
³²ÀÚ/ 47¼¼

³»¿ø Àü³¯ ±³Åë »ç°í ÈÄ ÁÂÃø ¼Õ¸ñÀÇ ÅëÁîÀÌ ¹ß»ýÇÏ¿© ÁØÁ¾ÇÕº´¿ø¿¡¼ ¿¢½º·¹ÀÌ °Ë»ç °á°ú
ƯÀÌ ¼Ò°ß º¸ÀÌÁö ¾Ê¾ÒÀ¸³ª Áõ»óÀÌ °è¼ÓµÇ¸é Á¤¹Ð°Ë»ç ¹ÞÀ¸¶ó´Â ¼Ò°ßÀ» µî°í ³»¿ø.

¼Õ¸ñ ¿ä°ñ ¸»´Ü¿¡´Â ±¹¼ÒÀû ¾ÐÅëÀÌ 앖¾ùÀ¸³ª ¼Õ¸ñ ¿ä°ñ¹èÃø°ú ÀåÃø¿¡ ±¹¼ÒÀû ¾ÐÅëÀ» º¸ÀÓ.

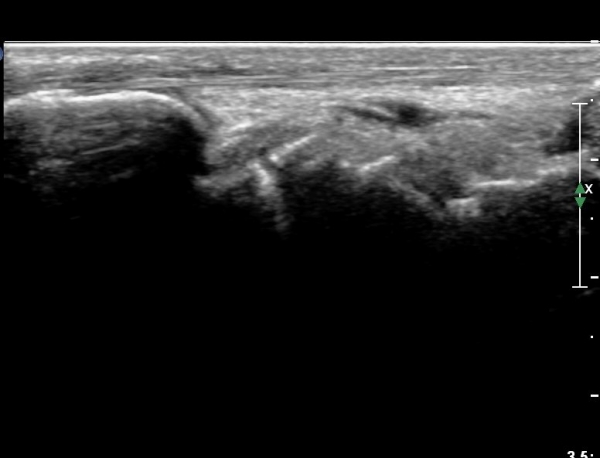
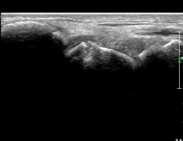
¼Õ¸ñ ÀåÃø ÁÖ»ó°ñ Á¾´Ü¸é °Ë»ç¿¡¼ ¹Ì¼¼ÇÑ ÁÖ»ó°ñ ÇÇÁú°ñ ¿¬¼Ó¼º ¼Ò½Ç(loss of cortical bone continuity)ÀÌ °üÂûµÊ(»çÁø 1, 2).
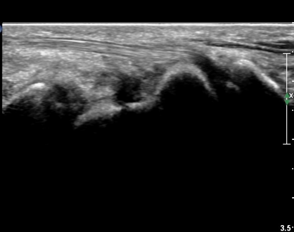
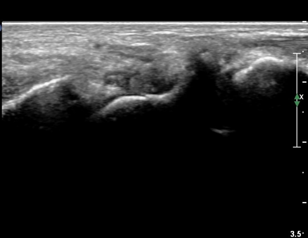
¼Õ¸ñ ¿ä°ñÃø ÁÖ»ó°ñ Á¾´Ü¸é °Ë»ç¿¡¼ ÁÖ»ó°ñ ÇÇÁú°ñ ¿¬¼Ó¼º ¼Ò½ÇÀÌ ¶Ñ·ÈÇÏ°í µ¿¹ÝµÈ ¿¬ºÎÁ¶Á÷ ºÎÁ¾ÀÌ °üÂûµÊ(»çÁø 3, 4)/

Ÿº´¿ø ½ÃÇà ´Ü¼ø¹æ»ç¼±°Ë»ç¿¡¼ ƯÀÌ ¼Ò°ß º¸ÀÌÁö ¾ÊÀÖÀ½.
CT °Ë»ç
È®ÁøÀ» À§ÇÑ ÃÊÀ½ÆÄ°Ë»ç¿¡¼ ÁÖ»ó°ñ °ñÀý È®ÀÓ µÊ.

Ÿº´¿ø Àü¿ø.

ÁÖÁöÇÏ´Ù½ÃÇÇ ÁÖ»ó°ñ °ñÀýÀº ´Ü¼ø¹æ»ç¼±°Ë»ç¿¡¼ È®ÀεÇÁö ¾Ê´Â °æ¿ì°¡ ÈçÇѵ¥
ÃÊÀ½ÆÄ°Ë»ç¸¦ ½ÃÇàÇÏ¸é ¹Ì¼¼ÇÑ °ñÀýµµ Áø´ÜÀÌ °¡´ÉÇÏ´Ù. |