¿©ÀÚ/67¼¼

1³âÀü ¹«¸ Àΰø°üÀý ¼ö¼úÀ» ¹Þ¾Ò´ø ȯÀÚ·Î ³»¿ø ÇÑ´ÞÀüºÎÅÍ ÀåµýÁö¿¡ ÅëÁõ°ú ºÎÁ¾ÀÌ ¹ß»ýÇÏ¿© ³»¿ø.
º»¿ø ³»¿ø Àü Ÿº´¿ø ³»¿øÇÏ¿© ÁøÂûÀ» ¹Þ¾ÒÀ¸³ª ¿øÀÎÀ» ¸ð¸£°Ú´Ù°í ÇÏ¿´°í,
Ÿ Á¾ÇÕº´¿ø¿¡¼´Â Ç÷°ü°Ë»ç¸¦ ¹Þ¾ÒÀ¸³ª ÀÌ»ó ¼Ò°ßÀº ¾ø´Ù°í ÇÔ.

ÆÄÇ༺ º¸ÇàÀ» º¸À̰í, ¹«¸ÀÇ °í³ªÀý°¡µ¿¹üÀ§ Á¦ÇÑÀ» º¸ÀÓ.
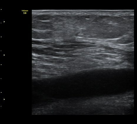
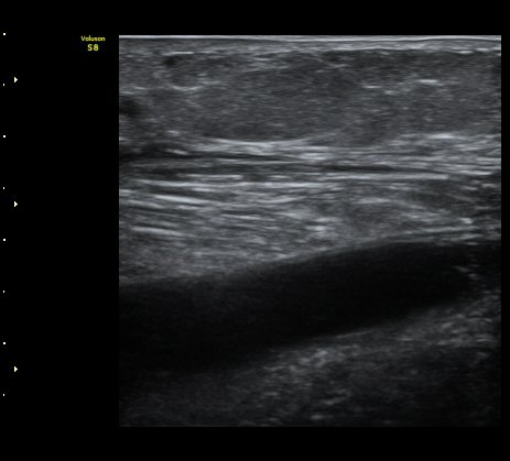
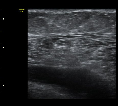
¿Ü°ß »ó ÀåµýÁö ºÎÁ¾ÀÌ °üÂûµÇ°í ³»Ãø ºñº¹±Ù¿¡ ±¹¼ÒÀû ¾ÐÅëÀ» º¸ÀÓ.

³»Ãøºñº¹±Ù°ú °¡Àڹ̱٠»çÀ̰¡ ¹ú¾îÁö°í ¼ö¾×ÀÌ Àú·ùµÊ.



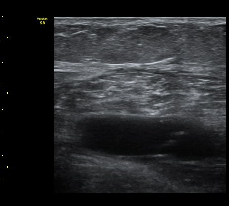
ÃÊÀ½ÆÄ À¯µµÇÏ ¼ö¾× ÈíÀÎ(÷ºÎ µ¿¿µ»ó) ÈÄ ¾Ð¹ÚºØ´ë °íÁ¤.

³»Ãø ºñº¹±Ù ÆÄ¿Àº ´ë°³ ±Þ¼ºÀ¸·Î ¹ß»ýÇÏ¿© °æÇèÀÌ ÀÖ´Â ÀÇ»ç´Â ºñº¹±ÙÆÄ¿À» ÃßÁ¤ÇÒ ¼ö ÀÖ´Ù.
±×·¯³ª °æ¹ÌÇÑ ÆÄ¿ ÈÄ ¹«¸®ÇÑ ¿îµ¿À¸·Î ÆÄ¿ÀÌ ÁøÇàµÇ´Â °æ¿ì ÅëÁõÀÌ Å©Áö ¾Ê°í º´·Âµµ ¶Ñ·ÈÇÏÁö ¾Ê¾Æ
ºñº¹±Ù ÆÄ¿À» ÃßÁ¤ÇϱⰡ ½±Áö ¾Ê´Ù. ÀÌ·± °æ¿ì¿¡´Â È®Áø¿¡ ÃÊÀ½ÆÄ°Ë»ç°¡ ÇʼöÀûÀÌ´Ù.

|