[¼Õ¸ñ] Äá¾Ë»À °ñÀý ÃÊÀ½ÆÄ ¼Ò°ß(sonographic appearance of pisiform fracture)
ÀÛ¼ºÀÚ : ÃÖÀçÀÍ(jic121@hanmail.net) ÀÛ¼ºÀÏ : 2019-10-21 Á¶È¸¼ö : 3485
ÆÄÀÏ÷ºÎ :

³ªÀÌ ¼ºº°  : 41¼¼ / ³²ÀÚ

 

ÁÖ Áõ »ó : ¿ìÃø ¼ÕÀÇ ÅëÁõ(±â°£ : 1ÀÏ)

 

º´      ·Â  : ³»¿ø 1ÀÏ Àü ¤°í ³Ñ¾îÁø ÈÄ ¼Õ¹Ù´Ú ±Ù¿ì¤¿ºÎ ÅëÁõ ¹ß»ý..

 

ÀÌÇÐÀû °Ë»ç : ¼Õ¹Ù´Ú Äá¾Ë»À¿¡ ±¹¼ÒÀû ¾ÐÅëÀÌ ¶Ñ·ÈÇÔ.

                  °üÀý°¡µ¿ ¹üÀ§ Á¦ÇÑÀº º¸ÀÌÁö ¾Ê°í

                  ÀúÇװ˻翡¼­ ƯÀÌ ¼Ò°ß ¾øÀ½.

 

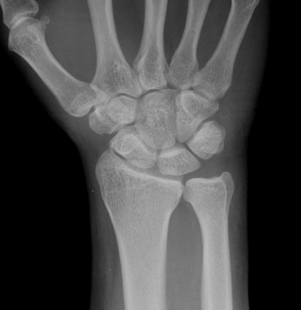
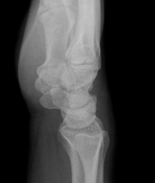
¹æ»ç¼± °Ë»ç : ƯÀÌ ¼Ò°ß ¾ø(»çÁø 5, 6).

 

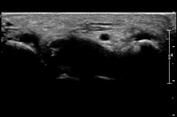
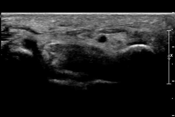
ÃÊÀ½ÆÄ°Ë»ç : ¼Õ¸ñ ¼ö±Ù°ü ±ÙÀ§ºÎ Ⱦ´Ü¸é°Ë»ç¿¡¼­ Äá¾Ë»À Ç¥ÃþÀ¸·Î ¾à°£ÀÇ ¿¬ºÎÁ¶Á÷ ºÎÁ¾ÀÌ °üÂûµÊ(»çÁø 1).

                  ŽÃËÀÚ¸¦ ¾à°£ ¸»´ÜÀ¸·Î À̵¿ÇÏ´Ï ¿¬ºÎÁ¶Á÷ ºÎÁ¾ÀÌ ´õ¿í ½ÉÇÏ°Ô °üÂûµÇ°í(»çÁø 2),

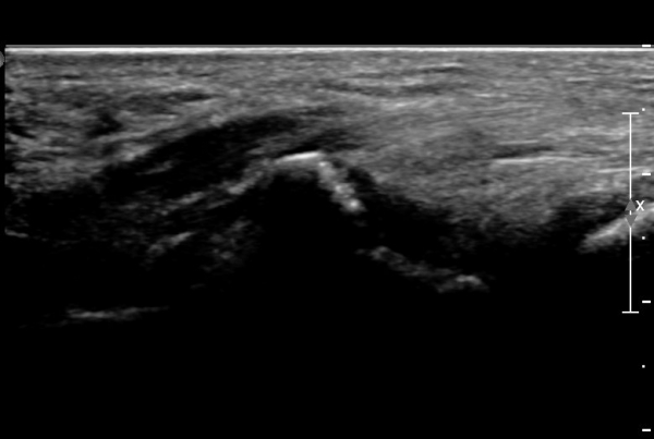
                  Á¶±Ý ´õ ¸»´ÜÀ¸·Î À̵¿ÇÏ´Ï Äá¾Ë»À ÇÇÁú°ñ ¿¬¼Ó¼º ¼Ò½ÇÀÌ °üÂûµÊ(»çÁö 3),

 

                 Äá¾Ë»À Á¾´Ü¸é°Ë»ç¿¡¼­ Äá¾Ë »À ±ÙÀ§ºÎÀÇ ÇÇÁú°ñ °ß¿­ÀÌ °üÂûµÊ(»çÁö 4).

 

ÄÄÇ»ÅÍ ÃÔ¿µ :  Äá¾Ë»À ºÐ¼â°ñÀýÀÌ °üÂûµÊ(»çÁø 7, 8, 9, 10).

 

Ä¡         ·á  : ºÎ¸ñ °íÁ¤

 

°í         Âû :  ¼ÕÀ̳ª ¹ß¿¡¼­´Â ¿¢½º·¹ÀÌ»ó  °üÂûµÇÁö ¹Ì¼¼ °ñÀýÀÌ »ó´çÈ÷ ¸¹ÀÌ ¹ß»ýÇÒ ¼ö ÀÖÀ¸¹Ç·Î

                   ±¹¼ÒÀû ¾ÐÅëÀÌ  ¶Ñ·ÈÇÑ °æ¿ì¿¡´Â ÃÊÀ½ÆÄ°Ë»ç³ª ÄÄÇ»ÅÍ ÃÔ¿µÀ¸·Î °ñÀý ¿©ºÎ¸¦ È®ÀÎÇÏ¿©

                   ÀûÀýÇÑ Ä¡·á¸¦ ½ÃÇàÇÏ¿©¾ß ÈÄÀ¯Áõ ¾øÀÌ ¾çÈ£ÇÑ Ä¡À¯À» ±â´ëÇÒ ¼ö ÀÖ´Ù.


ÀÌÀü±Û Èä°ñ °ñÀý(fracture of sternum)
´ÙÀ½±Û ¿ù»ó°ñ °ñÀý ÃÊÀ½ÆÄ¼Ò°ß(sonographic findings of lunate fracture)
       
°¡¸ÍÁ¡¸í : ½Ã¸®¾Ç½ºÁ¤ÇüÀÇÇבּ¸È¸
»ç¾÷ÀÚµî·Ï¹øÈ£ : 894-81-00627 | ´ëÇ¥ÀÚ : ÀåµÎÇõ
 
ÁÖ¼Ò : °æ±âµµ ¾çÆò±º ¿ë¹®¸é ¿ë¹®·Î 375-1, 2Ãþ 1È£
TEL : 010-2323-4055
E-mail : cyriax12@naver.com
ÀԱݾȳ»
±¹¹ÎÀºÇà | ½Ã¸®¾Ç½ºÁ¤ÇüÀÇÇבּ¸È¸(ÁÖ)
220401-04-194155