[¹ß¸ñ] ¹ß¸ñ Àü°ÅºñÀÎ´ë ÆÄ¿­ ÃÊÀ½ÆÄ°Ë»ç
ÀÛ¼ºÀÚ : °ü¸®ÀÚ(khu3265442@naver.com) ÀÛ¼ºÀÏ : 2018-07-01 Á¶È¸¼ö : 4725
ÆÄÀÏ÷ºÎ :

¼ºº° / ³ªÀÌ
³²ÀÚ/15¼¼


ÁÖÁõ»ó
¿ìÃø ¹ß¸ñÀÇ ÅëÁõ(2ÀÏ)


º´·Â
¹ß¸ñÀ» »á ÈÄ ÅëÁõÀÌ ¹ß»ý, °è¼Ó ¾ÆÇÁ´Ù


ÀÌÇÐÀû °Ë»ç
¹ß¸ñ ¿ÜÃø¿¡ ºÎÁ¾, ±¹¼ÒÀû ¾ÐÅëÀ» º¸ÀÓ. Àü¹æ°ßÀΰ˻ç´Â ¶Ñ·ÈÇÏÁö ¾ÊÀ½


ÃÊÀ½ÆÄ °Ë»ç
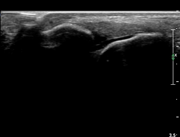
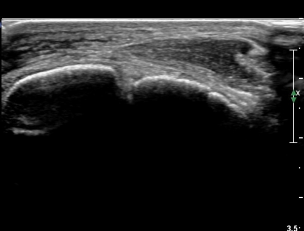
¹ß¸ñ ¾ÕÂÊ Á¾´Ü¸é°Ë»ç¿¡¼­ °üÀý³» ºÎÁ¾À» º¸ÀδÙ(»çÁø 1).


°üÀý³» ºÎÁ¾Àº ½É°¢ÇÑ ¼Õ»óÀ» ¾Ï½ÃÇÏ´Â ¼Ò°ßÀÌ´Ù.

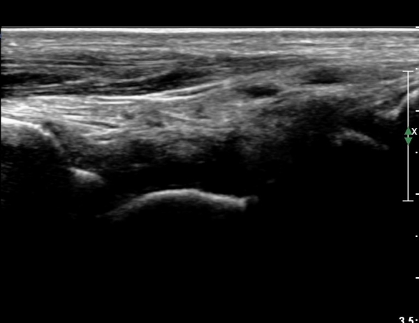
¹ß¸ñ À§¿¡¼­ ¸»´Ü ¾ÕÂÊ °æ°ñºñ°ñÀδë Á¾´Ü¸é°Ë»ç¿¡¼­ ƯÀÌ ¼Ò°ßÀ» º¸ÀÌÁö ¾Ê´Â´Ù(»çÁø 2, 3).


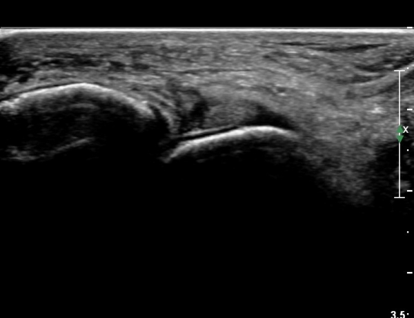
Àü°ÅºñÀδë Á¾´Ü¸é°Ë»ç¿¡¼­ Àü°ÅºñÀδëÀÇ ÆÄ¿­ÀÌ °üÂûµÈ´Ù(»çÁø 4, 5).


Àü°ÅºñÀδë Àü¹æ°ßÀΰ˻翡¼­ ÀÎ´ë ÆÄ¿­¿¡ ÀÇÇÑ °Å°ñÀÇ °úµµÇÑ ¿òÁ÷ÀÓÀÌ °üÂûµÈ´Ù(µ¿¿µ»ó Âü°í)


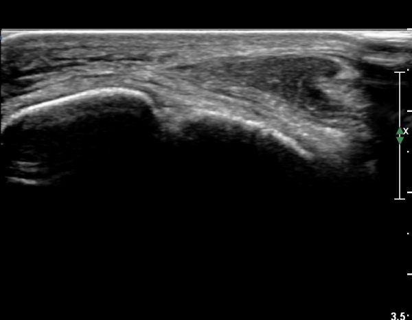
Á¾°ñºñ°ñÀδë Á¾´Ü¸é°Ë»ç¿¡¼­ ƯÀÌ ¼Ò°ßÀ» º¸ÀÌÁö ¾Ê´Â´Ù(»çÁø 6, 7).


Á¾ºñ°ñÀÎ´ë ³»¹ÝºÎÇϰ˻翡¼­ ÀδëÀÇ ¿¬°á¼ºÀº Àß À¯ÁöµÇ¾î ÀÖ´Ù(»çÁø 8). µ¿¿µ»ó  Âü°í


¹Ý´ëÃø Àü°ÅºñÀδë Á¾´Ü¸é°Ë»ç¿¡¼­ ÀδëÀÇ Àú¿¡ÄÚ ºÎÁ¾Àº °üÂûµÇ³ª ¿¬°á¼ºÀº Àß À¯ÁöµÇ¾î ÀÖ´Ù(»çÁø 9).

ÀÌÀü¿¡ ¼Õ»ó ¹ÞÀº º´·ÂÀ» ¹Ý¿µÇÏ´Â ¼Ò°ßÀÌ´Ù.


´Ü¼ø¹æ»ç¼±°Ë»ç
ƯÀÌ ¼Ò°ß ¾øÀ½.


ÀÚ±â°ø¸í°Ë»ç
½ÃÇàÇÏÁö ¾ÊÀ½


Ä¡·á
2ÁÖ°£ ºÎ¸ñ°íÁ¤

 


¹ß¸ñ ¼Õ»ó ÈÄ ÀÎ´ë ÆÄ¿­ ¿©ºÎ´Â ÃÊÀ½ÆÄ°Ë»ç·Î »ó´çÈ÷ Á¤È®ÇÏ°Ô ÆÄ¾ÇÇÒ ¼ö ÀÖ°í Æ¯È÷
ÃÊÀ½ÆÄ Åõ½ÃÇÏ Àü°ÅºñÀδë¿Í Á¾°ñºñ°ñÀÎ´ë ºÎÇϰ˻縦 ½ÃÇàÇϸé Àδë¼Õ»ó »Ó ¾Æ´Ï¶ó ºÒ¾ÈÁ¤
Á¤·Î¸¦ Á¤È®È÷ ÆÄ¾ÇÇÒ ¼ö ÀÖ¾î Â÷·á °èȹ ¼ö¸³¿¡ ¸Å¿ì À¯¿ëÇÏ´Ù.

ÃÊÀ½ÆÄ Åõ½ÃÇÏ ºÎÇϰ˻翡¼­ ºÒ¾ÈÁ¤ÀÌ È®ÀεǸé Ãʱ⿡ ºÎ¸ñ°íÁ¤À» ½ÃÇàÇÏ¿© ¼Õ»óµÈ Àδ밡
Á¤»óÀûÀ¸·Î ȸº¹ÇÒ Á¶°ÇÀ» Á¶¼ºÇÏ¿© ÁÖ¾î¾ß ÇÑ´Ù.


ÃÊÀ½ÆÄ Åõ½ÃÇÏ Àü°ÅºñÀÎ´ë ºÎÇϰ˻ç
https://www.youtube.com/watch?v=xqXmAAYm6G4&feature=youtu.be

ÃÊÀ½ÆÄ Åõ½ÃÇÏ Á¾°ñºñ°ñÀÎ´ë ºÎÇϰ˻ç
https://www.youtube.com/watch?v=xqXmAAYm6G4&feature=youtu.be

ÀÌÀü±Û hydrodissection of carpal tunnel syndrome
´ÙÀ½±Û ÆÈ²ÞÄ¡ ³»ÃøºÎÀÎ´ë ÆÄ¿­ ¹× °ß¿­°ñÀý
       
°¡¸ÍÁ¡¸í : ½Ã¸®¾Ç½ºÁ¤ÇüÀÇÇבּ¸È¸
»ç¾÷ÀÚµî·Ï¹øÈ£ : 894-81-00627 | ´ëÇ¥ÀÚ : ÀåµÎÇõ
 
ÁÖ¼Ò : °æ±âµµ ¾çÆò±º ¿ë¹®¸é ¿ë¹®·Î 375-1, 2Ãþ 1È£
TEL : 010-2323-4055
E-mail : cyriax12@naver.com
ÀԱݾȳ»
±¹¹ÎÀºÇà | ½Ã¸®¾Ç½ºÁ¤ÇüÀÇÇבּ¸È¸(ÁÖ)
220401-04-194155