
³²ÀÚ/38¼¼

¾à 1ÁÖÀü °ñÇÁ ¿¬½À ÈÄ ÁÂÃø ¿·±¸¸® ÅëÁõ ¹ß»ýÇÏ¿© Ÿº´¿ø ³»¿øÇÏ¿© ¹æ»ç¼± ÃÔ¿µ °á°ú
ƯÀÌ ¼Ò°ß º¸ÀÌÁö ¾Ê¾ÒÀ¸³ª ÁÖ»çÄ¡·ã¸£ ¹Þ¾ÒÀ¸³ª ÅëÁõÀº °è¼ÓµÊ.
¼û½¯ ¶§ ÅëÁõÀº ¾øÀ¸³ª ±âħÇÏ¸é ¿ï¸°´Ù°í ÇÔ.

ÁÂÃø 6, 7, 8 °¥ºñ»À¿¡ ±¹¼ÒÀû ¾ÐÅëÀ» º¸ÀÓ.

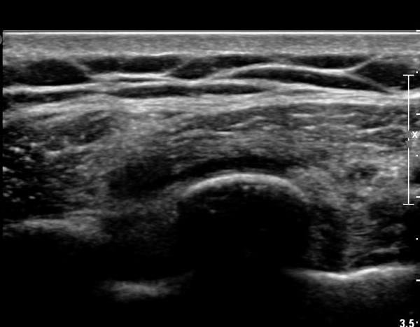
8¹øÂ° °¥ºñ»À Á¾´Ü¸é°Ë»ç»ó °¥ºñ»À Ç¥ÃþÀ¸·Î Àú¿¡ÄÚ ºÎÁ¾°ú °¥ºñ»À Ç¥Ãþ¿¡ ÀÖ´Â
±Ù¼¶À¯µéÀÌ Ç¥ÃþÀ¸·Î ¹Ð·ÁÀÖ´Â °ÍÀÌ °üÂûµÇ°í(»çÁø 1, 2) °¥ºñ»À ÇÇÁú°ñ ¿¬¼Ó¼º
´ÜÀýÀÌ ÀǽɵȴÙ(»çÁø 2).
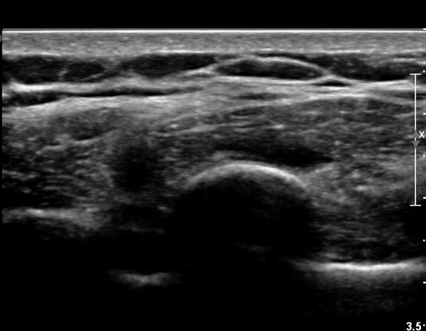
8¹øÂ° °¥ºñ»À ¾ÕÂÊ Á¾´Ü¸é°Ë»ç»ó ƯÀÌ ¼Ò°ßÀ» º¸ÀÌÁö ¾ÊÀ¸¸¶(»çÁø 4)
ŽÃËÀÚ¸¦ µÚÂÊÀ¸·Î À̵¿ ÇÏ´Ï °¥ºñ»À Ç¥ÃþÀ¸·Î Àú¿¡ÄÚ ºÎÁ¾ÀÌ °üÂûµÈ´Ù(»çÁø 3).

Ÿ º´¿ö ½ÃÇà °Ë»ç»ó ƯÀÌ ¼Ò°ß ¾øÀ½.


¿¢½º·¹ÀÌ¿¡¼ º¸ÀÌÁö ¾Ê´Â °¥ºñ»À °ñÀýÀº ´ëºÎºÐ ÃÊÀ½ÆÄ °Ë»ç½Ã ÇÇÁú°ñ ¿¬¼Ó¼º ¼Ò½Ç·Î Áø´ÜÀÌ °¡´ÉÇϳª
¾ÆÁÖ ¹Ì¼¼ÇÑ °ñÀýÀº ÇÇÁú°ñ ¿¬¼Ó¼º ¼Ò½ÇÀ» º¸ÀÌÁö ¾Ê±â ¶§¹®¿¡ °¥ºñ»À ÃÊÀ½ÆÄ °Ë»ç¿¡ °æÇèÀÌ ¸¹Áö ¾ÊÀ¸¸é
Áø´ÜÀÌ ¾î·Æ´Ù,
ÀÌ·± Ãʹ̼¼ °ñÀý¿¡¼´Â º» Áõ·Ê¿¡¼¿Í °°ÀÌ
1) °¥ºñ»À Ç¥ÃþÀÇ Àú¿¡ÄÚ ºÎÁ¾
2) ±æºñ»À Ç¥ÃþÀÇ ±ÙÀ° ¼¶À¯ ¹Ð¸²(Ç¥ÃþÀ¸·Î µ¹Ãâ)À¸·Î Áø´ÜÀÌ °¡´ÉÇÏ´Ù.
3) 2ÁÖ ÈÄ ÃßÀû°Ë»ç¿¡¼ °¡°ñ(CALLUS)Çü¼ºÀ» È®ÀÎÇÏ¿© È®ÁøÀÌ °¡´ÉÇÏ´Ù. |