
¿©ÀÚ/67¼¼

³»Ãø ºñº¹±Ù ¸¸¼º ÆÄ¿·Î Ä¡·áÁß ¹«¸ µÚ ¿À±Ý ¹× ÀåµýÁö ÅëÁõÀÌ ½ÉÇØÁ®¼ °Ë»ç.

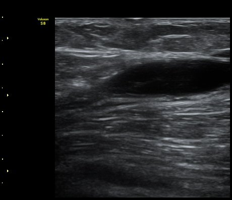
¹«¸ µÚ ¿À±Ý Á¾´Ü¸é°Ë»ç¿¡¼ ³»Ãøºñº¹±Ù°ú ¹Ý¸·¾ç±Ù »çÀÌ¿¡ Àú¿¡ÄÚ ¼ö¾×Àú·ù°¡ °üÂûµÈ´Ù(»çÁø 1).
¹«¸ µÚ ¿À±Ý Ⱦ´Ü¸é°Ë»ç¿¡¼ ³»Ãøºñº¹±Ù°ú ¹Ý¸·¾ç±Ù »çÀÌ¿¡ Àú¿¡ÄÚ ¼ö¾×Àú·ù°¡ °üÂûµÈ´Ù(»çÁø 2).
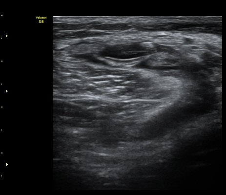
ÈíÀÎ ÈÄ ¹«¸ µÚ ¿À±Ý Ⱦ´Ü¸é°Ë»ç¿¡¼ ³»Ãøºñº¹±Ù°ú ¹Ý¸·¾ç±Ù »çÀÌ¿¡ Àú¿¡ÄÚ ¼ö¾×Àú·ùÀÇ °¨¼Ò°¡ °üÂûµÈ´Ù(»çÁø 3).
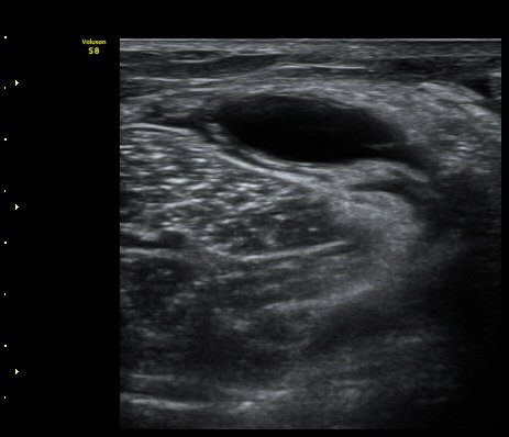
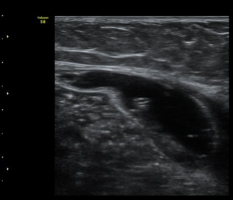
¹«¸ ¾Æ·¡ ÀåµýÁö Á¾´Ü¸é°Ë»ç¿¡¼ ÇÇÇÏ ¿¬ºÎÁ¶Á÷°ú ºñº¹±Ù »çÀÌ¿¡ ¼ö¾×Àú·ù(º£ÀÌÄ¿¾¾ ³¶Á¾ÀÌ ÅÍÁ®¼ Èê·¯³ª¿Â)°¡ °üÂûµÈ´Ù(»çÁø 4).
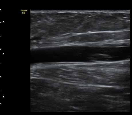
¹«¸ ¾Æ·¡ ÀåµýÁö Ⱦ´Ü¸é°Ë»ç¿¡¼ ÇÇÇÏ ¿¬ºÎÁ¶Á÷°ú ºñº¹±Ù »çÀÌ¿¡ ¼ö¾×Àú·ù(º£ÀÌÄ¿¾¾ ³¶Á¾ÀÌ ÅÍÁ®¼ Èê·¯³ª¿Â)°¡ °üÂûµÈ´Ù(»çÁø 5).

ÀåµýÁö¿¡ ±¤¹üÀ§ÇÑ ±Ù±äÀå Áõ°¡¿Í ¾ÐÅëÀÌ È®ÀÎ µÊ.



ÃÊÀ½ÆÄ À¯µµÇÏ º£ÀÌÄ¿¾¾ ³¶Á¾°ú º£ÀÌÄ¿¾¾ ³¶Á¾ ÆÄ¿·Î ¹ß»ýµÈ ³¶Á¾ ÈíÀÎ.


|