[¹ß¸ñ] ³»Ãø ºñº¹±Ù ÆÄ¿­ ÃÊÀ½ÆÄ °Ë»ç ¹× ÀûÀýÇÑ Ä¡·á
ÀÛ¼ºÀÚ : °ü¸®ÀÚ(khu3265442@naver.com) ÀÛ¼ºÀÏ : 2014-07-26 Á¶È¸¼ö : 6327
ÆÄÀÏ÷ºÎ : [mix]IMG_20140722_2_5.avi

¼ºº° / ³ªÀÌ
³²ÀÚ /42¼¼


ÁÖÁõ»ó
¿ÞÂÊ Àå¶íÁö ÅëÁõ(2ÀÏ)


º´·Â
ÀÛ¾÷ Áß ¹°°ÇÀ» ´ç±â´Ù°¡ ÀåµýÁö¿¡ ÅëÁõÀÌ ¹ß»ý ÈÄ °È±â ¾î·Á¿ò


ÀÌÇÐÀû °Ë»ç
³»Ãø ºñº¹±Ù ÈûÁÙ ¿¬°á ºÎÀ§¿¡ ±¹¼ÒÀû ¾ÐÅëÀÌ ¶Ñ·ÈÇϰí, ¹ß¸ñ ½ÅÀü¿¡ Á¦ÇÔÀ» º¸ÀÓ.
ÅëÁõ ¶§¹®¿¡ ¹ß³¡À¸·Î ÆÄÇ༺ º¸ÇàÀ» º¸ÀÓ


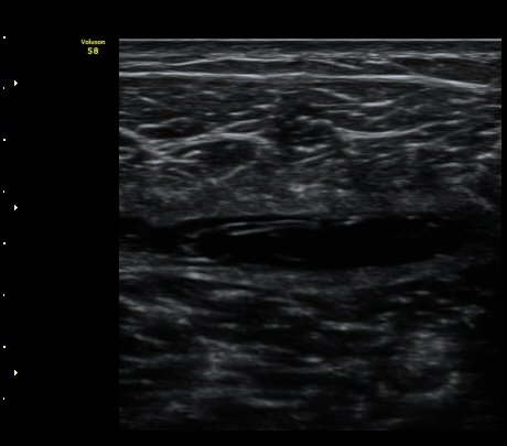
ÃÊÀ½ÆÄ °Ë»ç
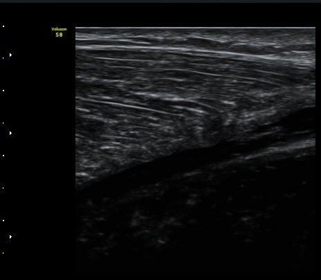
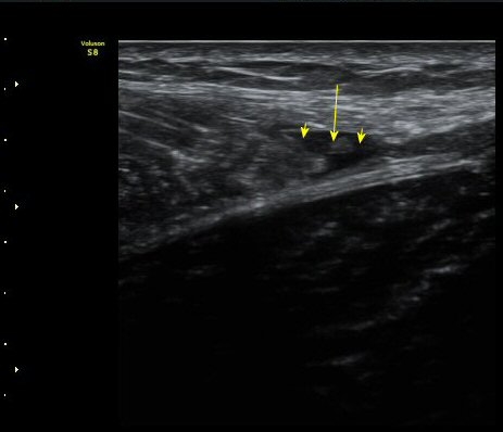
¼ö»ó ÈÄ 2ÀÏ Â°
³»Ãø ºñº¹±Ù Á¾´Ü¸é°Ë»ç¿¡¼­ ±ÙÀ°°ú ÈûÁÙ ÀÌÇà ºÎÀ§¿¡ ÀÛÀº ÆÄ¿­°ú ¼ö¾× Àú·ù, ÆÄ¿­ µÈ
±ÙÀ°ÀÇ ±ÙÀ§ºÎ·Î ´ç°ÜÁüÀÌ °üÂû µÊ(±×¸² 1, 2, 3).

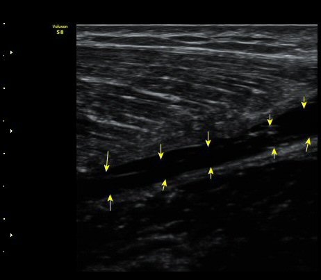
ºñº¹±Ù Ⱦ´Ü¸é°Ë»ç¿¡¼­ ºñº¹±Ù ³»Ãø, °¡Àڹٰ̱ú Á¢ÇÕ ºÎÀ§ÀÇ ÆÄ¿­°ú ¼ö¾× Àú·ù°¡ °üÂûµÊ(±×¸² 4)


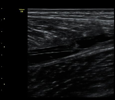
¼ö»ó ÈÄ 2ÁÖ Â°
³»Ãø ºñ·Ï±Ù Á¾´Ü¸é°Ë»ç¿Í Ⱦ´Ü¸é°Ë»ç¿¡¼­ ºñº¹±Ù°ú °¡Àڹ̱ٻçÀÌ¿¡ Ç÷¾×ÀÌ °í¿© ÀÖÀ½
(±×¸² 5, 6, 7).

Ç÷¾× ÈíÀÎ ÈÄ Åº·ÂºØ´ë·Î ¾Ð¹ÚÇÏ¿´´Ù.


¼ö»ó ÈÄ 3ÁÖ Â°
1ÁÖ Àüº¸´Ù´Â ÀûÁö¸¸ ºñº¹±Ù°ú °¡Àڹ̱٠»çÀÌ¿¡ Ç÷¾×ÀÌ °í¿© ÀÖÀ½(±×¸² 8. 9)

ÃÊÀ½ÆÄ À¯µµÇÏ¿¡ Ç÷¾× ÈíÀÎ ÈÄ(µ¿¿µ»ó) Ç÷¾×ÀÌ ¸ðµÎ Á¦°Å µÈ(±×¸² 10) ÈÄ Åº·ÂºØ´ë·Î

¾Ð¹ÚÇÏ¿© µÎ ±ÙÀ°ÀÇ ¾ÐÂøÀ» À¯µµÇÔ.


´Ü¼ø¹æ»ç¼±°Ë»ç


ÀÚ±â°ø¸í°Ë»ç


Ä¡·á
ÃÊÀ½ÆÄ À¯µµÇÏ¿¡ Ç÷¾× Á¦°Å ÈÄ Åº·Â ºØ´ë¸¦ °¨¾Æ Ç÷Á¾ Çü¼º ¿¹¹æ



 


³»Ãø º¹±Ù ÆÄ¿­ ÈÄ ºñº¹±Ù°ú °¡Àڹ̱٠»çÀÌ¿¡ Ç÷¾×ÀÌ °íÀÌ´Â °æ¿ì ÀÌ °ÍÀÌ ±×´ë·Î

¹ÝÈçÀÌ µÇ¸é ź·ÂÀÌ ¾ø´Â ¶ì°¡ Çü¼º µÇ¾î ¹ß¸ñ °üÀý°¡µ¿¹üÀ§¿¡ Á¦ÇÑÀÌ µÈ´Ù.

ÀÌ °ÍÀ» ¿¹¹æÇÏ·Á¸é ÃÊÀ½ÆÄ À¯µµÇÏ¿¡ Ç÷¾× Á¦°Å ÈÄ Åº·Â ´ë·Î ¾Ð¹ÚÇÑ´Ù.

´Ù½Ã Ç÷¾×ÀÌ °íÀ̸é 3~4ȸ ¹Ýº¹ÇÏ¸é µÎ ±ÙÀ° »çÀÌ¿¡ ºñź·ÂÀûÀÎ ¹ÝÈçÀÌ Çü¼ºµÇÁö ¾Ê¾Æ

¹ß¸ñÀÇ ±â´É¿¡ ÁöÀåÀ» ÁÖÁö ¾Ê´Â´Ù.

ÀÌÀü±Û ¿ä°ñ°üÁõÈıº(radial tunnel syndrome) ÃÊÀ½ÆÄ°Ë»ç ¼Ò°ß
´ÙÀ½±Û Á¾°ñ»À µÚ Á¡¾×³¶¿° ÃÊÀ½ÆÄ À¯µµÇÏ ÁÖ»çÄ¡·á(sonoguide injection of retrocalcaneal bursitis)
       
°¡¸ÍÁ¡¸í : ½Ã¸®¾Ç½ºÁ¤ÇüÀÇÇבּ¸È¸
»ç¾÷ÀÚµî·Ï¹øÈ£ : 894-81-00627 | ´ëÇ¥ÀÚ : ÀåµÎÇõ
 
ÁÖ¼Ò : °æ±âµµ ¾çÆò±º ¿ë¹®¸é ¿ë¹®·Î 375-1, 2Ãþ 1È£
TEL : 010-2323-4055
E-mail : cyriax12@naver.com
ÀԱݾȳ»
±¹¹ÎÀºÇà | ½Ã¸®¾Ç½ºÁ¤ÇüÀÇÇבּ¸È¸(ÁÖ)
220401-04-194155