[¾î±ú] °ß°©ÇÏ±Ù°Ç ÇϺΠ¹Ì¼¼ ¼®È¸È­¼º°Ç¿° II
ÀÛ¼ºÀÚ : °ü¸®ÀÚ(cyriax12@naver.com) ÀÛ¼ºÀÏ : 2020-10-24 Á¶È¸¼ö : 1473
ÆÄÀÏ÷ºÎ : [mix]SS Paek20191127151126889.avi

³ªÀÌ   ¼ºº°  : 48¼¼ /  ¿©ÀÚ

 

ÁÖ   Áõ   »ó  : ¿ìÃø ¾î±ú ÅëÁõ(±â°£ : 6°³¿ù)

º´          ·Â  : ÃÖ±Ù ÅëÁõ ½ÉÇØÁö°í  ƯÈ÷ ¾î±ú ³»ÃøÀ»·Î µ¹¸± 떄, µÚ·Î Á¦³¥ ÅëÁõÀÌ ½ÉÇÏ´Ù.

ÀÌÇÐÀû °Ë»ç : ¾î±ú °üÀý °¡µ¿¹üÀ§ Á¦ÇÑÀº ¶Ñ·ÈÇÏÁö ¾ÊÀ¸³ª ¿ÜȸÀüÀº 50µµ·Î Á¦ÇÑÀ» º¸ÀÓ.°í 

                     ¾î±ú 90µµ ¿ÜÀü ÈÄ ¿ÜȸÀü ½Ã´Â ¿ÜȸÀü  Á¦ÇÑÀÌ ÁÙ¾îµë.

                     ÀúÇ׿¡ ´ëÇÑ ³»È¸Àü ½Ã ÅëÁõ°ú ±Ù¾àÁõÀ» º¸ÀÓ.

 

¹æ»ç¼± °Ë»ç :  ƯÀÌ ¼Ò°ß ¾ø½¿.

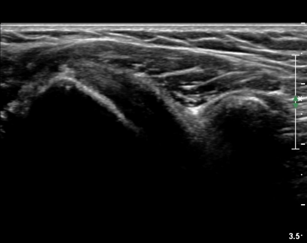
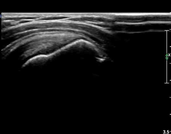
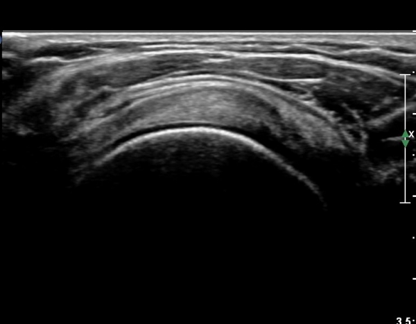
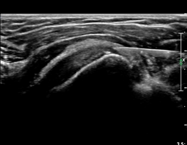
ÃÊÀ½ÆÄ ¼Ò°ß :  ±Ø»ó°Ç Á¾´Ü¸é°Ë»ç¿Í Ⱦ´Ü¸é°Ë»ç»ó ƯÀÌ ¼Ò°ß º¸ÀÌÁö ¾ÊÀ½(»çÁø 1, 2).

                     °ß°©ÇÏ±Ù°Ç ÇϺΠÁ¾´Ü¸é°Ë»ç¿¡¼­ °ß°©Çϱٰdz»  ÀÛÀº ¼®È¸È­ µ¢¾î¸®°¡ °üÂûµÈ´Ù(»çÁø 3, 4).                     

 


                     °ß°©ÇϱٰǠȾ´Ü¸é°Ë»ç¿¡¼­ ÇϺΠ°ß°©Çϱٰdz»  ÀÛÀº ¼®È¸È­ µ¢¾î¸®°¡ °üÂûµÈ´Ù(»çÁø 5).


 

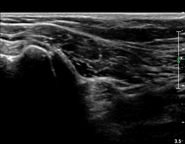
                     Á¡¾×³¶³» ÁÖ»ç ÈÄ ÁÖ»ç¹Ù´ÃÀ» ¹Ýº¹ÀûÀ¸·Î ´õ ÁøÀÔ½ÃÄÑ ¼®È¸¸¦ ÀÚ±ØÇÏ´Â ¸ð½À(»çÁø 6).

                     ¼®È¸ÀÚ±Ø ¿µ»ó(÷ºÎÆÄÀÏ)

               

Ä¡         ·á  :  Á¡¾×³¶³» ÁÖ»çÄ¡·áÈÄ ÁÖ»ç¹Ù´Ã·Î ¼®È¸ÀÚ±Ø Ä¡·á .


ÀÌÀü±Û °ß°©ÇÏ±Ù°Ç ÇϺΠ¹Ì¼¼¼®È¸È­¼º °ÇÃÊ¿° III
´ÙÀ½±Û ±Ø»ó°Ç°ú °ß°©ÇÏ±Ù°Ç ¹Ì¼¼ ¼®È¸È­¼º °Ç¿°
       
°¡¸ÍÁ¡¸í : ½Ã¸®¾Ç½ºÁ¤ÇüÀÇÇבּ¸È¸
»ç¾÷ÀÚµî·Ï¹øÈ£ : 894-81-00627 | ´ëÇ¥ÀÚ : ÀåµÎÇõ
 
ÁÖ¼Ò : °æ±âµµ ¾çÆò±º ¿ë¹®¸é ¿ë¹®·Î 375-1, 2Ãþ 1È£
TEL : 010-2323-4055
E-mail : cyriax12@naver.com
ÀԱݾȳ»
±¹¹ÎÀºÇà | ½Ã¸®¾Ç½ºÁ¤ÇüÀÇÇבּ¸È¸(ÁÖ)
220401-04-194155