[¹ß¸ñ] distal tibiofibular ligament sprain with avulsion fracture of tibia
ÀÛ¼ºÀÚ : °ü¸®ÀÚ(khu3265442@naver.com) ÀÛ¼ºÀÏ : 2017-07-01 Á¶È¸¼ö : 4056
ÆÄÀÏ÷ºÎ :

¼ºº° / ³ªÀÌ
female/ 59 yrs


ÁÖÁõ»ó
pain at left ankle(duration : 6 days)


º´·Â
6 days ago visiting this clinic, sprain ankle while getting off the bus, then she visited emergecy room of unversity hospital, and took x-ray examination with a result with no bony problem. she took medicine and applied ice pack but the pain continued.


ÀÌÇÐÀû °Ë»ç
she revealed limping gait. on examination, there is swelling around ankle with limited ankle motion, localized tenderness at distal tibiofibular ligament and ATF ligament.


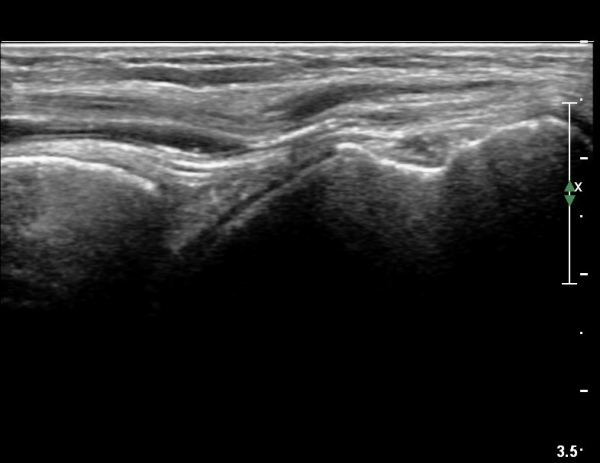
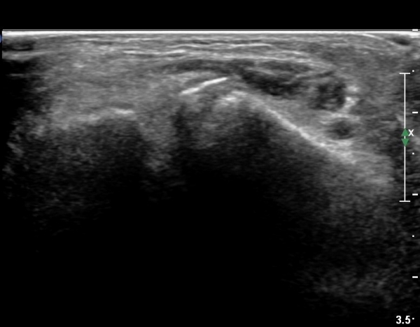
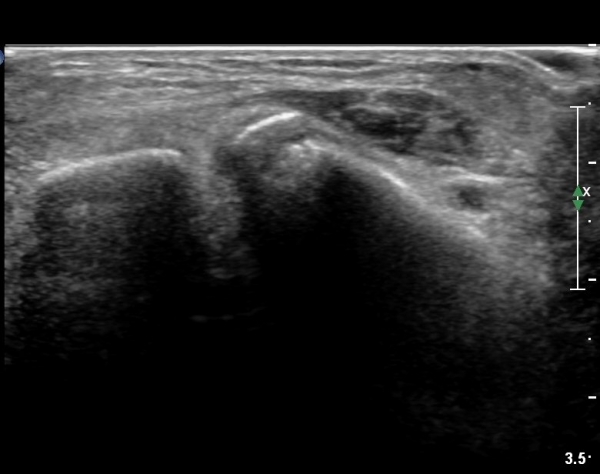
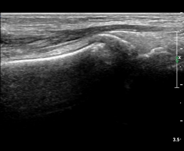
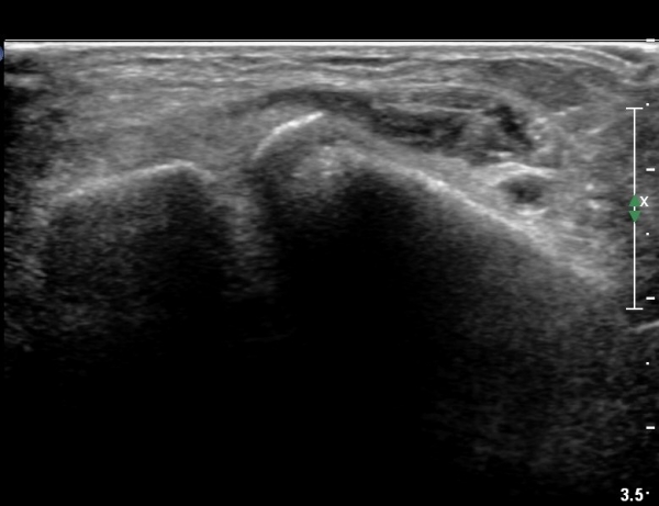
ÃÊÀ½ÆÄ °Ë»ç


´Ü¼ø¹æ»ç¼±°Ë»ç
no check


ÀÚ±â°ø¸í°Ë»ç
CT : avulsion fracture of distal tibia at distal tibiofibulat ligament insertion.


Ä¡·á
short leg splint with crutch gait




ÀÌÀü±Û simultaneosus tear of GCM and achiles tendon
´ÙÀ½±Û sonography of metastic mass at rib
       
°¡¸ÍÁ¡¸í : ½Ã¸®¾Ç½ºÁ¤ÇüÀÇÇבּ¸È¸
»ç¾÷ÀÚµî·Ï¹øÈ£ : 894-81-00627 | ´ëÇ¥ÀÚ : ÀåµÎÇõ
 
ÁÖ¼Ò : °æ±âµµ ¾çÆò±º ¿ë¹®¸é ¿ë¹®·Î 375-1, 2Ãþ 1È£
TEL : 010-2323-4055
E-mail : cyriax12@naver.com
ÀԱݾȳ»
±¹¹ÎÀºÇà | ½Ã¸®¾Ç½ºÁ¤ÇüÀÇÇבּ¸È¸(ÁÖ)
220401-04-194155