[̧̫] sonography of metastic mass at rib
ÀÛ¼ºÀÚ : °ü¸®ÀÚ(khu3265442@naver.com) ÀÛ¼ºÀÏ : 2017-06-29 Á¶È¸¼ö : 5571
ÆÄÀÏ÷ºÎ :

¼ºº° / ³ªÀÌ
male/56yrs


ÁÖÁõ»ó
pain at left flank(1week)


º´·Â
flank pain after heavy golf practice , pain with deep inspiration or trunk rotation


ÀÌÇÐÀû °Ë»ç
local tenderness left 7th. rib


ÃÊÀ½ÆÄ °Ë»ç
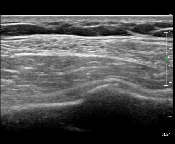
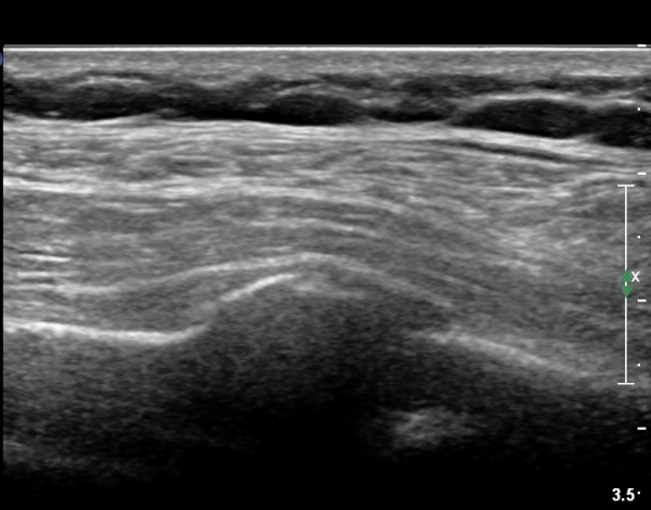
lin longitudinal scan of 7th. rib, appearance of bony mass(protrusion) just like callus(image 1).


on moving of prove a little, there is bony protrusion(osteoblastic lesion) and hypoechoic(osteolytic)  lesion(image 2, 3, 4).


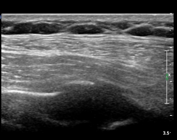
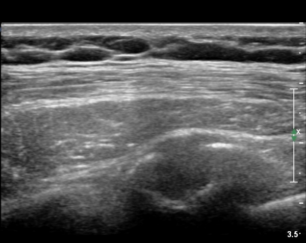
in transverse scan, visualization of osteoblastic mass with central osteolytic lesion(image 5, 6).


´Ü¼ø¹æ»ç¼±°Ë»ç
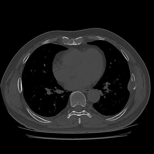
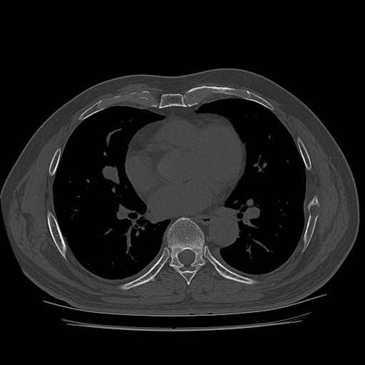
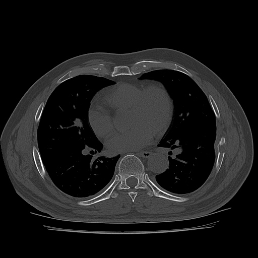
CT ; metastacic mass at rib and adjacent lung


ÀÚ±â°ø¸í°Ë»ç


Ä¡·á
operation



 


Ultrasonography is very useful for diagnosis of minor or linear fracture of rib.
In minor fracture of rib, doctor can see several phase of findings of rib fracture.
In early phase, doctor can only see  soft tissue swelling(case 1) of minor step of of rib cortex(case 2).
Usually  callus formation  take place 2 weeks after of injury, then   doctor can see bony mass(callus) .
If there is no trauma history  or visualization of callus so ealry , doctor consider the possibility of tumors of rib.
As like this case, visualization of osteoblastic lesion and osteolytic lesion in simultaneously  suggests a malignant mass.
     

referance
1. imagingTumors of the rib

https://www.sciencedirect.com/science/article/pii/S2211568413001952


2. High-resolution sonography of the rib: can fracture and metastasis be differentiated?

https://www.ajronline.org/doi/pdf/10.2214/ajr.184.3.01840969


CT image


1893637843_823ab0f0_CT162941144.jpg

1893637843_1a28f778_CT162941145.jpg

1893637843_a950dd50_CT162942146.jpg

1893637843_088e702a_CT162942147.jpg

1893637843_7e09718c_CT162943151.jpg

ÀÌÀü±Û distal tibiofibular ligament sprain with avulsion fracture of tibia
´ÙÀ½±Û ¾î±ú ¿Í¼øÁÖÀ§ ³¶Á¾ ÁÖ»ç ÈíÀÎÄ¡·á(aspiration teratment of paralabral cyst)
       
°¡¸ÍÁ¡¸í : ½Ã¸®¾Ç½ºÁ¤ÇüÀÇÇבּ¸È¸
»ç¾÷ÀÚµî·Ï¹øÈ£ : 894-81-00627 | ´ëÇ¥ÀÚ : ÀåµÎÇõ
 
ÁÖ¼Ò : °æ±âµµ ¾çÆò±º ¿ë¹®¸é ¿ë¹®·Î 375-1, 2Ãþ 1È£
TEL : 010-2323-4055
E-mail : cyriax12@naver.com
ÀԱݾȳ»
±¹¹ÎÀºÇà | ½Ã¸®¾Ç½ºÁ¤ÇüÀÇÇבּ¸È¸(ÁÖ)
220401-04-194155