[¾î±ú] °ß°©ÇÏ±Ù°Ç ÁߺΠ¼®È¸È­¼º°ÇÃÊ¿° ¹× ÆÄ¿­
ÀÛ¼ºÀÚ : °ü¸®ÀÚ(cyriax12@naver.com) ÀÛ¼ºÀÏ : 2020-10-24 Á¶È¸¼ö : 1601
ÆÄÀÏ÷ºÎ : [mix]MS KIM20190916162127680.avi

³ªÀÌ   ¼ºº°  : 63¼¼ / ³²ÀÚ

 

ÁÖ   Áõ   »ó  : ¿ìÃø ¾î±ú ÅëÁõ(±â°£ : 1³â)

º´          ·Â  : ¾à 1³â°£ °£ÇæÀûÀ¸·Î ¾î±úÀÇ °æ¹ÌÇÑ ÅëÁõÀÌ ÀÖ¾ú´Âµ¥ ÃÖ±Ù ½ÉÇØÁü.

                     ¾î±ú¸¦ ¿Ã¸®±â ¾î·Æ°í ¹ã¿¡ ¾¥½Å´Ù.

 

ÀÌÇÐÀû °Ë»ç : ¼öµ¿Àû ±¼°ñ 160µµ, ¿ÜÀü 100µµ, ¿ÜȸÀü 60µµ Á¤µµ °üÀý°¡µ¿ ¹üÀ§ Á¦ÇÑÀ» º¸À̰í

                     ¾î±ú 90µµ ¿ÜÀü ÈÄ ¿ÜȸÀü ½Ã´Â ¿ÜȸÀü  Á¦ÇÑÀÌ ÁÙ¾îµë.

                     ÀúÇ׿¡ ´ëÇÑ ¿ÜÀü ½Ã ƯÀÌ ¼Ò°ß º¸ÀÌÁö ¾ÊÀ¸³ª

                     ÀúÇ׿¡ ´ëÇÑ ³»È¸Àü ½Ã ÅëÁõ°ú ±Ù¾àÁõÀ» º¸ÀÓ.

 

¹æ»ç¼± °Ë»ç :  ƯÀÌ ¼Ò°ß ¾ø½¿.

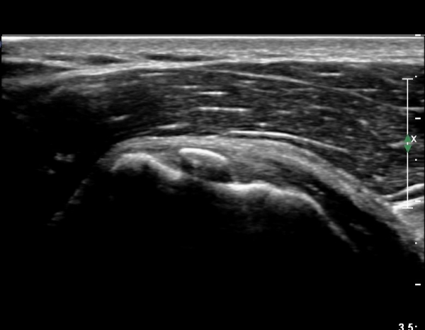
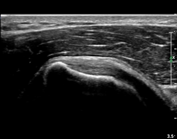
ÃÊÀ½ÆÄ ¼Ò°ß :  ÀÌµÎ¹Ú±Ù°Ç È¾´Ü¸é°Ë»ç¿¡¼­ ¼Ò°áÀý ºÎÂø °ß°©Çϱٰdz» °í¿¡ÄÚ ¼®È¸È­ µ¢¾î¸®°¡ °üÂûµÈ´Ù(»çÁø 1).

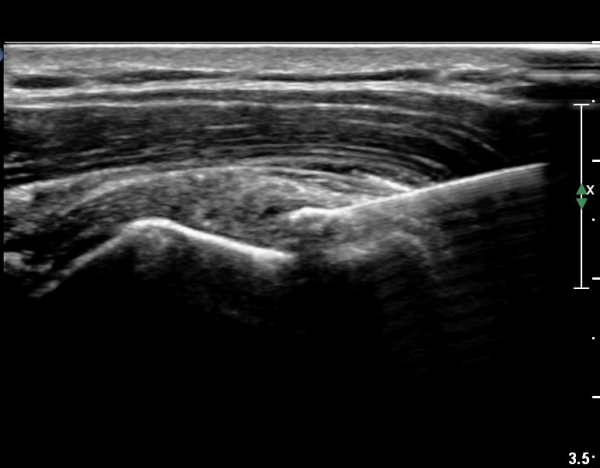
                      °ß°©ÇÏ±Ù°Ç ÁߺΠÁ¾´Ü¸é°Ë»ç¿¡¼­ ƯÀÌ ¼Ò°ßÀ» º¸ÀÌÁö ¾ÊÀ¸³ª(»çÁø 2) ŽÃËÀÚ¸¦ Á¶±Ý ÇϹæ(´Ù¸®ÂÊ)

                      À¸·Î À̵¿ÇÏ´Ï °ß°©Çϱٰdz»  ¼®È¸È­ µ¢¾î¸®°¡ °üÂûµÈ´Ù(»çÁø 3).

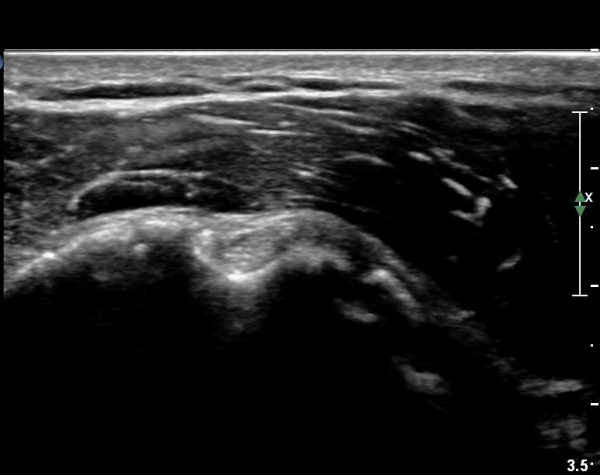
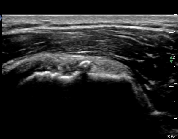
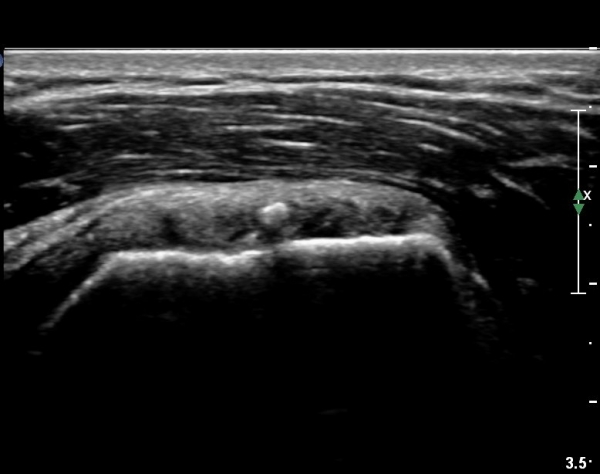
                      °ß°©ÇÏ±Ù°Ç È¾´Ü¸é°Ë»ç»ó ¼Ò°áÀý ÇÊÁú°ñº¯È­¿Í °ß°©ÇÏ±Ù°Ç Áߺο¡ °í¿¡ÄÚ µ¢¾î¸®°¡ °üÂûµÇ°í

                      ¼®È¸ À§ÂÊ(¸Ó¸®ÂÊ)ÀÇ ÈûÁÙÀÇ Àú¿¡ÄÚ º¯È­°¡ °üÂûµÈ´Ù(»çÁø 4, 5).

                       Á¡¾×³¶³» ÁÖ»ç ÈÄ ÁÖ»ç¹Ù´ÃÀ» ¹Ýº¹ÀûÀ¸·Î ´õ ÁøÀÔ½ÃÄÑ ¼®È¸¸¦ ÀÚ±ØÇÏ´Â ¸ð½À(»çÁø 6)

                       ¼®È¸ ÀÚ±Ø ½Ã ¼®È¸°¡ °íÁ¤µÇ¾î ÀÖÁö ¾Ê°í ¿òÁ÷ÀÌ¾î °ß°©ÇÏ±Ù°Ç ÆÄ¿­À» ½Ã»çÇÑ´Ù(÷ºÎ µ¿¿µ»ó).

               

Ä¡         ·á  :  ÃÊÁø ½Ã Á¡¾×³¶³» ÁÖ»çÄ¡·áÈÄ ÁÖ»ç¹Ù´Ã·Î ¼®È¸ÀÚ±Ø Ä¡·á .

 

°í         Âû 


ÀÌÀü±Û °ß°©ÇÏ±Ù°Ç ÆÄ¿­(Âõ¾îÁü) ÃÊÀ½ÆÄ ¼Ò°ß
´ÙÀ½±Û °ß°©ÇÏ±Ù°Ç ÇϺΠ¹Ì¼¼¼®È¸È­¼º °ÇÃÊ¿° III
       
°¡¸ÍÁ¡¸í : ½Ã¸®¾Ç½ºÁ¤ÇüÀÇÇבּ¸È¸
»ç¾÷ÀÚµî·Ï¹øÈ£ : 894-81-00627 | ´ëÇ¥ÀÚ : ÀåµÎÇõ
 
ÁÖ¼Ò : °æ±âµµ ¾çÆò±º ¿ë¹®¸é ¿ë¹®·Î 375-1, 2Ãþ 1È£
TEL : 010-2323-4055
E-mail : cyriax12@naver.com
ÀԱݾȳ»
±¹¹ÎÀºÇà | ½Ã¸®¾Ç½ºÁ¤ÇüÀÇÇבּ¸È¸(ÁÖ)
220401-04-194155