
¿©ÀÚ/63¼¼

¾à 6°³¿ù ÀüºÎÅÍ ¹ß»ýÇÑ ¾çÃø ¼Õ°¡¶ôÀÇ Àú¸² ¹æ»ý. ¹ã¿¡ ½ÉÇϰí ÀÚ´Ù ±ü´Ù.
Á£°¡¶ôÁú ÇÏ¸é ½ÉÇØÁ®¼ ½¬¾ú´Ù ¸Ô´Â´Ù, Àüȸ¦ °è¼Ó ¹Þ±â ¾î·Æ´Ù.

¾öÁö µÎµ¢¿¡ ±ÙÀ§ÃàÀº º¸ÀÌÁö ¾Ê´Â´Ù. ¾öÁö ¼Õ°¡¶ô ¿ÜÀü ½Ã ±Ù¾àÁõÀº ¾ø´Ù.
2, 3, 4¹øÂ° ¼Õ°¡¶ô¿¡ °¨°¢ °¨¼Ò¸¦ º¸ÀδÙ.
phallen test(+/+)

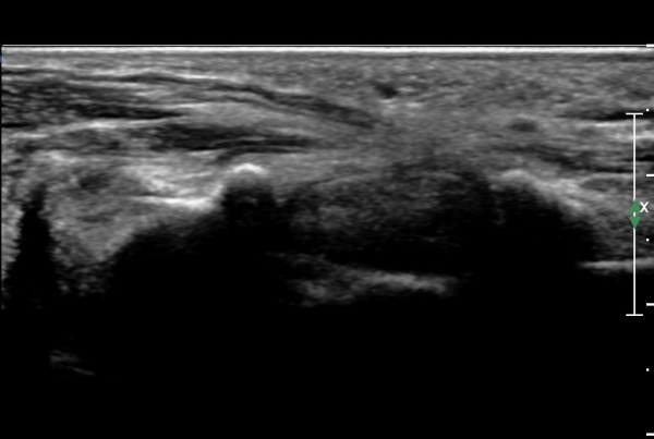
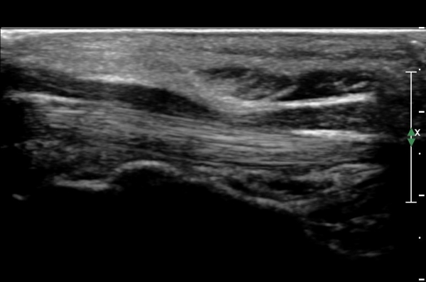
¼Õ¸ñ ºÎÀ§¿¡¼ Á¤Á߽Űæ Ⱦ´Ü¸é°Ë»ç»ó Á¤Á߽ŰÜÀÇ Àú¿¡ÄÚ ºÎÁ¾ÀÌ °üÂûµÊ(»çÁø 1).
¼ö±Ù°ü ±ÙÀ§ºÎ(scaphoid, lunate level)¿¡¼ Á¤Á߽Űæ Ⱦ´Ü¸é°Ë»ç»ó Á¤Á߽ŰæÀÇ Àú¿¡ÄÚ ºÎÁ¾ÀÌ °üÂûµÊ.(»çÁø 2).
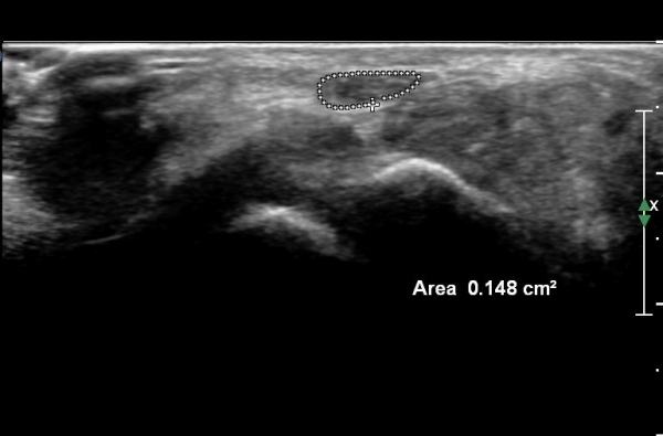
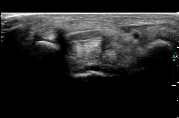
¼ö±Ù°ü ¸»´ÜºÎÀ§(trapezium, capitate level)¿¡¼ Á¤Á߽Űæ Ⱦ´Ü¸é°Ë»ç»ó Á¤Á߽ŰßÀÇ ÆíÆòȰ¡ °üÂûµÊ(»çÁø 3).
Á¤Á߽Űæ Á¾´Ü¸é°Ë»ç»ó ¼ö±Ù°ü ¸»´Ü(trapezium, capitate level) µÎ²¨¿öÁø Ⱦ¼ö±ÙÀδë(transverse carpal ligament)¿¡
ÀÇÇÑ Á¤Á߽ŰæÀÇ ±¹¼ÒÀû ¾Ð¹ÚÀÌ °üÂûµÊ(»çÁø 4, 5).
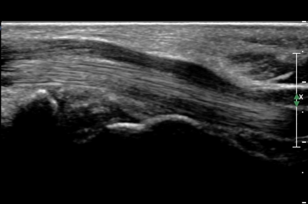
ÃÊÀ½ÆÄÀ¯µµÇÏ Á¤Áß½Å°æ ¼ö¾×¹Ú¸®¼ú(÷ºÎ »çÁø Âü°í) »çÁø¿¡¼ Á¤Á߽ŰæÀÇ Ç¥Ãþ¿¡ ÁÖ»ç¹Ù´ÃÀÌ À§Ä¡Çϰí
ÁÖ»çµÈ ¼ö¾×¿¡ ÀÇÇÑ È¾¼ø±Ù Àδ밡 Á¤Á߽Űæ°ú ºÐ¸®µÇ´Â ¸ð½ÀÀÌ º¸ÀÓ(»çÁø 6, 7, ÷ºÎÆÄÀÏ µ¿¿µ»ó). ½ÃÇàÇÏÁö ¾ÊÀ½.

ƯÀÌ ¼Ò°ß ¾øÀ½.

¼Õ¸ñ ºÎÀ§¿¡¼ Á¤Áß½Å°æ º´Áõ ¼Ò°ß

¾à¹°Ä¡·á¿Í ¹°¸®Ä¡·á¸¦ ½ÃÇàÇϸé¼
ÃÊÀ½ÆÄ À¯µµÇÏ Á¤Áß½Å°æ ¼ö¾×¹Ú¸®¼ú ½ÃÇà ÈÄ Triamcinolne 20 mg ÁÖ»ç.


|