Login
|
Join
|
Sitemap
|
Contact Us
|
µî·Ï½ÅûÇϱâ
ENG
¿¬±¸È¸¼Ò°³
½Ã¸®¾Ç½º Á¤ÇüÀÇÇÐ
¿¬±¸È¸ ¼Ò°³
¿¬±¸È¸ ¿¬Çõ
ÀÓ¿øÁø
¿¬±¸È¸È¸Ä¢
°ÀÇÀÏÁ¤
ÀüüÀÏÁ¤
½Ã¸®¾Ç½ºÁ¤ÇüÀÇÇÐ
ÇØ¿Ü¼®ÇÐÃÊû¼¼¹Ì³ª
±Ù°ñ°Ý°è ÃÊÀ½ÆÄ
µµ¼öÄ¡·á ¿öÅ©¼¥
Ưº° ¿öÅ©¼¥
Áõ·Ê ¹× ÀÚ·á
ºñȸ¿ø ÀÚ·á½Ç
Á¤È¸¿ø ÀÚ·á½Ç
ÃÊÀ½ÆÄ ¿öÅ©¼¥
Ä¿¹Â´ÏƼ
°øÁö»çÇ×
¹®ÀÇ°Ô½ÃÆÇ
°¶·¯¸®
Áõ·Ê ¹× ÀÚ·á
ºñȸ¿ø ÀÚ·á½Ç
>
- ̧̫
- ¾î±ú
- ÆÈ²ÞÄ¡
- ¼Õ¸ñ
- ¾ûµ¢ÀÌ
- ¹«¸
- ¹ß¸ñ
- ½Å°æ
- ±âŸ
Á¤È¸¿ø ÀÚ·á½Ç
>
- ̧̫
- ¾î±ú
- ÆÈ²ÞÄ¡
- ¼Õ¸ñ
- ¾ûµ¢ÀÌ
- ¹«¸
- ¹ß¸ñ
- ½Å°æ
- ±âŸ
- ½Ã¸®¾Ç½ºÁ¤ÇüÀÇÇÐ
- ±Ù°ñ°Ý°èÃÊÀ½ÆÄ
ÃÊÀ½ÆÄ ¿öÅ©¼¥
>
- ̧̫
- ¾î±ú
- ÆÈ²ÞÄ¡
- ¼Õ¸ñ
- ¾ûµ¢ÀÌ
- ¹«¸
- ¹ß¸ñ
- ½Å°æ
- ±âŸ
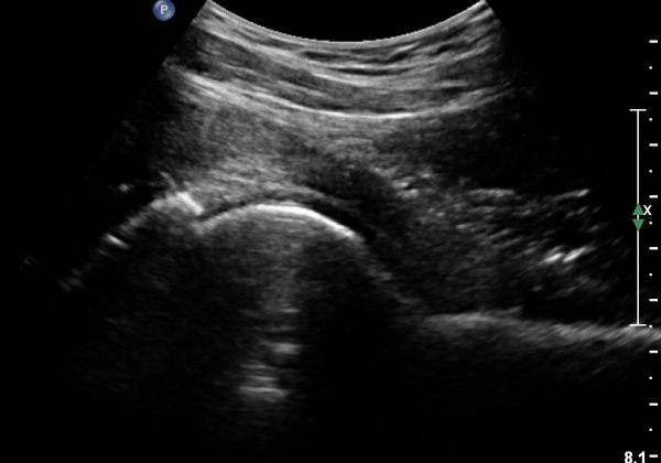
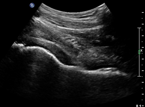
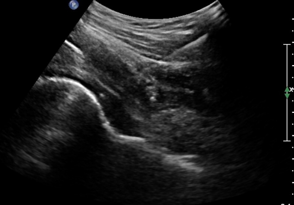
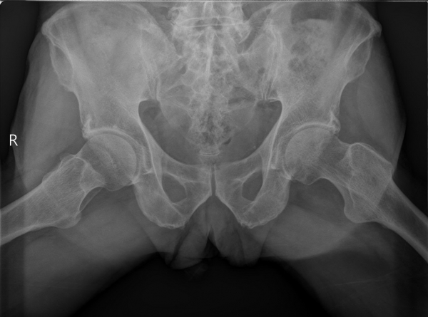
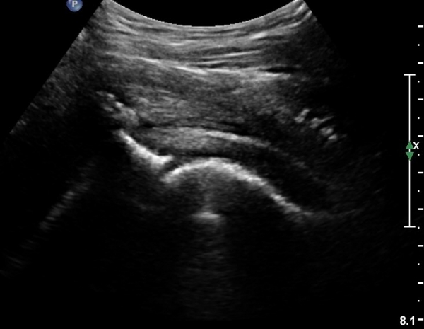
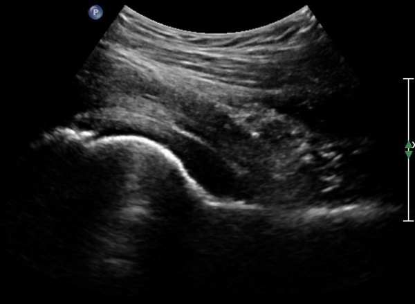
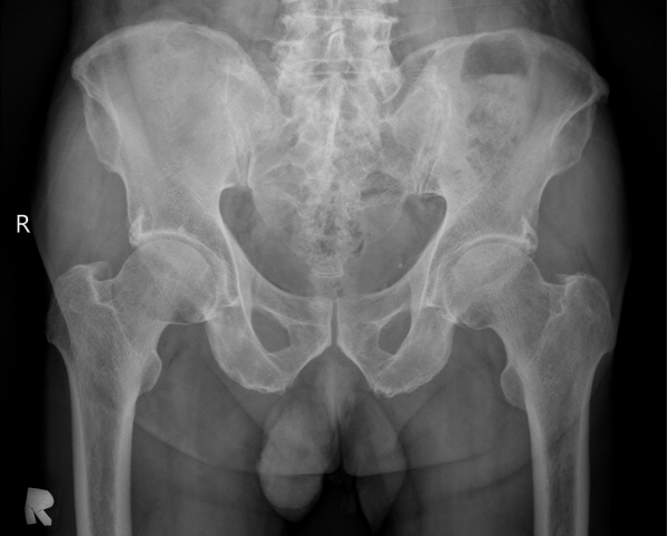
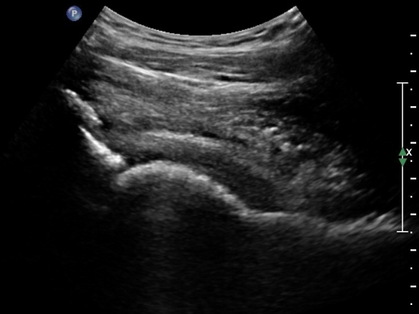
[¾ûµ¢ÀÌ] °í°üÀý Ãæµ¹ÁõÈıº¿¡ÀÇÇÑ È°¾×¸·¿° ÁÖ»çÄ¡·á
ÀÛ¼ºÀÚ : °ü¸®ÀÚ(khu3265442@naver.com) ÀÛ¼ºÀÏ : 2018-06-09 Á¶È¸¼ö : 1979
ÆÄÀÏ÷ºÎ :
¼ºº° / ³ªÀÌ
3
ÁÖÁõ»ó
3
º´·Â
3
ÀÌÇÐÀû °Ë»ç
3
ÃÊÀ½ÆÄ °Ë»ç
3
´Ü¼ø¹æ»ç¼±°Ë»ç
3
ÀÚ±â°ø¸í°Ë»ç
3
Ä¡·á
3
ÀÌÀü±Û
ÀÌ»ó±ÙÁßÈıº ¼³¸í ¹× ÃÊÀ½ÆÄÀ¯µµ ÁÖ»ç µ¿¿µ»ó
´ÙÀ½±Û
ÀÌ»ó±ÙÁõÈıº ÁÖ»çÄ¡·á ¹× ÃÊÀ½ÆÄ°Ë»ç
°¡¸ÍÁ¡¸í : ½Ã¸®¾Ç½ºÁ¤ÇüÀÇÇבּ¸È¸
»ç¾÷ÀÚµî·Ï¹øÈ£ : 894-81-00627 | ´ëÇ¥ÀÚ : ÀåµÎÇõ
ÁÖ¼Ò : °æ±âµµ ¾çÆò±º ¿ë¹®¸é ¿ë¹®·Î 375-1, 2Ãþ 1È£
TEL : 010-2323-4055
E-mail : cyriax12@naver.com
ÀԱݾȳ»
±¹¹ÎÀºÇà | ½Ã¸®¾Ç½ºÁ¤ÇüÀÇÇבּ¸È¸(ÁÖ)
220401-04-194155
¿¬±¸È¸¼Ò°³
|
°ÀÇÀÏÁ¤
|
Áõ·Ê ¹× ÀÚ·á
|
Ä¿¹Â´ÏƼ
COPYRIGHT ¨Ï 2018 CYRIAX. ALL RIGHTS RESERVED.