[¼Õ¸ñ] ¿¢½º·¹ÀÌ¿¡¼­ º¸ÀÌÁö ¾Ê´Â ¿ä°ñÀÇ ¼±»ó °ñÀý
ÀÛ¼ºÀÚ : °ü¸®ÀÚ(khu3265442@naver.com) ÀÛ¼ºÀÏ : 2018-03-20 Á¶È¸¼ö : 2991
ÆÄÀÏ÷ºÎ :

¼ºº° / ³ªÀÌ
¿©ÀÚ/74¼¼


ÁÖÁõ»ó
¿ìÃø ¼Õ¸ñÀÇ ÅëÁõ(1ÀÏ)


º´·Â
1ÀÏ Àü ¼ÕÀ» ¤°í ³Ñ¾î Áø ÈÄ ÅëÁõ ¹ß»ý


ÀÌÇÐÀû °Ë»ç
°æ¹ÌÇÑ ¼Õ¸ñÀÇ ºÎÁ¾ÀÌ °üÂûµÇ°í ¿ä°ñ ¸»´Ü¿¡ ±¹¼ÒÀû ¾ÐÅëÀ» º¸ÀÓ.


ÃÊÀ½ÆÄ °Ë»ç
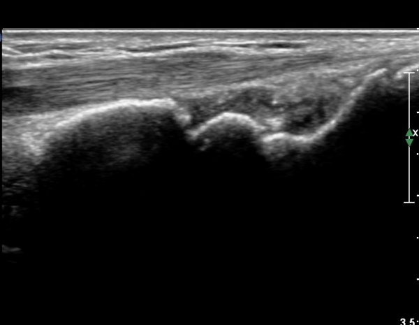
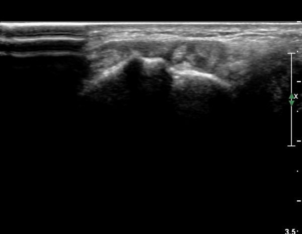
¼Õ¸ñÀÇ Á¾´Ü¸é°Ë»ç¿¡¼­ ¼Õ¸ñ °üÀý³» ºÎÁ¾ÀÌ °üÂûµÊ(»çÁø 1).

ŽÃÍÀÚ¸¦ ¾à°£ ôÃ÷À¸·Î À̵¿ÇÏ´Ï ¿ä°ñ ¸»´Ü¿¡ ÇÇÁú°ñ ¿¬°á¼º ¼Ò½Ç(loss of cotical continuity)ÀÌ °üÂûµÊ(»çÁø 2, 3).

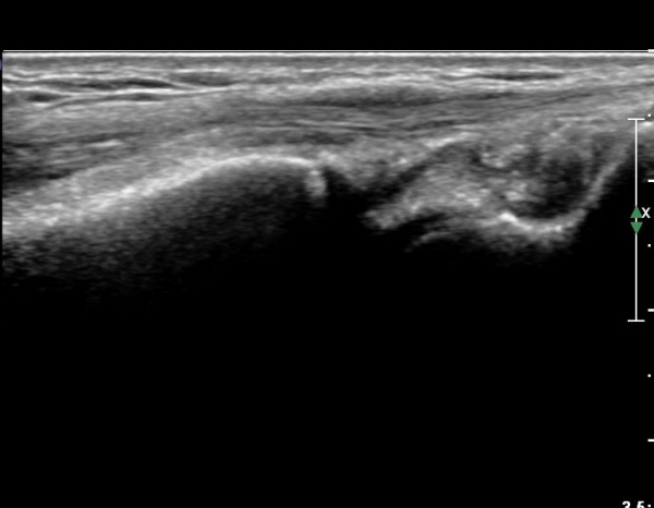
¿ä°ñ Ⱦ´Ü¸é°Ë»ç¿¡¼­ lister's tubercle ̫̿¿¡¼­ ÇÇÁú°ñ ¿¬°á¼º ¼Ò½Ç(loss of cotical continuity)ÀÌ °üÂûµÊ(»çÁø 4).


´Ü¼ø¹æ»ç¼±°Ë»ç
ƯÀÌ ¼Ò°ß ¾øÀ½(÷ºÎ ÆÄÀÏ)


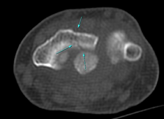
ÀÚ±â°ø¸í°Ë»ç
ÄÄÇ»ÅÍ ÃÔ¿µ: ¿ä°ñ ¿äÃø ¸»´Ü °ñÀý(÷ºÎ ÆÄÀÏ)


Ä¡·á
´Ü»óÁö ºÎ¸ñ °íÁ¤



 


ÃÊÀ½ÆÄ°Ë»ç´Â ¹æ»ç¼±°Ë»ç¿¡¼­ º¸ÀÌÁö ¾Ê´Â ¼ÕÀ̳ª ¹ßÀÇ ¹Ì¼¼°ñÀý Áø´Ü¿¡ ¸Å¿ì À¯¿ëÇÏ´Ù.


ÄÄÇ»ÅÍ ÃÔ¿µ

 

577925910_76904669_2018-03-20+17-41-06.jpg

 

577925910_32ef0f1f_2018-03-20+17-42-07.jpg

 

577925910_49fd4e08_2018-03-20+17-41-55.jpg

 

´Ü¼ø¹æ»ç¼±°Ë»ç

 

577925910_d64b9094_CR140911086.jpg

577925910_14c8b10c_CR140913087.jpg

ÀÌÀü±Û °áÀýÁ¾¿¡ ÀÇÇÑ ¿ä°ñ°üÁõÈıº ÃÊÀ½ÆÄÁø´Ü ¹× ÈíÀÎÄ¡·á
´ÙÀ½±Û ¾î±úÀÇ ÃÊÀ½ÆÄ°Ë»ç
       
°¡¸ÍÁ¡¸í : ½Ã¸®¾Ç½ºÁ¤ÇüÀÇÇבּ¸È¸
»ç¾÷ÀÚµî·Ï¹øÈ£ : 894-81-00627 | ´ëÇ¥ÀÚ : ÀåµÎÇõ
 
ÁÖ¼Ò : °æ±âµµ ¾çÆò±º ¿ë¹®¸é ¿ë¹®·Î 375-1, 2Ãþ 1È£
TEL : 010-2323-4055
E-mail : cyriax12@naver.com
ÀԱݾȳ»
±¹¹ÎÀºÇà | ½Ã¸®¾Ç½ºÁ¤ÇüÀÇÇבּ¸È¸(ÁÖ)
220401-04-194155