[¾î±ú] ±Ø»ó°Ç(ȸÀü±Ù°³) ±Þ¼º±â ÆÄ¿­ Áõ»ó ¹× ÃÊÀ½ÆÄ°Ë»ç ¼Ò°ß(sonographic findings and symptom of acute rotator cuff tear)
ÀÛ¼ºÀÚ : °ü¸®ÀÚ(khu3265442@naver.com) ÀÛ¼ºÀÏ : 2014-10-11 Á¶È¸¼ö : 5019
ÆÄÀÏ÷ºÎ : [mix]IMG_20141011_1_12.avi

¼ºº° / ³ªÀÌ
³²ÀÚ/43¼¼(male/43 years)


ÁÖÁõ»ó
¿ìÃø ¾î±úÀÇ ÅëÁõ ¹× ¾È¿Ã¶ó°¨(1ÁÖ)


º´·Â
1ÁÖÀÏ Àü ¾à 3m ³ôÀÌ¿¡¼­ ¶³¾îÁö¸ç ¼ÕÀ» ¤Àº ÈÄ ¾î±úÀÇ ÅëÁõÀÌ ¹ß»ýÇÏ¿©
Ÿ º´¿ø¿¡¼­ ¿¢½º·¹À̰˻翡¼­ ÀÌ»ó ¾ø´Ù°í ÇÏ¿³À¸³ª ÆÈÀ» ¿Ã¸± ¼ö ¾ø¾î ³»¿ø. ÷ºÎ µ¿¿µ»ó Âü°í


ÀÌÇÐÀû °Ë»ç
¼öµ¿Àû ¾î±ú°üÀý¿îµ¿ ¹üÀ§´Â Á¤»ó¹üÀ§, ´Éµ¿Àû ¾î±ú ±¼°ñ 60µµ·Î °¨¼Ò,
ÀúÇ׿¡ ´ëÇÑ ¿ÜÀü ¹× ¿ÜȸÀü ½Ã ÅëÁõ ¹× ±Ù¾àÁõÀ» º¸ÀÓ.


ÃÊÀ½ÆÄ °Ë»ç
ÀÌµÎ¹Ú±Ù°Ç È¾´Ü¸é°Ë»ç¿¡¼­ ƯÀÌ ¼Ò°ß ¾øÀ½
(no specific abnormal findngs with transverse scan of biceps tendon) »çÁø 1, 2


°ß°©ÇÏ±Ù°Ç Á¾´Ü¸é°Ë»ç¿¡¼­ ƯÀÌ ¼Ò°ß ¾øÀ½
(no specific abnormal findngs with longitudinal scan of subscapularis tendon) »çÁø 3


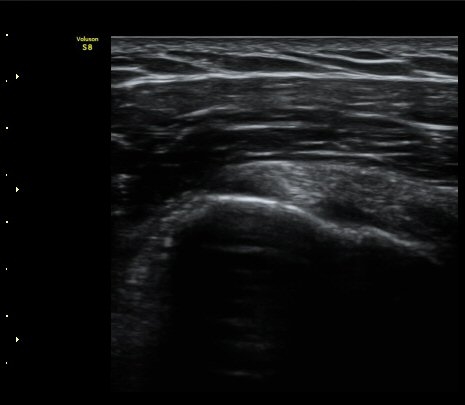
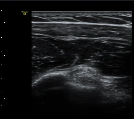
±Ø»ó°Ç Á¾´Ü¸é°Ë»ç¿¡¼­ ´ë°áÀý °Ç ºÎÂøºÎ¿¡ Àú¿¡ÄÚ °Ç °á¼ÕÀÌ °üÂûµÊ
(focal hypoechoic defect of ssupraspinatus tendon at greater tuberosity with

longitudinal scan of subscapularis tendon) »çÁø 4, 5, 6


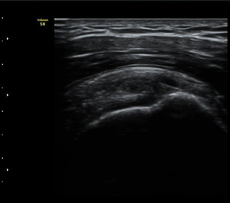
±ÙÀ§ºÎ ±Ø»ó°Ç Ⱦ´Ü¸é°Ë»ç¿¡¼­ ±Ø»ó°Ç ³»ÃøÀÇ ±¹¼ÒÀû Àú¿¡ÄÚ ºÎÁ¾À» º¸ÀÓ
(focal hypoechoic swelling at medial portion of supraspinatus tendon with transverse scan) »çÁø 7


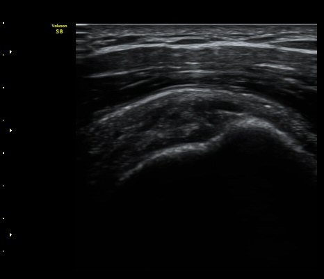
¿øÀ§ºÎ ±Ø»ó°Ç Ⱦ´Ü¸é°Ë»ç¿¡¼­ ´ë°áÀý ºÎÂøºÎ¿¡ ±Ø»ó°Ç ±¹¼ÒÀû °á¼ÕÀ» º¸ÀÓ
(focal hypoechoic defect of supraspinatus tendon at greater tuberosity with transverse scan) »çÁø 8


´Ü¼ø¹æ»ç¼±°Ë»ç

Á¤»ó ¼Ò°ß


ÀÚ±â°ø¸í°Ë»ç

±Ø»ó°Ç ÀüÃþ ÆÄ¿­


Ä¡·á
ÆÈ°ÉÀÌ¿Í Åõ¾à



 


¿Ü»ó ÈÄ ÆÈÀ» ¿Ã¸± ¼ö ¾ø´Â ¿øÀÎÀº ´ÙÀ½°ú °°´Ù.
1) ´Ü¼øÇÑ ÅëÁõ
2) ´ë°áÀý °ñÀý
3) ±Ø»ó°Ç ÆÄ¿­
4) ±Ø»ó°Ç ÆÄ¿­ ¾ÇÈ­
5) ¾×¿Í½Å°æ ¼Õ»ó


À§ÀÇ ¸ðµç °æ¿ì¸¦ ÃÊÀ½ÆÄ°Ë»ç·Î °¨º°Áø´ÜÀÌ °¡´ÉÇÏ´Ù.

±Ø»ó°ÇÀÇ ÆÄ¿­¿¡ ÀÇÇØ ÆÈÀ» ¿Ã¸®Áö ¸øÇÏ´Â °æ¿ì¿¡µµ ´ëºÎºÐ ÀÏÁ¤ ±â°£ Ä¡·á ÈÄ ÆÈÀ» ¿Ã¸± ¼ö ÀÖ´Ù.

±âÁ¸¿¡ ȸÀü±Ù°³ ÆÄ¿­ÀÌ ÀÖ´ø ȯÀÚ¿¡°Ô Ãß°¡ÀûÀÎ ¼Õ»óÀ¸·Î ±¤¹üÀ§ÆÄ¿­ÀÌ ÀϾ °æ¿ì¿¡´Â Ä¡·áÈÄ ¿¡µµ

ÆÈÀ» ¿Ã¸± ¼ö ¾ø´Â °æ¿ìµµ ÀÖÁö¸¸ ÀÌ·± °æ¿ì¿¡µµ ´ëºÎºÐ 2~3°³¿ù Ä¡·á ÈÄ ÆÈÀ» ¿Ã¸® ¼ö ÀÖ´Ù.

º» ȯÀÚÀÇ °æ¿ì¿¡µµ ÆÈÀ» µé ¶§ ±Ø»ó°ÇÀÌ Ãʱ⠱¼°î¸¦ ¸¸µé¾îÁÖÁö ¸øÇÏ¿© ÆÈÀ» ¿Ã¸± ¼ö ¾øÁö¸¸(µ¿¿µ»ó Âü°í)

ÆÈÀ» ´ÙÄ£  3ÁÖ ÈÄ ºÎÅÍ ÆÈÀ» ¿Ã¸± ¼ö ÀÖ¾ú´Ù.

ÀÌÀü±Û ´ë°áÀý °ß¿­°ñÀý ÃÊÀ½ÆÄ¼Ò°ß(sonographic findings of avulsion fracture of greater tuberosity)
´ÙÀ½±Û °¥ºñ »À ¹Ì¼¼ °ñÀý ÃÊÀ½ÆÄ ¼Ò°ß 2
       
°¡¸ÍÁ¡¸í : ½Ã¸®¾Ç½ºÁ¤ÇüÀÇÇבּ¸È¸
»ç¾÷ÀÚµî·Ï¹øÈ£ : 894-81-00627 | ´ëÇ¥ÀÚ : ÀåµÎÇõ
 
ÁÖ¼Ò : °æ±âµµ ¾çÆò±º ¿ë¹®¸é ¿ë¹®·Î 375-1, 2Ãþ 1È£
TEL : 010-2323-4055
E-mail : cyriax12@naver.com
ÀԱݾȳ»
±¹¹ÎÀºÇà | ½Ã¸®¾Ç½ºÁ¤ÇüÀÇÇבּ¸È¸(ÁÖ)
220401-04-194155