[¾ûµ¢ÀÌ] ÀÌ»ó±ÙÁõÈıº ÁÖ»çÄ¡·á ¹× ÃÊÀ½ÆÄ°Ë»ç
ÀÛ¼ºÀÚ : °ü¸®ÀÚ(khu3265442@naver.com) ÀÛ¼ºÀÏ : 2018-06-06 Á¶È¸¼ö : 5009
ÆÄÀÏ÷ºÎ :

¼ºº° / ³ªÀÌ
³²ÀÚ/ 43¼¼


ÁÖÁõ»ó
ÁÂÃø ¾ûµ¢ÀÌ ÅëÁõ ¹× ´ëÅðºÎ ¹æ»çÅë (3ÀÏ)


º´·Â

¹«°Å¿î ¹°°ÇÀ» µéÀº ÈÄ ÅëÁõ ¹ß»ý, ¾ÉÀ¸¸é ½ÉÇØÁö°í, ¿À·¡ °ÉÀ» ¼ö ¾ø´Ù.


ÀÌÇÐÀû °Ë»ç
°í°üÀý ±¼°î, ³»Àü½Ã ¾ûµ¢ÀÌ ÅëÁõ ¹ß»ýÇϰí, °í°üÀý ³»È¸Àü ½Ã ÅëÁõÀÌ ½ÉÇØÁü.
ÀÌ»ó±Ù ºÎÀ§¿¡ ±¹¼ÒÀû ¾ÐÅëÀ» º¸ÀÓ.


ÃÊÀ½ÆÄ °Ë»ç
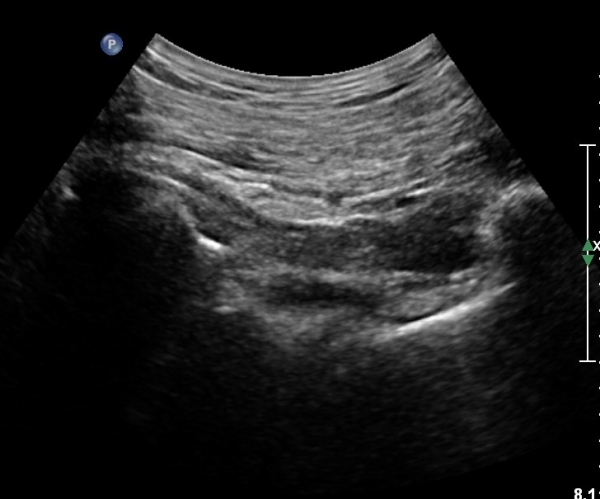
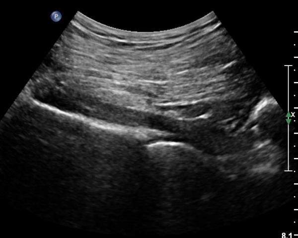
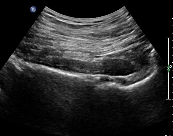
ÈÄ»óÀå°ñ±Ø ¿ÜÃø¿¡ ŽÃÊÀÚ¸¦ ¼öÆòÀ¸·Î ´ë¸é ½ÉÃþÀ¸·Î Àå°ñÀÌ °üÂûµÇ°í Àå°ñ Ç¥Ãþ¿¡ ´ëµÐ±Ù°ú ÁߵбÙÀÌ °üÂûµÈ´Ù(»çÁø 1).


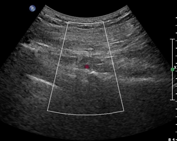
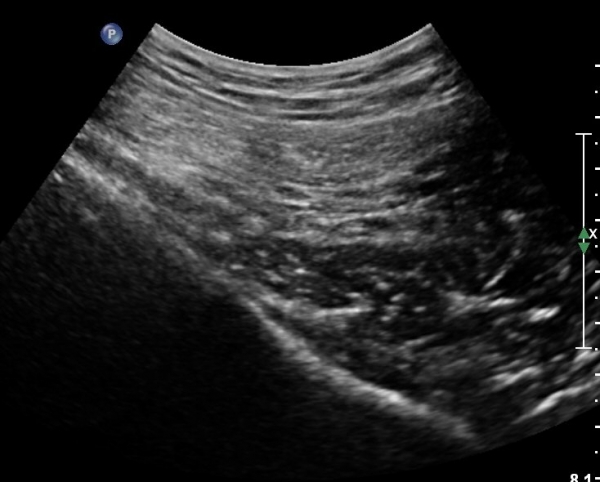
ŽÃÍÀÚ¸¦ ´Ù¸®ÂÊÀ¸·Î ¼öÆò À̵¿ÇÏ¸é ½ÉÃþ¿¡¼­ Àå°ñÀÌ »ç¶óÁö°í »õ·Î¿î ±ÙÀ°ÃþÀÌ º¸À̴µ¥ À̰ÍÀÌ ÀÌ»ó±ÙÀ̰í ÀÌ»ç±Ù ½ÉÃþ¿¡¼­ Á°ñ½Å°æ¸£ °üÂûÇÒ ¼ö ÀÖ´Ù(»çÁø 2, 3).


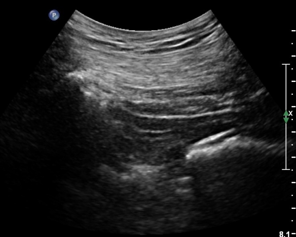
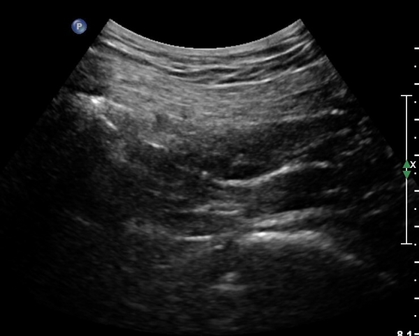
ŽÃÊÀÚ¸¦ ¾à°£ ¾Æ·¡·Î À̵¿Çϸé Á°ñÀÇ ¸ð¾çÀÌ º¼·ÏÇÑ ¸ð¾ç¤·¿¡¼­ ¼öÆòÇÏ°Ô °üÂûµÇ´Âµ¥ ÀÌ ±¸Á¶¹°Àº Á°ñ±Ø(ischial spine)À̰í ÀÌ À§Ä¡¿¡¼­ ŽÃËÀÚ¸¦ Á¶±Ý¾¿ ±â¿ï¿©¼­ °üÂûÇϸé Á°ñ±Ø ³»Ãø°ú ¿¬°áµÇ´Â °í¿¡ÄÚ ¶ì ¸ð¾ç ±¸°í¹°ÀÌ °üÂûµÇ´Âµ¥ À̰ÍÀÌ Ãµ°ñ°¡½Ãµ¹±â ÀδëÀÌ´Ù. ÀÌ Àδë Ç¥Ãþ¿¡¼­ õ°ñ°áÀýÀδ븦 °üÂûÇÒ ¼ö ÀÖ°í ÀÌ µÎ ÀδëÀÇ »ç¿¡¼­ À½ºÎÅë¸ÆÀ» °üÂûÇÒ ¼ö ÀÖ°í À½ºÎµ¿¸Æ ³»Ãø¿¡¼­ À½ºÎ½Å°æ(pudendal nerve)¸¦ È®ÀÎÇÒ ¼ö ÀÕ´Ù(»çÁø 8, 9).


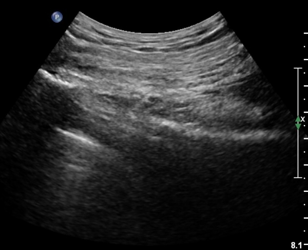
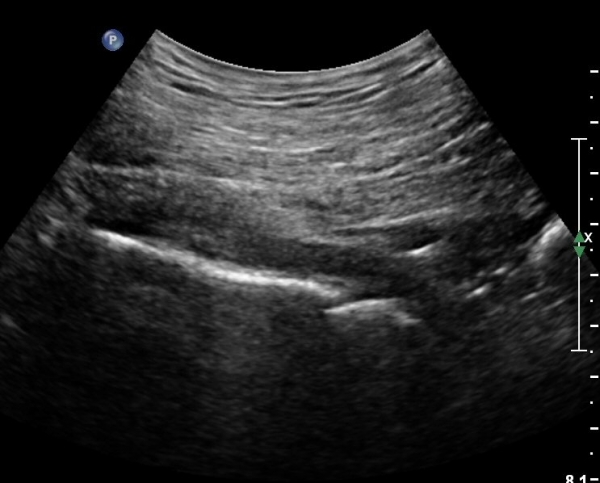
ŽÃËÀÚ¸¦ ´ëÀüÀÚ°¡ º¸À̵µ·Ï ¿ÜÃøÀ¸·Î À̵¿Çϸé Á°ñÇ¥Ãþ¿¡ ´ëÀüÀÚ·Î ÁÖÇàÇÏ´Â ÀÛÀº ³×°³ÀÇ ±ÙÀ°ÃþÀÌ °üÂûµÇ´Âµ¥ ¸Ó¸®ÂÊ¿¡¼­ ¾Æ·¡·Î SG, OI, IG, QF¸¦ °üÂûÇÒ ¼ö ÀÖ°í, ÀÌ ±ÙÀ°µé Ç¥Ãþ¿¡¼­ °í¿¡ÄÚ·Î °üÂûµÇ´Â Ÿ¿øÇü ±¸Á¶¹°ÀÌ Á°ñ½Å°æÀÌ´Ù(»çÁø 4, 5, 6, 7).


´Ü¼ø¹æ»ç¼±°Ë»ç
3


ÀÚ±â°ø¸í°Ë»ç
3


Ä¡·á
3



 


ÃÊÀ½ÆÄÀ¯µµÇÏ ÀÌ»ó±Ù Â÷´Ü
https://www.youtube.com/watch?v=3YwHSDmYRb4&feature=youtu.be


Âü°í ¹®Çå

http://morphopedics.wikidot.com/piriformis-syndrome

https://ac.els-cdn.com/S1877065713000675/1-s2.0-S1877065713000675-main.pdf?_tid=2113b162-2517-4d12-a8c7-c3a102f62776&acdnat=1528287820_f143eb896ff5aab16a450c3f9c57de30

http://practicalneurology.com/pdfs/PN0612_ExpertOpinion.pdf

https://reader.elsevier.com/reader/sd/302C804679B8EF24EA98DD272C76A0D2663B468904CE0821D6FAA9690A44B961CB95547838393ACC5A27F614BB909CC2

https://www.ncbi.nlm.nih.gov/pmc/articles/PMC2828977/pdf/1749-799X-5-3.pdf

https://ac.els-cdn.com/S1877065713000663/1-s2.0-S1877065713000663-main.pdf?_tid=56d123e9-4491-40e2-a1c6-8d6b14aaeb07&acdnat=1528285269_bd1ae5a21b555177aa2678fa50197106

https://www.researchgate.net/profile/Luis_Cerezal/publication/273202840_Deep_gluteal_syndrome_anatomy_imaging_and_management_of_sciatic_nerve_entrapments_in_the_subgluteal_space_Skeletal_Radiol_DOI_101007s00256-015-2124-6/links/55afcf0008aeb92399171524/Deep-gluteal-syndrome-anatomy-imaging-and-management-of-sciatic-nerve-entrapments-in-the-subgluteal-space-Skeletal-Radiol-DOI-101007-s00256-015-2124-6.pdf

ÀÌÀü±Û °í°üÀý Ãæµ¹ÁõÈıº¿¡ÀÇÇÑ È°¾×¸·¿° ÁÖ»çÄ¡·á
´ÙÀ½±Û sonographic findings of ECRL, ECRB tendinitis
       
°¡¸ÍÁ¡¸í : ½Ã¸®¾Ç½ºÁ¤ÇüÀÇÇבּ¸È¸
»ç¾÷ÀÚµî·Ï¹øÈ£ : 894-81-00627 | ´ëÇ¥ÀÚ : ÀåµÎÇõ
 
ÁÖ¼Ò : °æ±âµµ ¾çÆò±º ¿ë¹®¸é ¿ë¹®·Î 375-1, 2Ãþ 1È£
TEL : 010-2323-4055
E-mail : cyriax12@naver.com
ÀԱݾȳ»
±¹¹ÎÀºÇà | ½Ã¸®¾Ç½ºÁ¤ÇüÀÇÇבּ¸È¸(ÁÖ)
220401-04-194155