[¾î±ú] °ß°©ÇÏ±Ù°Ç ÆÄ¿­(Âõ¾îÁü) ÃÊÀ½ÆÄ ¼Ò°ß
ÀÛ¼ºÀÚ : ÃÖÀçÀÍ(jic121@hanmail.net) ÀÛ¼ºÀÏ : 2020-11-26 Á¶È¸¼ö : 3158
ÆÄÀÏ÷ºÎ :

³ªÀÌ   ¼ºº°  : 26¼¼ ³²ÀÚ

 

ÁÖ   Áõ   »ó  : ¿ìÃø ¾î±ú ÅëÁõ(±â°£ : 1´Þ)

º´          ·Â  : ¿îµ¿ ¶Ç´Â ¹«¸®ÇÑ ÀÛ¾÷ ¾øÀÌ ÅëÁõÀÌ ½ÃÀÛµÊ.

                     ¹ÛÀ¸·Î Á¦³¥ ¶§¿Í ³»Àü ½Ã ÅëÁõÀÌ ¹ß»ý.

                     ¼Ò¸®°¡ ³­´Ù.

 

ÀÌÇÐÀû °Ë»ç ¼öµ¿Àû °üÀý°¡µ¿¹üÀ§ °Ë»ç ½Ã Á¦ÇÑÀº ¾øÀ½.

                     ÀúÇ׿¡ ´ëÇÑ ¿ÜÀü ½Ã °æ¹ÌÇÑ ÅëÁõÀ» º¸ÀÓ.

                     ÀúÇ׿¡ ´ëÇÑ ³»È¸Àü ½Ã ½ÉÇÑ ÅëÁõÀ»  º¸ÀÓ.

                     LIft off test(+++),  Belly press test(++),   Bear hug test(+)


¹æ»ç¼± °Ë»ç :  ƯÀÌ ¼Ò°ß ¾ø½¿.

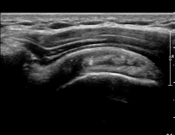
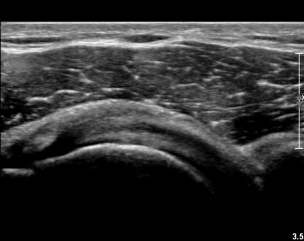
ÃÊÀ½ÆÄ ¼Ò°ß :  ȸÀü±Ù°³ °í¶û  °Ë»ç¸¦ À§ÇÑ »ó¿Ï Á߸³À§¿¡¼­ °ß°©ÇÏ±Ù°Ç °Ë»ç¸¦ À§ÇØ  ŽÃËÀÚ¸¦

                      ¾à°£ ³»ÃøÀ¸·Î ±â¿ï¿© ½ÃÇàÇÑ °ß°©ÇÏ±Ù°Ç Á¾´Ü¸é°Ë»ç¿¡¼­ °ß°©ÇÏ±Ù°Ç »óºÎ°ÇÀÇ

                      Á¾¹æÇ⠺и®(½ÇÁú³» ÆÄ¿­)°¡ °üÂûµÈ´Ù(»çÁø 1).

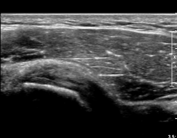
                      ŽÃËÀÚ¸¦ Á¶±Ý ´õ ¸»´Ü¹æÇâ(caudal)À¸·Î À̵¿ÇÏ´Ï ÆÄ¿­ÀÌ ´õ¿í ¶Ñ·ÈÇÏ´Ù(»çÁø 2, 3).


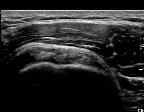
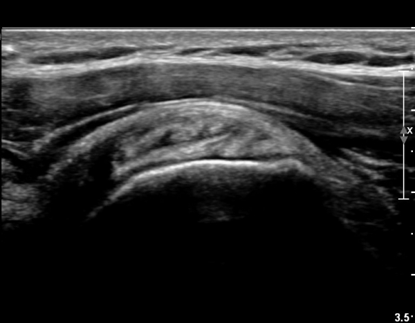
                      ŽÃËÀÚ¸¦ À§. ¾Æ·¡ ¹æÇâÀ¸·Î µ¹·Á °ß°©ÇϱٰÇÀÇ È¾´Ü¸é°Ë»ç¿¡¼­µµ °ß°©ÇϱٰÇÀÇ

                      °Ç ½ÇÁú³» ÆÄ¿­ÀÌ °üÂûµÈ´Ù(»çÁø 4, 5).                 

Ä¡         ·á  :  Ãæ°ÝÆÄ Ä¡·á, Áõ½Ä Ä¡·á .

 

°í         Âû :   ÀþÀº ³ªÀÌ¿¡¼­ Ưº°ÇÑ ¿Ü»ó ¾øÀÌ ¾î±úÀÇ ÅëÁõÀÌ ¹ß»ýÇϰí ÀÌÇÐÀû°Ë»ç¿¡¼­  ƯÀ̼ҰßÀÌ ¾ø´Â °æ¿ì

                     Áø´ÜÀÌ ¾Ö¸ÅÇÑ °æ¿ì°¡ ¸¹´Ù.

                     ÀÌ·± °æ¿ì °ßºÀ¼â°ñ°üÀý, Èä°ñ¼â°ñ°üÀýÀÇ ¹®Á¦³ª  Ãæµ¹ÁõÈıº¿¡ÀÇÇÑ  Ȱ¾×¸·¿°À̳ª Á¡¾×³¶¿°À»

                     °í·ÁÇÒ ¼ö Àִµ¥ °ß°©ÇϱٰÇÀÇ ¹®Á¦µµ ¹Ýµå½Ã  È®ÀÎÇØ¾ßÇÑ´Ù.


                     ¾ÉÀº »óÅ¿¡¼­ ¾î±ú°üÀý °¡µ¿¹üÀ§°Ë»ç ÈÄ 

                     ÀúÇ׿¡ ´ëÇÑ ¿ÜÀü°Ë»ç, empty can test, speed 's test  ±âº»ÀûÀ¸·Î ½ÃÇà ÈÄ 

                     Æ¯ÀÌ ¼Ò°ßÀÌ ¾ø´Â °æ¿ì¿¡´Â °ß°©Çϱٰǿ¡ ÁÖ¸ñÇÑ´Ù. 

                     °ß°©ÇϱٰÇÀÇ  Æò°¡´Â ¾É¾Æ¼­ horizontal adduction ½Ã ÅëÁõÀ̳ª Á¦ÇÑ È®ÀÎ ÈÄ

                      belly press test, bear hug test, lift off  °Ë»ç¸¦ ½ÃÇàÇÑ´Ù.

                     ´©¿î »óÅ¿¡¼­ ÀúÇ׿¡ ´ëÇÑ ³»È¸Àü ½Ã ÅëÁõÀ̳ª ¼öµ¿Àû ¿ÜȸÀü Á¦ÇÑÀ» È®ÀÎÇØ¾ßÇÑ´Ù.


                     º» Áõ·Ê¿Í °°Àº °ß°©ÇÏ±Ù°Ç »óºÎÆÄ¿­Àº  Åë»óÀûÀÎ ¹æ¹ýÀ¸·Î °ß°©ÇÏ±Ù°Ç Á¾´Ü¸é°Ë»ç,

                     È¾´Ü¸é°Ë»ç¸¦ ½ÃÇàÇÏ¸é ÆÄ¿­À» È®ÀÎÇÒ ¼ö ¾ø´Ù.

                     ¹Ýµå½Ã ȸÀü±Ù°³°£°Ý(rotator cuff interval)¿¡¼­ °ß°©ÇϱٰÇÀ» °Ë»çÇØ¾ß ÇÑ´Ù.

 

                     °ß°©ÇϱٰÇÀÇ  ±Þ¼º±â ÆÄ¿­¿¡¼­´Â ¹Ì¼¼ÇÑ ÆÄ¿­¿¡¼­µµ º» Áõ·Ê¿Í °°ÀÌ 

                     °Ë»ç¿¡¼­ ¶Ñ·ÈÇÑ  ¾ç¼º¼Ò°ßÀ» º¸ÀÌ°í  ´Ü¼øÇÑ ¾ÈÁ¤¸¸À¸·Îµµ ÁÁÀº Ä¡·á°æ°ú¸¦ º¸ÀδÙ.  


 À¯»ç Áõ·Ê

                 °ß°©ÇÏ±Ù°Ç »óºÎ ¹Ì¼¼ ÆÄ¿­  ::: ½Ã¸®¾Ç½º Á¤ÇüÀÇÇבּ¸È¸ ::: (cyriax.co.kr)::: 


                 °ß°©ÇÏ±Ù°Ç »óºÎ ÆÄ¿­     ::: ½Ã¸®¾Ç½º Á¤ÇüÀÇÇבּ¸È¸ ::: (cyriax.co.kr)


                  °ß°©ÇÏ±Ù°Ç »óºÎ ÆÄ¿­ ::: ½Ã¸®¾Ç½º Á¤ÇüÀÇÇבּ¸È¸ ::: (cyriax.co.kr)


Âü°í ³í¹®

1. Subscapularis tendon tear: an anatomic and clinical investigation

https://www.researchgate.net/publication/272395371_Anatomical_Studies_of_the_Upper_and_Lower_Subscapular_Nerves/link/55f061a008aedecb68ffaad5/download


2. Subscapularis tears: hidden and forgotten no more

https://www.researchgate.net/publication/323500220_Subscapularis_tears_hidden_and_forgotten_no_more/link/5c79d8c4299bf1268d30a8f3/download


ÀÌÀü±Û Àü°æ°ñ°Ç ºÎÂøºÎ °ÇÃÊ¿° ÃÊÀ½ÆÄ ¼Ò°ß
´ÙÀ½±Û °ß°©ÇÏ±Ù°Ç ÁߺΠ¼®È¸È­¼º°ÇÃÊ¿° ¹× ÆÄ¿­
       
°¡¸ÍÁ¡¸í : ½Ã¸®¾Ç½ºÁ¤ÇüÀÇÇבּ¸È¸
»ç¾÷ÀÚµî·Ï¹øÈ£ : 894-81-00627 | ´ëÇ¥ÀÚ : ÀåµÎÇõ
 
ÁÖ¼Ò : °æ±âµµ ¾çÆò±º ¿ë¹®¸é ¿ë¹®·Î 375-1, 2Ãþ 1È£
TEL : 010-2323-4055
E-mail : cyriax12@naver.com
ÀԱݾȳ»
±¹¹ÎÀºÇà | ½Ã¸®¾Ç½ºÁ¤ÇüÀÇÇבּ¸È¸(ÁÖ)
220401-04-194155