³²ÀÚ/ 54¼¼
1ÀÏ Àü Ã౸ÇÏ´Ù°¡ ÀåµýÁö¿¡¼ ¶ß²ûÇÑ ÈÄ ÅëÁõ ¹ß»ý. °È±â ¾î·Æ´Ù.
³»Ãø ºñº¹±Ù ¸»´ÜºÎ¿¡¼ ±¹¼ÒÀû ¾ÐÅëÀ» º¸ÀÌÁö ¾ÊÀ½.
¾ÆÅ³·¹½º°Ç ÃËÁø»ó ´Ü´ÜÇÑ °ÇÀÌ ¸¸Á®Áö°í ÅëÁõÀ» º¸ÀØ ¾Ê´Ù°¡ ¾ÆÅ³·¹½º°Ç ¸»´ÜºÎ(Á¾ÁöºÎ ¾à 5cm ±ÙÀ§ºÎ)¿¡
±¹¼ÒÀû¾ÐÅë°ú ´Ü´ÜÇÑ °ÇÀÌ ¼Ò½ÇµÇ°í ¹°ÄÈÇÏ°Ô ¸¸Á®Áö°í ÃËÁøÇÏ´Â ¼ÕÀÌ ¾¦ µé¾î°¨(÷ºÎ µ¿¿µ»ó 1).
´Éµ¿ÀûÀÎ ¹ß¸ñ Á·Àú±¼°îÀÌ ºÒ°¡´ÉÇÔ(¼Ò½ÇµÊ)
heel gait ¾ÈµÊ
º¸Çà ¾ç»ó : º¸Çà½Ã heel strike°¡ ¼Ò½ÇµÇ°í sole strike ¾ç»óÀ» º¸ÀÓ, toe off ÀÌ ¼Ò½ÇµÇ¾î
¹ß¹Ù´Ú Àüü·Î µó´Â ÆÄÇ༺ º¸ÇàÀ» º¸ÀÓ.
È¯Ãø¿¡¼ Thomson test ¾ç¼º¼Ò°ßÀ» º¸ÀÓ(÷ºÎµ¿¿µ»ó 2)
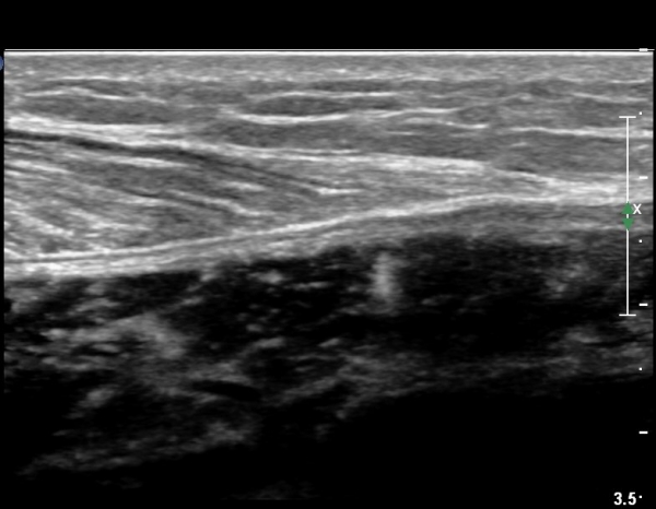
ºñº¹±Ù Á¾´Ü¸é°Ë»ç¿¡¼ ƯÀÌ ¼Ò°ßÀ» º¸ÀÌÁö ¾ÊÀ½(»çÁø 1).
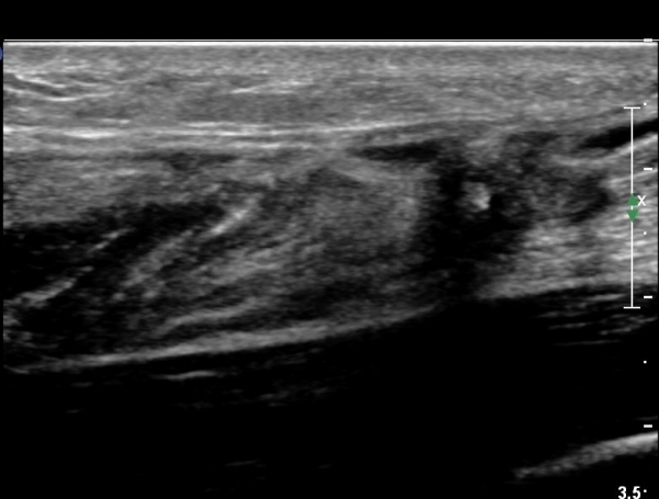
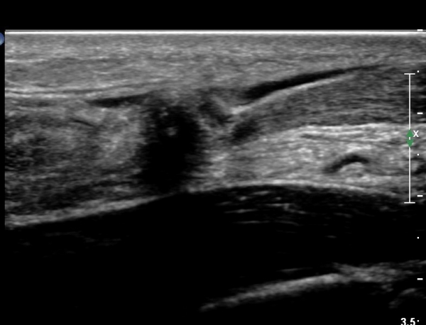
¾ÆÅ³·¹½º°Ç Á¾´Ü¸é°Ë»ç¿¡¼ ¾ÆÅ³·¹½º°Ç Àú¿¡ÄÚ ºÎÁ¾, ¿¬°á¼º ¼Ò½Ç, °ÇÁÖÀ§ ¼ö¾×Àú·ù ¼Ò°ßÀ» º¸ÀÓ(»çÁø 2, 3, 4, 5).
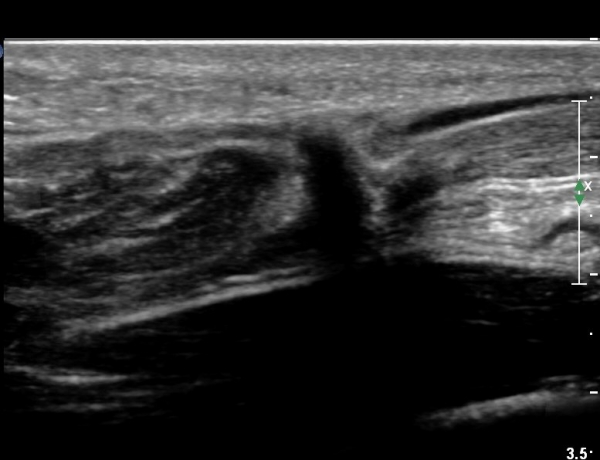
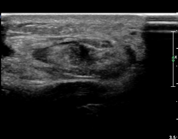
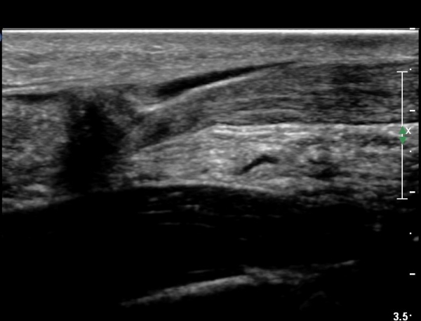
¾ÆÅ³·¹½º°Ç Ⱦ´Ü¸é°Ë»ç¿¡¼ ¾ÆÅ³·¹½º°Ç Àú¿¡ÄÚ ºÎÁ¾, ¿¬°á¼º ¼Ò½Ç, °ÇÁÖÀ§ ¼ö¾×Àú·ù ¼Ò°ßÀ» º¸ÀÓ(»çÁø 6, 7, 8).
Thomson test : https://www.youtube.com/watch?v=z-7cJ7LpCqY
¼ö¼úÄ¡·á À§ÇØ Àü¿ø

|