[¾î±ú] °ß°©ÇÏ±Ù°Ç ÇϺΠ¹Ì¼¼¼®È¸È­¼º °ÇÃÊ¿° III
ÀÛ¼ºÀÚ : °ü¸®ÀÚ(cyriax12@naver.com) ÀÛ¼ºÀÏ : 2020-10-24 Á¶È¸¼ö : 1530
ÆÄÀÏ÷ºÎ : ÆÄÀÏ 1.avi ÆÄÀÏ 2.avi

³ªÀÌ   ¼ºº°  : 55¼¼ / ³²ÀÚ

 

ÁÖ   Áõ   »ó  : ¿ìÃø ¾î±ú ÅëÁõ(±â°£ : 2´Þ)

º´          ·Â  : ¾à 2´ÞÀü ¹«°Å¿î °Í µé°í ³ª¼­ ÅëÁõ¹ß»ý.

                     µé¸é ¾ÆÇÁ°í ÈûÀ» ¸ø¾´´Ù.

 

ÀÌÇÐÀû °Ë»ç :  ±¼°ñ°ú ¿ÜÀüÀº ¶Ñ·ÈÈ÷ Á¦ÇÑÀ» º¸ÀÌÁö ¾ÊÀ¸³ª 

                      Á߸³À§Ä¡¿¡¼­ ¿ÜȸÀü Á¦ÇÑÀÌ ¶Ñ·ÈÇϳª

                      90µµ ¿ÜÀüÇÑ À§Ä¡¿¡¼­´Â ¿ÜȸÀü Á¦ÇÑÀÌ ¾øÀ½.

                     ÀúÇ׿¡ ´ëÇÑ ¿ÜÀü°ú ³»È¸Àü ½Ã ÅëÁõÀÌ ¹ß»ýÇÑ.

 

¹æ»ç¼± °Ë»ç :  ƯÀÌ ¼Ò°ß ¾ø½¿.

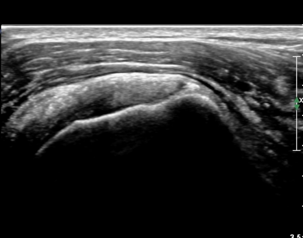
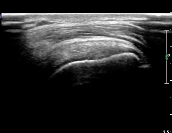
ÃÊÀ½ÆÄ ¼Ò°ß :  ÀÌµÎ¹Ú±Ù°Ç È¾´Ü¸é°Ë»ç¿Í ±Ø»ê°Ç Á¾´Ü¸é°Ë»ç¿¡¼­  ƯÀÌ ¼Ò°ß ¾øÀ½(»çÁø 1, 2).

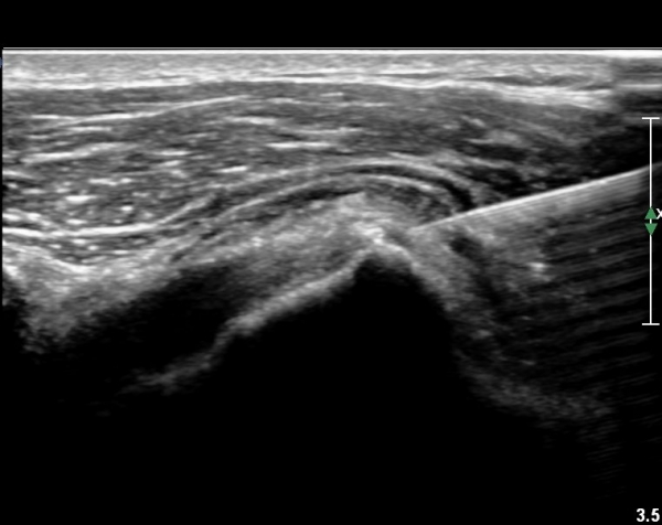
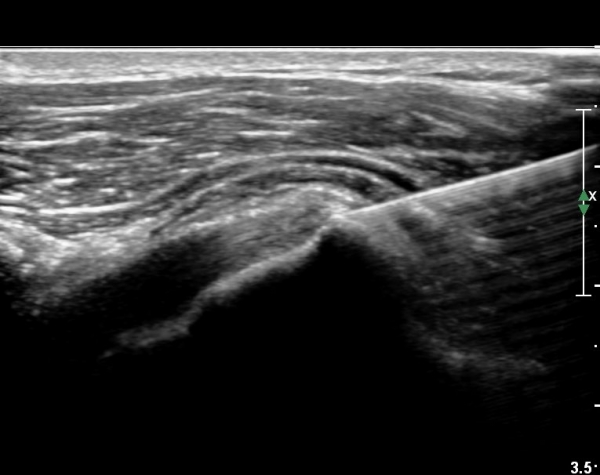
                      °ß°©ÇÏ±Ù°Ç ÇϺΠÁ¾´Ü¸é°Ë»ç¿Í Ⱦ´Ü¸é°Ë»ç °ß°©Çϱٰdz»  ¼®È¸È­ À½¿µÀÌ  °üÂûµÈ´Ù(»çÁø 3, 4).

                      °ß°©ÇÏ±Ù°Ç È¾´Ü¸é°Ë»ç»ó ¼Ò°áÀý ÇÊÁú°ñº¯È­¿Í °ß°©ÇÏ±Ù°Ç Áߺο¡ °í¿¡ÄÚ µ¢¾î¸®°¡ °üÂûµÇ°í

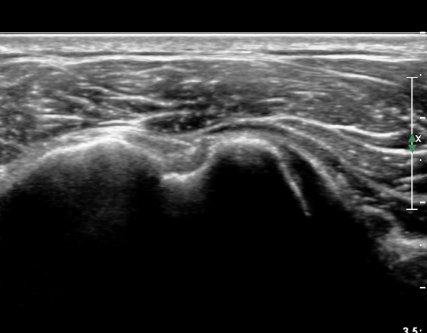
                      ¼®È¸ À§ÂÊ(¸Ó¸®ÂÊ)ÀÇ ÈûÁÙÀÇ Àú¿¡ÄÚ º¯È­°¡ °üÂûµÈ´Ù(»çÁø 4, 5).

                       Á¡¾×³¶³» ÁÖ»ç ÈÄ ÁÖ»ç¹Ù´ÃÀ» ¹Ýº¹ÀûÀ¸·Î ´õ ÁøÀÔ½ÃÄÑ ¼®È¸¸¦ ÀÚ±ØÇÏ´Â ¸ð½À(»çÁø 5, 6)

                       ¼®Á¡¾×³¶³» ÁÖ»çÄ¡·á(ÂüºÎÆÄÀÏ 1)ÈÄ ¼®È¸ÀÚ±ØÄ¡·á(÷ºÎÆÄÀÏ 2) ¿µ»ó

               

Ä¡         ·á  :  ÃÊÁø ½Ã Á¡¾×³¶³» ÁÖ»çÄ¡·áÈÄ ÁÖ»ç¹Ù´Ã·Î ¼®È¸ÀÚ±Ø Ä¡·á .


ÀÌÀü±Û °ß°©ÇÏ±Ù°Ç ÁߺΠ¼®È¸È­¼º°ÇÃÊ¿° ¹× ÆÄ¿­
´ÙÀ½±Û °ß°©ÇÏ±Ù°Ç ÇϺΠ¹Ì¼¼ ¼®È¸È­¼º°Ç¿° II
       
°¡¸ÍÁ¡¸í : ½Ã¸®¾Ç½ºÁ¤ÇüÀÇÇבּ¸È¸
»ç¾÷ÀÚµî·Ï¹øÈ£ : 894-81-00627 | ´ëÇ¥ÀÚ : ÀåµÎÇõ
 
ÁÖ¼Ò : °æ±âµµ ¾çÆò±º ¿ë¹®¸é ¿ë¹®·Î 375-1, 2Ãþ 1È£
TEL : 010-2323-4055
E-mail : cyriax12@naver.com
ÀԱݾȳ»
±¹¹ÎÀºÇà | ½Ã¸®¾Ç½ºÁ¤ÇüÀÇÇבּ¸È¸(ÁÖ)
220401-04-194155