[¼Õ¸ñ] Àü°ñ°£½Å°æ ¸¶ºñ¿Í °¨º°Áø´ÜÀÌ ÇÊ¿äÇÑ À幫Áö±¼±Ù(FPL) ÈûÁÙ ÆÄ¿­ ÃÊÀ½ÆÄ ¼Ò°ß
ÀÛ¼ºÀÚ : ÃÖÀçÀÍ(jic121@hanmail.net) ÀÛ¼ºÀÏ : 2022-02-26 Á¶È¸¼ö : 1623
ÆÄÀÏ÷ºÎ :

³ªÀÌ   ¼ºº°  : 55¼¼ /¿©ÀÚ

 

ÁÖ   Áõ   »ó  : ¿ìÃø ¾öÁö ¼Õ°¡¶ô  ¸¶µð ±¸ºÎ·¯ÁöÁö ¾ÊÀ½, Á£°¡¶ô ÁúÀÌ ¾ÈµÊ(±â°£ : 1´Þ)

                     ¾öÁö°¡ ¾ÈÀ¸·Î ¸ð¾ÆÁöÁö ¾Ê´Â´Ù


º´          ·Â  : 5°³¿ù Àü ¿ä°ñ °ñÀý·Î ³»°íÁ¤ ¼ö¼úÄ¡·á.

                     Àü°ñ°£½Å°æ¸¶ºñ(anteriro interosseous nerv) ¿©ºÎ È®ÀÎ À§ÇØ ±ÙÀüµµ°Ë»ç ÀÇ·ÚµÊ. 


ÀÌÇÐÀû °Ë»ç : ±Ù·Â°Ë»ç

                     ¾öÁö±¼°î(FPL)   zero grade

                     2¹ø ¼öÁö ¸»´Ü°üÀý ±¼°î(FDP)  G grade

                     Àüȯ ȸ³»(PT)     G grade

                            O  ring  sign (-)


                           Anterior interosseous nerve palsy caused by Parsonage-Turner syndrome |  Cleveland Clinic Journal of Medicine   ÁÂÃøÀÌ ¸¶ºñµÈ ÃøÀÓ(O ¸µÀ» ¸ø ¸¸µå´Â Ãø)


±ÙÀüµµ°Ë»ç :  ƯÀÌ ¼Ò°ß ¾ø½¿. 


ÃÊÀ½ÆÄ ¼Ò°ß 

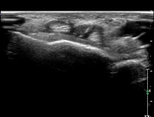
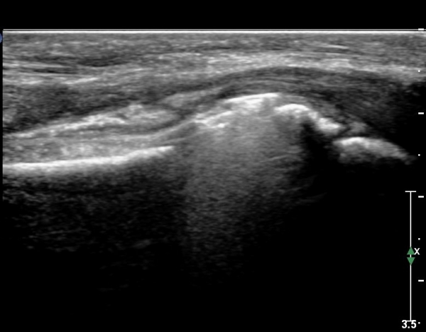
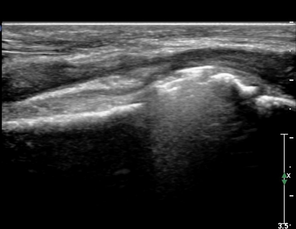
    ¾Æ·§ÆÈ »óºÎ Ⱦ´Ü¸é°Ë»ç¿¡¼­ Àü°ñ°£ ½Å°æ Áö¹è¸¦ ¹Þ´Â FPL, FDP ¿¡¼­ ½Å°æ¸¶ºñ ¼Ò°ß(°í¿¡ÄÚ ±ÙÀ§Ãà)À» 

    º¸ÀÌÁö ¾ÊÀ½(»çÁø 1)


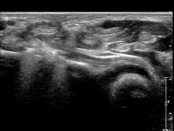
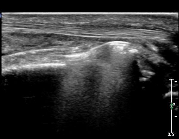
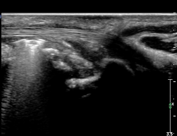
    ¾Æ·§ÆÈ ÇϺκΠȾ´Ü¸é°Ë»ç¿¡¼­ Àü°ñ°£ ½Å°æ Áö¹è¸¦ ¹Þ´Â  PQ ¿¡¼­ ½Å°æ¸¶ºñ ¼Ò°ß(°í¿¡ÄÚ ±ÙÀ§Ãà)À» 

    º¸ÀÌÁö ¾ÊÀ¸³ª  FPL ÈûÁÙÀÇ Àú¿¡ÄÚ ºÎÁ¾ÀÌ °üÂûµÇ°í(»çÁø 2, 3) ³»°íÁ¤¹°ÀÌ FPL °ú Á¢ÃËÇϰí ÀÖÀ½ÀÌ °üÂûµÊ(»çÁø 3)

    

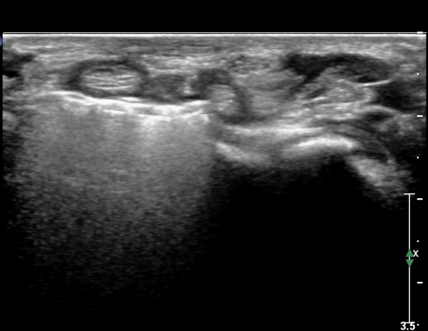
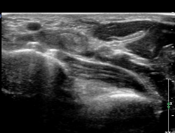
    ŽÃËÀÚ¸¦ Á¶±Ý ¸»´ÜÀ¸·Î À̵¿ÇÏ´Ï FPL Å©±â°¡ ±Þ°ÝÈ÷ °¨¼ÒÇÔ. FCR,  FDP ÁÖº¯ ¹Ì¼¼ÇÑ ¼ö¾×Àú·ù °üÂûµÊ(»çÁø4, 5)


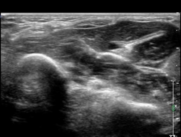
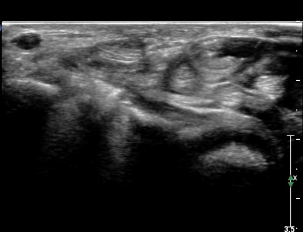
    ŽÃËÀÚ¸¦ Á¶±Ý ´õ ¸»´ÜÀ¸·Î À̵¿ÇÏ´Ï FCR¿Í FDP »çÀÌ¿¡¼­ Àú¿¡ÄÚ »óÅÂÀÇ FPL °¡ °üÂûµÇ°í °íÁ¤¹°¿¡ ÀÇÇÑ

    ¾Ð¹ÚÀÌ °üÂûµÊ(»çÁø 6, 7)


   ¼Õ¸ñ ºÎÀ§ Á¾´Ü¸é°Ë»ç¿¡¼­  FCR ÈûÁÙÀÌ °íÁ¤¹°°ú Á¢ÃËÇϰí ÀÖ´Â °ÍÀÌ È®Àεdzª ÈûÁÙÀº °í¿¡ÄÚ¼¶À¯È­ ¾ç»óÀ» º¸¿©

   Á¤»ó ¼Ò°ßÀ¸·Î ÆÇ´ÜµÊ(»çÁø 8. 9)


   Å½ÃËÀÚ¸¦ ¾à°£ ³»ÃøÀ¸·Î À̵¿ÇÏ´Ï FPL ÈûÁÙÀÌ °íÁ¤¹°¿¡ ÀÇÇØ ¾Ð¹ÚµÇ°í ÀÖÀ½ÀÌ È®ÀÎµÇ°í ±ÙÀ§ºÎ¿Í ¸»´ÜºÎ´Â

   Àú¿¡Ä¿ ºÎÁ¾ÀÌ °üÂûµÇ°í ±× »çÀÌ´Â °¡´Ã¾îÁ®¼­ ÈûÁÙÀÇ ¼Ò½Ç(ÆÄ¿­)À» ÃßÁ¤ ÇÒ ¼ö ÀÖÀ½(»çÁø 10. 11)



Ä¡         ·á  :  ¿Ü·Ú º´¿ø ȸ¼Û .

 

°í         Âû :   

                      Schematic diagram of possible injury mechanism of this case... | Download  Scientific Diagram 

Àü°ñ°£½Å°æ(anteriro interosseous nerve)Àº ÀüÁ߽ŰæÀÇ °¡Áö·Î¼­ ¾Æ·§ÆÈ  »óºÎ 1/3 °æ°èºÎ¿¡¼­ ºÐÁöÇÏ¿©

FDP ±ÙÀ°ÀÇ ½ÉºÎ¿¡ ÁÖÇàÇÑ´Ù. ÀÌ ½Å°æÀº  ¼ø¼öÇÑ ¿îµ¿½Å°æÀ¸·Î ÇǺο¡ °¨°¢½Å°æºÐÁö¸¦ ³»Áö ¾Ê¾Æ¼­ ¸¶ºñ ½Ã

°¨°¡ ÀÌ»óÀ» º¸ÀÌÁö ¾Ê´Â´Ù.  ÀÌ ½Å°æÀº FPL, FDP, PQ ¼¼ ±ÙÀ°ÀÌ ¿îµ¿½Å°æÀ» Á־  ÀÌ ½Å°æÀÌ ¸¶ºñµÇ´Â °æ¿ì

¾öÁö¿Í 2, 3¹ø ¼öÁöÀÇ ¸»´Ü°üÀý ±¼°îÀÌ ¾ÈµÇ¾î ¾öÁö¿Í °ËÁö·Î O ¸µ ¸ð¾çÀ» ¸¸µé¾î º¸¶ó°í Çϸé À§ÀÇ ±×¸²°ú °°ÀÌ

O ¸µ ¸ð¾çÀ» ¸¸µéÁö ¸øÇÑ´Ù.


¿Ü»ó ÈÄ ¾öÁö³ª °ËÁöÀÇ ¸»´Ü °üÀý ±Ù¾àÁõÀÌ ¹ß»ýÇÏ´Â °æ¿ì ÈûÁÙ ÆÄ¿­°ú Àü°ñ°£½Å°æ¸¶ºñ¸¦ °¨º°Áø´ÜÇØ¾ß Çϴµ¥

´ëºÎºÐÀº ±ÙÀüµµ°Ë»ç¿¡¼­ È®½ÇÇÏ°Ô °¨º°Áø´ÜÀÌ °¡´ÉÇϳª ÀϺο¡¼±´À ¾Ö¸ÅÇÑ ¼Ò°ßÀ» º¸ÀÏ ¼ö ÀÖ´Ù.

±ÙÀüµµ°Ë»ç¿¡¼­ È®½ÇÈ÷ °¨º°Áø´ÜÀÌ ¾î·Á¿î °æ¿ì ¶Ç´Â ÈûÁÙÆÄ¿­ ºÎÀ§ È®ÀÎÀÌ ÇÊ¿äÇÑ °æ¿ì ÃÊÀ½ÆÄ°Ë»ç°¡

¸Å¿ì Å« µµ¿òÀÌ µÈ´Ù.  ±×·¯³ª FPL ÆÄ¿­ÀÌ ÁÖ·Î ¹ß»ýÇÏ´Â ºÎÀ§°¡  ÈûÁÙÀÌ ¼ö±Ù°üÀ¸·Î µé¾î°¡±â ¹Ù·Î Àü ºÎÀ§Àε¥

ÀÌ ºÎÀ§¿¡¼­  ƯÈ÷ ȸ»óÀ̳ª ¼ö¼ú »óó°¡ ÀÖ´Â °æ¿ì¿¡´Â FPL ÈûÁÙ ÃßÀûÀÌ ½±Áö ¾Ê¾Æ¼­ Æò¼Ò¿¡ ÃæºÐÇÑ ¿¬½ÀÀÌ

ÇÊ¿äÇÏ´Ù.


¶ÇÇÑ FPL ±ÙÀ°ÀÌ °üÂûµÇ´Â ºÎÀ§¿¡¼­ Á¤»ó¿¡ÄÚ¿Í Å©±â·Î °üÂûµÇ´Â FPL ±ÙÀ°À» È®ÀÎÇϰųª  ¾öÁö¸¦ ±¸ºÎ¸®´Â

ÈûÀ» ÁÙ ¶§ ±ÙÀ°ÀÌ µÎÅÍ¿öÁö´Â Çö»óÀ» °üÂûÇÏ´Â ¹æ¹ýÀ¸·Î ½Å°æ¸¶ºñ¿©ºÎ¸¦ È®ÀÎÇÒ ¼ö ÀÖ°í

¼Õ¸ñ ºÎÀ§¿¡¼­ FPL ÈûÁÙÀ» °üÂûÇÏ¿©  ¼öµ¿ÀûÀ¸·Î ¾öÁö¸¦ ±¸ºÎ¸®°í Æì¸é¼­ ÈûÁÙÀÇ ¿òÁ÷ÀÓÀ» °üÂûÇÔÀ¸·Î¼­ 

ÈûÁÙÀÇ ¿¬°á¼º ¼Ò½ÇÀ» ÆÇ´ÜÇÒ ¼ö ÀÖ´Ù.

ÀÌÀü±Û Ç÷°üÁ¾¿¡ ÀÇÇÑ Èİñ°£½Å°æ¸¶ºñ(posterior interosseous nerve neuropathy due to hemangioma)
´ÙÀ½±Û Àü°æ°ñ°Ç ºÎÂøºÎ °ÇÃÊ¿° ÃÊÀ½ÆÄ ¼Ò°ß
       
°¡¸ÍÁ¡¸í : ½Ã¸®¾Ç½ºÁ¤ÇüÀÇÇבּ¸È¸
»ç¾÷ÀÚµî·Ï¹øÈ£ : 894-81-00627 | ´ëÇ¥ÀÚ : ÀåµÎÇõ
 
ÁÖ¼Ò : °æ±âµµ ¾çÆò±º ¿ë¹®¸é ¿ë¹®·Î 375-1, 2Ãþ 1È£
TEL : 010-2323-4055
E-mail : cyriax12@naver.com
ÀԱݾȳ»
±¹¹ÎÀºÇà | ½Ã¸®¾Ç½ºÁ¤ÇüÀÇÇבּ¸È¸(ÁÖ)
220401-04-194155