Èä°ñ °ñÀý(fracture of sternum)
ÀÛ¼ºÀÚ : ÃÖÀçÀÍ(jic121@hanmail.net) ÀÛ¼ºÀÏ : 2020-01-15 Á¶È¸¼ö : 2667
ÆÄÀÏ÷ºÎ :

³ªÀÌ   ¼ºº°  : 20¼¼ / ³²ÀÚ

  

ÁÖ   Áõ   »ó  : ¾Õ °¡½¿ ÅëÁõ(1ÁÖ))

 

º´         ·Â  : ¾à 1 ÁÖÀü ¾Æºü¿¡°Ô ÁÖ¸ÔÀ¸·Î °¡½¿À» ¸ÂÀº ÈÄ ÅëÁõ ¹ß»ý,

               ¿ôÀ» ¶§, ±âħÇÒ ¶§ ÅëÁõ ¹ß»ýÇÔ.

 

ÀÌÇÐÀû °Ë»ç : Èä°ñü Áß°£ ºÎÀ§  ±¹¼ÒÀû ¾ÐÅëÀ» º¸ÀÓ.

 

¹æ»ç¼± °Ë»ç :  ÀÌ»ó ¼Ò°ß ¾øÀ½...

 

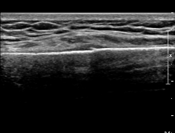
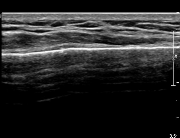
ÃÊÀ½ÆÄ °Ë»ç : ¼Õ¸ñ ¼ö±Ù°ü ±ÙÀ§ºÎ Ⱦ´Ü¸é°Ë»ç¿¡¼­ Äá¾Ë»À Ç¥ÃþÀ¸·Î ¾à°£ÀÇ ¿¬ºÎÁ¶Á÷ ºÎÁ¾ÀÌ °üÂûµÊ(»çÁø 1).

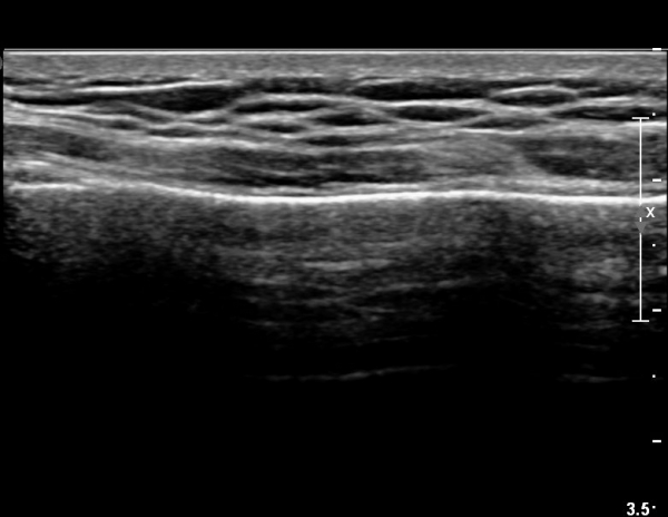
                  ŽÃËÀÚ¸¦ ¾à°£ ¸»´ÜÀ¸·Î À̵¿ÇÏ´Ï ¿¬ºÎÁ¶Á÷ ºÎÁ¾ÀÌ ´õ¿í ½ÉÇÏ°Ô °üÂûµÇ°í(»çÁø 2),

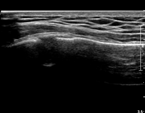
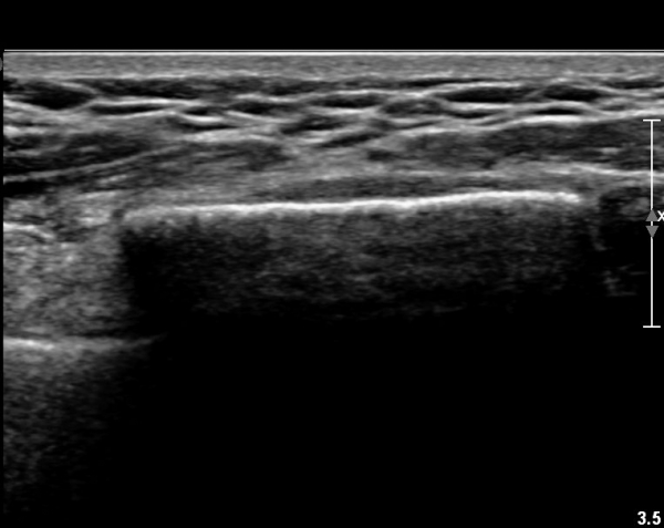
                  Á¶±Ý ´õ ¸»´ÜÀ¸·Î À̵¿ÇÏ´Ï Äá¾Ë»À ÇÇÁú°ñ ¿¬¼Ó¼º ¼Ò½ÇÀÌ °üÂûµÊ(»çÁö 3),

 

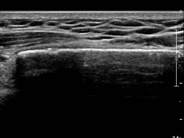
                 Äá¾Ë»À Á¾´Ü¸é°Ë»ç¿¡¼­ Äá¾Ë »À ±ÙÀ§ºÎÀÇ ÇÇÁú°ñ °ß¿­ÀÌ °üÂûµÊ(»çÁö 4).

 

°ËÇ»ÅÍ ÃÔ¿µ :  Èä°ñ °ñÀý, ÃßÁ¤

 

Ä¡         ·á  : Åõ¾à

 

°í         Âû :  Èä°ñÀº ¿¬°ñü·Î¼­ ¹æ»ç¼± °Ë»ç ÀüÈĹæ Åõ»ç ½Ã ¿¬°ñ ÀÚü°¡ °üÂûµÇÁö ¾Ê°í, Ãø¸é Åõ»ç ½Ã Èä°ñ ÀÚü´Â °üÂûµÇÁö¸¸

                  Èä°ñÀÌ ½ÉÇÏ°Ô °ñÀýµÇ¾î ÀüÀ§µÇÁö ¾ÊÀ¸¸é ¹æ»ç¼± °Ë»ç¿¡¼­ °ñÀýÀÌ °üÂûµÇÁö ¾Ê´Â´Ù.

                  ÄÄÇ»ÅÍ ÃÔ¿µ¿¡¼­µµ Èä°ñÀÇ ¹Ì¼¼ °ñÀýÀº µÃÂûµÇÁö ¾ÊÀ» ¼ö ÀÖ´Ù.

                  ÃÊÀ½ÆÄ°Ë»ç¸¦ ½ÃÇàÇÏ¸é ¹Ì¼¼ÇÑ ¼±»ó°ñÀý¿¡¼­µµ ¿¬ºÎÁ¶Á÷ ºÎÁ¾ ¹× ÇÇÁú°ñ ¿¬°á¼º ¼Ò½ÇÀ» °üÂûÇÒ ¼ö ÀÖ¾î

                  Èä°øÀÇ ¹Ì¼¼°ñÀý Áø´Ü¿¡ ÃÊÀ½ÆÄ°Ë»ç´Â ¸Å¿ì À¯¿ëÇÏ´Ù.


ÀÌÀü±Û ôÃßºÎ½Å°æ ¼Õ»ó ÃÊÀ½ÆÄ ¼Ò°ß(sonography of spinal accessory nerve injury)
´ÙÀ½±Û Äá¾Ë»À °ñÀý ÃÊÀ½ÆÄ ¼Ò°ß(sonographic appearance of pisiform fracture)
       
°¡¸ÍÁ¡¸í : ½Ã¸®¾Ç½ºÁ¤ÇüÀÇÇבּ¸È¸
»ç¾÷ÀÚµî·Ï¹øÈ£ : 894-81-00627 | ´ëÇ¥ÀÚ : ÀåµÎÇõ
 
ÁÖ¼Ò : °æ±âµµ ¾çÆò±º ¿ë¹®¸é ¿ë¹®·Î 375-1, 2Ãþ 1È£
TEL : 010-2323-4055
E-mail : cyriax12@naver.com
ÀԱݾȳ»
±¹¹ÎÀºÇà | ½Ã¸®¾Ç½ºÁ¤ÇüÀÇÇבּ¸È¸(ÁÖ)
220401-04-194155