¼Õ¸ñ¿¡¼­ Á¤Áß½Å°æ ½Å°æ³» ½Å°æÁ¾(neuroma of median nerve fascicles)
ÀÛ¼ºÀÚ : ÃÖÀçÀÍ(jic121@hanmail.net) ÀÛ¼ºÀÏ : 2020-07-19 Á¶È¸¼ö : 7045
ÆÄÀÏ÷ºÎ :

³ªÀÌ   ¼ºº°  :43¼¼ / ³²ÀÚ

 

ÁÖ   Áõ   »ó  : ¿ìÃø ¾öÁö ¼Õ°¡¶ô¿¡ ÈûÀÌ ¾ø°í ¾öÁö µÎµ¢¿¡ »ìÀÌ ºüÁü(4ÁÖ).

                        ¼Õ°¡¶ô Àú¸° Áõ»óÀº ¾øÀ½.

20200714_162311 cs.jpg

º´          ·Â  : ¾à 4ÁÖÀü¿¡ ¾öÁö µÎµ¢¿¡ »ìÀÌ ºüÁö´Â ¸ð¾çÀ» °üÂûÇß°í ÃÖ±Ù¿¡´Â ±Û¾¾¾²±â¿¡ ¾î·Á¿òÀÌ ÀÖÀ½.

                    ¾ÆÁ÷±îÁö Á£°¡¶ôÁúÀº Àß µÊ°í ÀÖÀ½..

 

ÀÌÇÐÀû °Ë»ç : °æ¹ÌÇÑ ¾öÁö µÎµ¢ ±ÙÀ§ÃàÀ» º¸ÀÓ.

                  ¾öÁö ¿ÜÀü ±Ù·ÂÀº ±Ù·Â 3µî±Þ(fair) Á¤µµÀÇ ¾àÈ­¸¦ º¸ÀÓ.

                  ¾öÁö¿Í ´Ù¸¥ ¼Õ°¡¶ô¿¡¼­ °¨°¢ °¨¼Ò¸¦ º¸ÀÌÁö ¾ÊÀ½

                  ½ÉºÎ°Ç¹Ý»ç´Â Ç×ÁøµÇÁö ¾ÊÀ½.

                  Hoffman sign µî º´Àû ¹Ý»ç´Â º¸ÀÌÁö ¾ÊÀ½.

 

¹æ»ç¼± °Ë»ç : ½ÃÇàÇÏÁö ¾ÊÀ½.

<br>

±ÙÀüµµ °Ë»ç ½Å°æÀüµµ °Ë»ç¿¡¼­ ¿îµ¿½Å°æÀº Àü±âÀû Àڱؿ¡ ¹ÝÀÀÀ» º¸ÀÌÁö ¾Ê°í

                  °¨°¢½Å°æÀº Á¤»ó ¼Ò°ßÀ» º¸ÀÓ.

                  ħ±ÙÀüµµ°Ë»ç¿¡¼­ ¹«Áö¿ÜÀü±Ù(abductor pollicis brevis)¿¡¼­ ºñÁ¤»ó ÀÚ¹ßÀüÀ§¸¦

                  º¸ÀÌ°í ¿îµ¿½Å°æ´ÜÀ§ ¼ÒÁýÀÇ °¨¼Ò¸¦ º¸ÀÓ.

                  °á·Ð) ¼Õ¹Ù´Ú¿¡¼­ Á¤Á߽ŰæÀÇ ¹«Áö¿ÜÀü±Ù ±ÙÀ°½Å°æ°¡Áö º´Áõ.

                         (peripheral neuropathy of muscular branch to thenar muscle of median nerve

                          at palm level). 

<br>

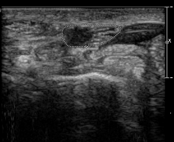
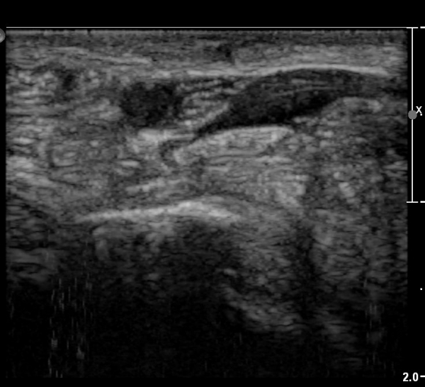
ÃÊÀ½ÆÄ ¼Ò°ß :  ¼Õ¸ñ±ÙÀ§ºÎ Ⱦ´Ü¸é°Ë»ç¿¡¼­ ¼Õ¸ñ±¼±Ù°Ç(FCR)°ú Ç¥Ãþ ¼Õ°¡¶ô ±ÁÈû±Ù(FDS) »çÀÌ¿¡

                   Á¤Á߽ŰæÀÌ Á¤»óÀûÀÎ ¾ç»óÀ¸·Î º¸ÀÓ(»çÁø 1).

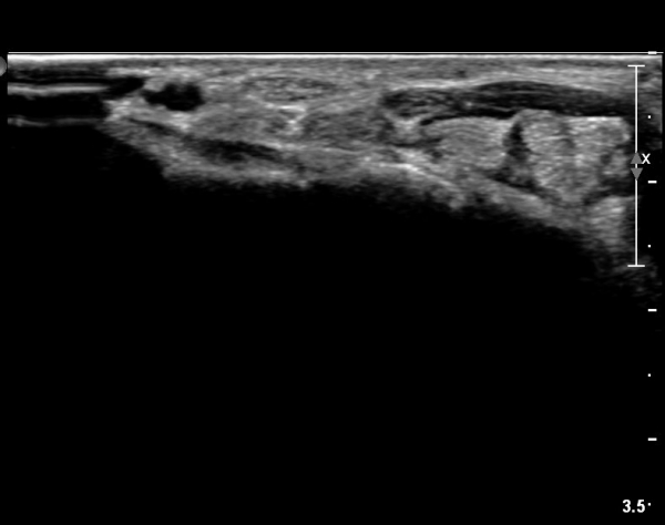
                   Å½ÃËÀÚ¸¦ ¸»´ÜÀ¸·Î À̵¿ÇÏÀÚ  Á¤Áß½Å굥 ¿äÃø ÀϺΰ¡ Àú¿¡ÄÚ Á¾±«·Î °üÂûµÊ(»çÁø 2).

                   ÀÌ·± ¸ð½ÀÀº ¼Õ¸ñÀÇ ¿ù»ó°ñ ºÎÀ§(»çÁø 3, 4)¸¦ Áö³ª ¼ö±Ù°ü ±ÙÀ§ºÎ ±îÁö À̾îÁü(»çÁø 5).

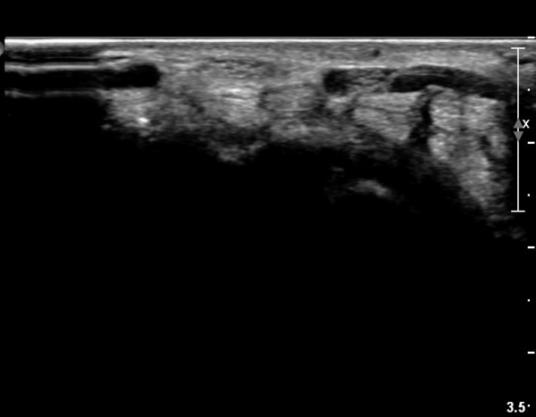
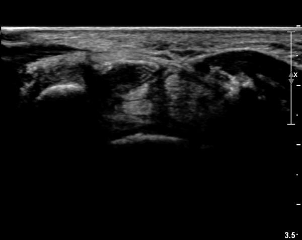
                   ÇÏŰ½ºÆ½(°íÁÖÆÄ) ŽÃËÀÚ¸¦·Î °üÂûµÈ ¸ð½À¿¡¼­ Á¤Áß½Å°æ ºÎºÐ ½Å°æ´Ù¹ßÀÇ Àú¿¡ÄÚ

                   º¯È­°¡ ¶Ñ·ÈÇÔ(»çÁø 6, 7).

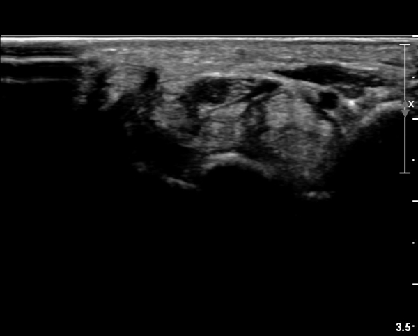
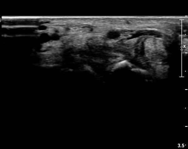
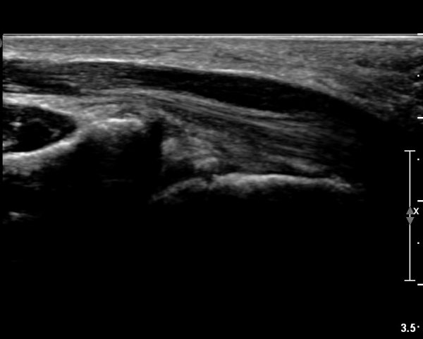
                   Á¤Á߽Űæ Á¾´Ü¸é°Ë»ç¿¡¼­µµ ¼Õ¸ñ ¸»´ÜºÎ¿¡¼­ ¼ö±Ù°ü ±ÙÀ§ºÎ±îÁö À̾îÁø Àú¿¡ÄÚ

                   Á¾¾çÀÌ °üÂûµÊ(»çÁø 8, 9, 10, 11). 

<br>

Ä¡         ·á :  ÀÇ·Ú º´¿ø ȸ¼Û

<br>

°í         Âû ¾öÁö µÎµ¢ ±ÙÀ° ±ÙÀ§ÃàÀÇ °¡Àå ÈçÇÑ ¿øÀÎÀº ¼ö±Ù°üÁõÈıº, ÇϺΠ°æÃß Ãß°£ÆÇÅ»ÃâÁõ ¶Ç´Â ÇùÂøÁõÀ»

                  ¿ì¼±ÀûÀ¸·Î °í·Á ÇÒ ¼ö ÀÖ°í ¾ÆÁÖ µå¹°°Ô  ±ÙÀ§Ãà¼ºÃø»ö°æÈ­Áõ(ALS)À̳ª µÎµ¢ ±ÙÀ°À» Áö¹èÇÏ´Â

                  Á¤Áß½Å°æ ¸»´Ü°¡ÁöÀÇ º´Áõ(Âü°í ¹®Çå 2)µµ µÎµ¢±ÙÀ°ÀÇ ±ÙÀ§ÃàÀ» À¯¹ßÇÒ ¼ö ÀÖ´Ù.

<br>

                  ¼ö±Ù°üÁõÈıºÀ̳ª °æÃßÀÇ µð½ºÅ©, ÇùÂøÁõÀÇ °æ¿ì ´ëºÎºÐ ¼Õ°¡¶ôÀÌ Àú¸®°Å³ª ÅëÁõÀ» µ¿¹ÝÇÏ¿©

                  ºñ±³Àû Áø´ÜÀÌ ¼ö¿ùÇÑ ¹Ý¸é ±ÙÀ§Ãà¼ºÃø»ö°æÈ­ÁõÀ̳ª µÎµ¢±ÙÀ°À» Áö¹èÇÏ´Â ¸»´Ü Á¤Áß½Å°æ °¡Áö

                  º´Áõ¿¡¼­´Â ¼ÕÀú¸²À̳ª ÅëÁõÀ» µ¿¹ÝÇÏÁö ¾Ê±â ¶§¹®¿¡ Á¶±â¿¡ Áø´Ü »Ó ¾Æ´Ï¶ó Áø´Ü ÀÚü°¡

                  ½±Áö ¾Ê´Ù.

<br>

                  º» Áõ·ÊÀÇ °æ¿ì ¼Õ°¡¶ô Àú¸²ÁõÀ»  µ¿¹ÝÇÏÁö ¾ÊÀº µÎµ¢±ÙÀ° ±ÙÀ§ÃàÀ» º¸ÀÎ °æ¿ì·Î¼­

                  ÀÌÇÐÀû°Ë»ç ¹× ±ÙÀüµµ °Ë»ç·Î¼­ ±ÙÀ§Ãà¼ºÃø»ö°æÈ­ÁõÀº ¹èÁ¦µÇ¾ú°í ±ÙÀüµµ¼Ò°ß ¸¸À¸·Î´Â

                  µÎµ¢±ÙÀ°À» Áö¹èÇÏ´Â ¸»´Ü Á¤Áß½Å°æ °¡Áö º´Áõ ¼Ò°ßÀ» º¸¿© ÀÓ»óÀûÀ¸·Î ¼öÀåºÎ¿¡¼­

                  Á¾¾ç¿¡ ÀÇÇÑ Á¤Á߽Ű渻´Ü°¡ÁöÀÇ ¾Ð¹ÚÀÌ ÃßÁ¤µÇ¾úÀ¸³ª  ÃÊÀ½ÆÄ°Ë»ç»ó ¼Õ¸ñºÎÀ§¿¡¼­ Á¤Á߽Ű泻

                  Àú¿¡ÄÚ Á¾¾çÀÌ °üÂûµÇ°í Àú¿¡ÄÚ Á¾¾çÀÇ ½Å°æ³» À§Ä¡°¡ Âü°í¹®Çå¿¡¼­ º¸°íÇÑ ¹Ù¿Í °°ÀÌ

                  Á¤Á߽Ű泻¿¡¼­ µÎµ¢±ÙÀ°À» Áö¹èÇÏ´Â ¿îµ¿½Å°æÀÇ À§Ä¡¿Í ÀÏÄ¡ÇÏ¿© Á¤Á߽ŰæÁß¿¡¼­ µÎµ¢±ÙÀ°À»

                  Áö¹èÇÏ´Â ½Å°æ µ¢¾î¸®(fascicle)ÀÇ ½Å°æÁ¾À¸·Î ÃßÁ¤ÀÌ °¡´ÉÇϸç ÀÓ»óÀû ¼Ò°ß°úµµ ÀÏÄ¡ÇÑ´Ù.

                  

6-Figure4-1.png

Âü°í ¹®Çå  1)  https://www.frontiersin.org/articles/10.3389/fnins.2016.00286/full

               2)  http://cyriax.co.kr/sub03-03.php?ptype=view&idx=5874&page=1&code=dataroom03&category=139


ÀÌÀü±Û ±Ø»ó°Ç ¼®È¸È­¼º °ÇÃÊ¿° Ä¡·á. °æ°ú
´ÙÀ½±Û ôÃßºÎ½Å°æ ¼Õ»ó ÃÊÀ½ÆÄ ¼Ò°ß(sonography of spinal accessory nerve injury)
       
°¡¸ÍÁ¡¸í : ½Ã¸®¾Ç½ºÁ¤ÇüÀÇÇבּ¸È¸
»ç¾÷ÀÚµî·Ï¹øÈ£ : 894-81-00627 | ´ëÇ¥ÀÚ : ÀåµÎÇõ
 
ÁÖ¼Ò : °æ±âµµ ¾çÆò±º ¿ë¹®¸é ¿ë¹®·Î 375-1, 2Ãþ 1È£
TEL : 010-2323-4055
E-mail : cyriax12@naver.com
ÀԱݾȳ»
±¹¹ÎÀºÇà | ½Ã¸®¾Ç½ºÁ¤ÇüÀÇÇבּ¸È¸(ÁÖ)
220401-04-194155