[½Å°æ] ±¹¼ÒÀû ÇùÂø¿¡ ÀÇÇÑ ¿ä°ñ½Å°æ ¸¶ºñ¿¡ µû¸¥ ¼Õ¸ñ Çϼö(wrist drop due tp radial nerve neuropathy with focal constricture, soc
ÀÛ¼ºÀÚ : ÃÖÀçÀÍ(jic121@hanmail.net) ÀÛ¼ºÀÏ : 2019-07-26 Á¶È¸¼ö : 3393
ÆÄÀÏ÷ºÎ : [mix]MD PARK20190725120709322.avi

¼ºº°/³ªÀÌ 

³²ÀÚ/42¼¼

 

ÁÖ Áõ»ó

¼Õ¸ñÇϼö(wrist drop) (3ÁÖ)

 

º´ ·Â

Ưº°ÇÑ ÀÌÀ¯ ¾øÀÌ °©ÀÚ±â Àü¹ÚºÎ ÅëÁõ °ú ¼Õ¸ñ ½ÅÀü±ÙÀÇ ÈûÀÌ ºüÁü.

Àü³¯ ¼ú¸¶½Ã°í ÀÚÁö´Â ¾Ê¾ÒÀ½,

 

ÀÌÇÐÀû°Ë»ç

¿ä°ñ°í¶ûÀÇ ±¹¼ÒÀû ¾ÐÅëÀÌ ½ÉÇÏ°í ¼Õ¸ñ ½ÅÀü±ÙÀº(0) µî±Þ,     

±×¿Ü ¼Õ¸ñ ±¼°î, ÆÈ²ÞÄ¡ ±¼°î ¹× ½ÅÀü±Ù·ÂÀº Á¤»ó(5) µî±Þ

 

Âü°í: ±Ù·Â µî±Þ

       0(zero) : ÀüÇô ¸ø¿òÁ÷ÀÓ       1(trace): ¾à°£ ¿òÁ÷ÀÓ º¸ÀÓ       2(poor) : ¸¹ÀÌ ¿òÁ÷ÀÌÁö¸¸ Áß·ÂÀ» ÀÌ±ì ¸øÇÔ

       3(fair) : Áß·ÂÀ» À̱â°í ¿òÁ÷ÀÏ ¼ö ÀÖÀ½     4(good): ¾î´À Á¤µµ ÀúÇ׿¡ ´ëÇ× ÇÒ ¼ö ÀÖÀ½    5(normal): Á¤»ó

 

 

ÃÊÀ½ÆÄ°Ë»ç

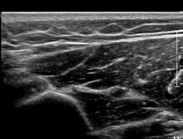
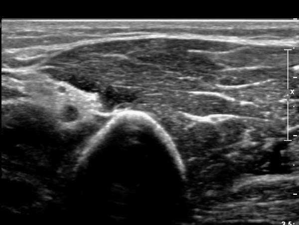
¿ä°ñ °í¶û¿¡¼­ ¿ä°ñ½Å°æ Ⱦ´Ü¸é°Ë»ç»ó ¿ä°ñ½Å°æÀÇ °æ¹ÌÇÑ Àú¿¡ÄÚ ºÎÁ¾ÀÌ °üÂûµÈ´Ù(»çÁø 2).

 

ŽÃËÀÚ¸¦ Á¶±Ý ¸»´ÜÀ¸·Î À̵¿ÇÏ´Ï ¿ä°ñ½Å°æ Àú¿¡ÄÚ ºÎÁ¾ÀÌ ´õ¿í ¶Ñ·ÈÇѵ¥(»çÁø 2),

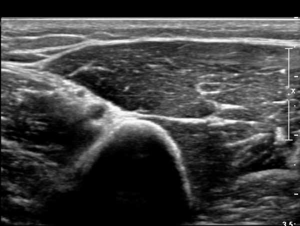
ŽÃÊÀÚ¸¦ Á¶±Ý ´õ ¸»´ÜÀ¸·Î À̵¿ÇÏ´Ï ¿ä°ñ½Å°æÀÌ °üÂûµÇÁö ¾Ê°í(»çÁø3),

Á¶±Ý ´õ ¸»´ÜÀ¸·Î À̵¿ÇÏ´Ï ´Ù½Ã Àú¿¡ÄÚ ºÎÁ¾ »óÅ·Π°üÂûµÈ´Ù(»çÁø 4).

ÀÌ·± ÀÏ·ÃÀÇ °úÁ¤Àº ÷ºÎ µ¿¿µ»ó¿¡¼­ ¶Ñ·ÈÈ÷ °üÂûµÈ´Ù.

 

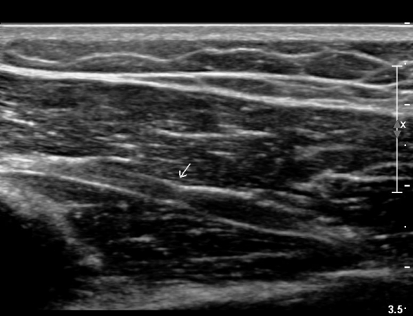
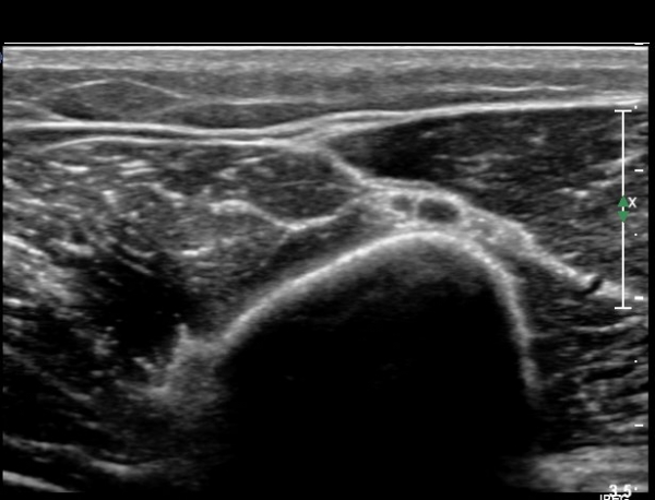
¿ä°ñ °í¶û ¸»´Ü¿¡¼­ ¿ä°ñ½Å°æ Á¾´Ü¸é°Ë»ç»ó ¿ä°ñ½Å°æÀÇ Àú¿¡ÄÚ ºÎÁ¾°ú Áß°£ ºÎÀ§¿¡

±¹¼ÒÀû ÇùÂøÀÌ °üÂûµÈ´Ù(»çÁø 5).

 

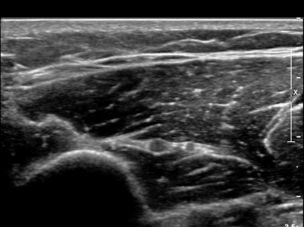
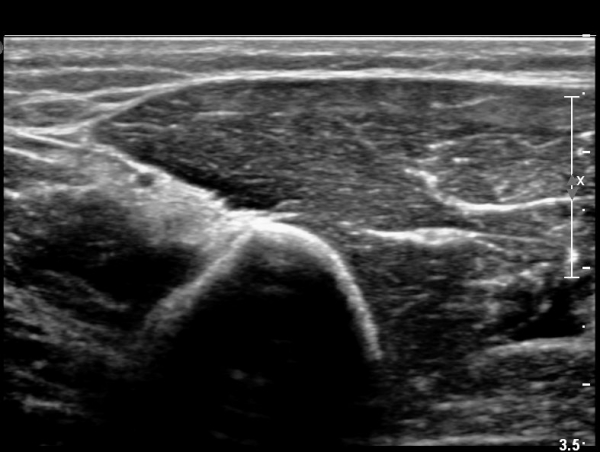
¿ä°ñ °í¶û ±ÙÀ§ºÎ¿¡¼­ ¿ä°ñ½Å°æ Ⱦ´Ü¸é°Ë»ç»ó ¿ä°ñ½Å°æÀÇ °æ¹ÌÇÑ Àú¿¡ÄÚ ºÎÁ¾ÀÌ °üÂûµÈ´Ù(»çÁø 6).

ŽÃÊÀÚ¸¦ Á¶±Ý ´õ ¸»´ÜÀ¸·Î À̵¿ÇÏ´Ï ¿ä°ñ½Å°æ Àú¿¡ÄÚ ºÎÁ¾ÀÌ ¶Ñ·ÈÇÏÁö ¾Ê´Ù(»çÁø 7).

 

¿ä°ñ °í¶û ±ÙÀ§ºÎ¿¡¼­ ¿ä°ñ½Å°æ Á¾´Ü¸é°Ë»ç»ó ¿ä°ñ½Å°æÀÇ °æ¹ÌÇÑ Àú¿¡ÄÚ ºÎÁ¾°ú Áß°£ ºÎÀ§¿¡

¹Ì¼¼ÇÑ ±¹¼ÒÀû ÇùÂøÀÌ °üÂûµÈ´Ù(»çÁø 8)   

 

±ÙÀüµµ°Ë»ç

¿ä°ñ °í¶û ºÎÀ§¿¡¼­ ¿ä°ñ½Å°æ ¿ÏÀü ¸¶ºñ »óÅÂ

 

Ä¡·á

Áï°¢ÀûÀÎ ¼ö¼ú ±Ç°í

 

À¯»ç Áõ·Ê

http://cyriax.co.kr/sub03-03.php?ptype=view&idx=6405&page=1&code=dataroom03&category=139

 

Âü°í ¹®Çå

1. https://www.researchgate.net/publication/266029568_Spontaneous_nerve_torsion_unusual_cause_of_radial_nerve_palsy

 

2. https://www.researchgate.net/publication/236458022_The_role_of_ultrasonography_and_MRI_in_patients_with_non-traumatic_nerve_fascicle_torsion_of_the_upper_extremity

 

 

 °íÂû

´ëºÎºÐÀÇ ¼Õ¸ñÇϼö(wrist drop)Àº ¼úÀ» ¸¶½Å ÈÄ ¶Ç´Â ¾àÀ» º¹¿ë ÈÄ ÀÚ´Ù°¡ ¹«ÀǽÄÀûÀ¸·Î

»ó¹ÚºÎ°¡ ´­·Á¼­ ¿ä°ñ½Å°æÀÌ ¸¶ºñµÇ´Â ¼ÒÀ§ ½ÅÈ¥¿©Çึºñ ¶Ç´Â Åä¿äÀϹ㸶ºñ°¡ ´ëºÎºÐÀ̰í

ÀûÀýÇÏ°Ô Ä¡·áÇÒ °æ¿ì ºü¸£¸é 1°³¿ù , Åë»óÀûÀ¸·Î 3-6°³¿ù,  ±æ¸é 1³â Á¤µµ¿¡ È£ÀüµÈ´Ù.

 

±×·¯³ª º» Áõ·Ê¿Í °°ÀÌ ÃÊÀ½ÆÄ°Ë»ç³ª ÀÚ±â°ø¸í°Ë»ç»ó hourglass apperance¸¦ º¸ÀÌ´Â °æ¿ì´Â

¼ö¼úÀå¿¡¼­ °üÂû½Ã ºñƲ¸²(torsion)À» º¸ÀÌ´Â °æ¿ì·Î¼­  ´ëºÎºÐ ÀÚ¿¬ È£ÀüÀÌ µÇÁö¾ÊÀ¸¹Ç·Î Áï°¢ÀûÀÎ

¼ö¼úÀûÄ¡·á¸¦ °í·ÁÇØ¾ß ÇÑ´Ù.

    

 

  

 

±×·¯³ª ÀÓ»óÀû°Ë»ç³ª  ±ÙÀüµµ°Ë»ç¸¸À¸·Î´Â º» Áõ·Ê¿Í °°Àº °æ¿ì¸¦ ±¸ºÐÇÒ ¼ö ¾øÀ¸¹Ç·Î

±ÙÀüµµ°Ë»ç·Î ¿ä°ñ½Å°æº´ÁõÀÌ  Áø´ÜµÈ Áï½Ã ¶Ç´Â Åë»óÀûÀÎ ±â°£ Ä¡·á ÈÄ È£ÀüÀÌ  ºÒ·®ÇÒ °æ¿ì

ÃÊÀ½ÆÄ°Ë»ç³ª ÀÚ±â°ø¸í°Ë»ç(MRI)°¡ ÇÊ¿äÇÏ´Ù.

 

 

ÃÊÀ½ÆÄ°Ë»ç¿¡¼­ µÎ °÷ÀÇ  ºñƲ¸²¿¡ ÀÇÇÑ ÇùÂøÀÌ ¹ß»ýÇÏ¿´´Âµ¥ ¼ö¼ú ½Ã¾ß¿¡¼­µµ µÎ°÷ÀÇ ÇùÂøÀÌ È®Àε˴ϴÙ(»çÁø 9, 10)

 

È®´ëµÈ »çÁø¿¡¼­ ½Å°æºñƲ¸²(torsion)ÀÌ ¶Ñ·ÈÇÏ´Ù(»çÁø 11).

 

½Å°æ ºñƲ¸²ÀÇ ¿øÀÎÀº ¾ÆÁ÷ ¹àÇôÁöÁö ¾Ê¾Ò´Âµ¥,  ½Å°æÀÇ ºÎÁ¾À̳ª À¯ÂøÀÌ ¹ß»ýÇÏ¿© À¯µ¿¼ºÀÌ ÀúÇÏµÈ »óÅ¿¡¼­

rachet »óÅÂ¿Í À¯»çÇÑ Çö»óÀÌ ¹ß»ýÇÏ¿© ÆÈÀÇ ¿òÁ÷ÀÓ¿¡ µû¶ó ºñƲ¸²ÀÌ ¹ß»ýÇÏ´Â °ÍÀ¸·Î ÃßÁ¤ÇÑ´Ù.

 

ºñƲ¸²ÀÌ ½ÉÇÏÁö ¾Ê°Å³ª Á¶±â¿¡ ¼ö¼úóġ°¡ ½ÃÇàµÇ´Â °æ¿ì¿¡´Â ½Å°æ¹Ú¸®¼ú(neurolysis) ¶Ç´Â ½Å°æ³»¹Ú¸®¼ú(endoneurolysis) ¸¸

½ÃÇàÇÒ ¼öµµ ÀÖÀ¸³ª ½Å°æÀÇ ºñƲ¸²ÀÌ ½ÉÇϰųª(»çÁø 12, 13)  Àå±â°£ ºñƲ¸²ÀÌ Áö¼ÓµÈ °æ¿ì¿¡´Â ±¹¼ÒÀûÀ¸·Î ½Å°æÀÇ ¿ÏÀü ¼Õ»óÀÌ

¹ß»ýÇϹǷΠÀýÁ¦ÈÄ ÀýÁ¦ ÈÄ ½Å°æºÀÇÕ¼ú(neurorraphy)À» ½ÃÇàÇÑ´Ù(»çÁø 14).

ÀÌÀü±Û ¾î±ú¸¦ ¸ø ¿Ã·Á¿ä! Áø´Ü µ¿¿µ»ó
´ÙÀ½±Û Ãʹ̼¼ °¥ºñ»À °ñÀýÀÇ ÃÊÀ½ÆÄ ¼Ò°ß
       
°¡¸ÍÁ¡¸í : ½Ã¸®¾Ç½ºÁ¤ÇüÀÇÇבּ¸È¸
»ç¾÷ÀÚµî·Ï¹øÈ£ : 894-81-00627 | ´ëÇ¥ÀÚ : ÀåµÎÇõ
 
ÁÖ¼Ò : °æ±âµµ ¾çÆò±º ¿ë¹®¸é ¿ë¹®·Î 375-1, 2Ãþ 1È£
TEL : 010-2323-4055
E-mail : cyriax12@naver.com
ÀԱݾȳ»
±¹¹ÎÀºÇà | ½Ã¸®¾Ç½ºÁ¤ÇüÀÇÇבּ¸È¸(ÁÖ)
220401-04-194155