í ½Å°æ¿Í Ç÷°üÁ¾ÀÇ °æ°èµµ ¶Ñ·ÈÇÏ¿© ¾Æ¸¶µµ Ç÷°üÁ¾¿¡ÀÇÇÑ Á÷Á¢ÀûÀÎ ¾Ð¹ÚÀÌ ½Å°æ¸¶ºñÀÇ ¿øÀÎÀ¸·Î ÃßÁ¤µÈ´Ù.
Âü°í ¹®Çå
|