[ÆÈ²ÞÄ¡] À̵ιڱ٠ºÎÂøºÎ °ÇÃÊ¿°
ÀÛ¼ºÀÚ : °ü¸®ÀÚ(khu3265442@naver.com) ÀÛ¼ºÀÏ : 2014-05-20 Á¶È¸¼ö : 4121
ÆÄÀÏ÷ºÎ :

¼ºº° / ³ªÀÌ
³²ÀÚ/47¼¼


ÁÖÁõ»ó
ÁÂÃø ÆÈ²ÞÄ¡ ¾ÕÂÊ ÅëÁõ(ÇÑ´Þ)


º´·Â
¹Ýº¹ÀûÀ¸·Î ¹°°ÇÀ» µå´Â ÀÛ¾÷À» ÇÏ´Ñ È¯ÀÚ´Â ¿Ü»ó ¾øÀÌ ÇÑ´ÞÀüºÎÅÍ ÆÈ²ÞÄ¡ ¾ÕÂÊÀÌ ¾ÆÆÍÀ¸´Ï
Ä¡·á ¾øÀÌ Áö³»´Ù°¡ Áõ»óÀÌ ¿À·¡ Áö¼ÓµÇ¾î ³»¿ø


ÀÌÇÐÀû °Ë»ç
°üÀý°¡µ¿¹üÀ§´Â Á¤»ó, ¿Ü»ó°ú¿Ü ³»»ó°ú¿¡ ¾ÐÅëÀº ¶Ñ·ÈÇÏÁö ¾ÊÀ½.
ÀúÇ׿¡ ´ëÇÑ ÆÈ²ÞÄ¡ ±¼°î°ú Àü¿ÍºÎ ȸ³» ½Ã ÅëÁõÀ» º¸ÀÓ. ¼Õ¸ñ ½ÅÀü°ú ±¼°î ½Ã ÅëÁõÀº º¸ÀÌÁö ¾ÊÀ½


ÃÊÀ½ÆÄ °Ë»ç
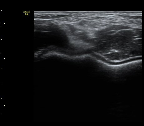
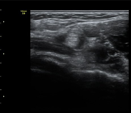
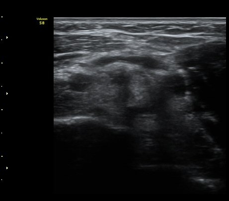
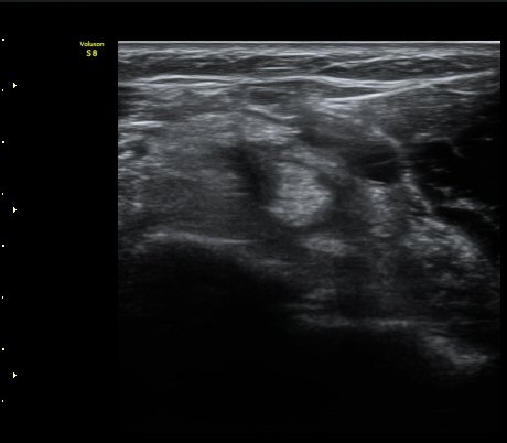
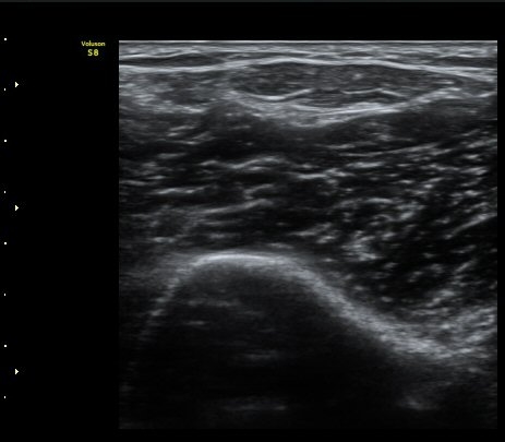
ÆÈ²ÞÄ¡ ¾Õ Ⱦ´Ü¸é°Ë»ç¿¡¼­ À̵ιڱÙÀÌ ÈûÁÙ·Î ÀÌÇàµÇ´Â °ÍÀÌ °üÂûµÈ´Ù(±×¸² 1, 2).

ŽÃËÀÚ¸¦ Á¶±Ý ¸»´ÜÀ¸·Î À̵¿ÇÏ´Ï À̵ιڱ٠ÈûÁÙÀÌ ¶Ñ·ÈÇÏ°Ô °üÂûµÇ°í ÇÔÁÙ ÁÖÀ§¿¡
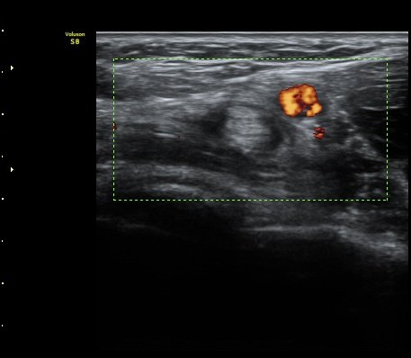
¼ö¾×Àú·ù°¡  º¸ÀδÙ(±×¸² 3, 4, 5, 6)

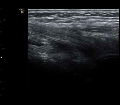
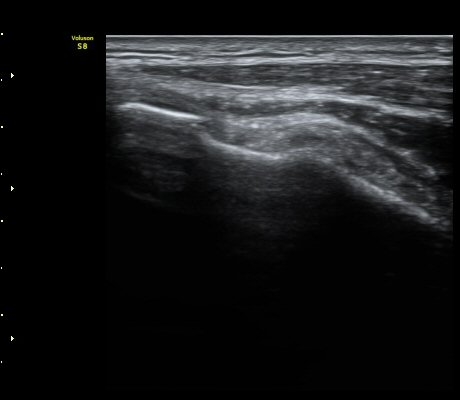
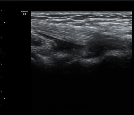
À̵ιڱ٠ÈûÁÙ Á¾´Ü¸é°Ë»ç¿¡¼­ ÈûÁÙÀÌ Àú¿¡ÄÚ°í °üÂûµÇ°í ÈûÁÙ ÁÖº¯ÀÇ ¼ö¾×Àú·ù°¡

¾Ö¸ÅÇÏ°Ô °üÂûµÈ´Ù(±×¸² 7). ŽÃËÀÚ ±ÙÀ§ºÎ¸¦ ÇǺÎÂÊÀ¸·Î ´©¸£´Ï ÈûÁÙÀÌ °í¿¡ÄÚ·Î

°üÂûµÇ°í ¼ö¾×Àú·ùµµ ¶Ñ·ÈÇÏ´Ù(±×¸² 8).

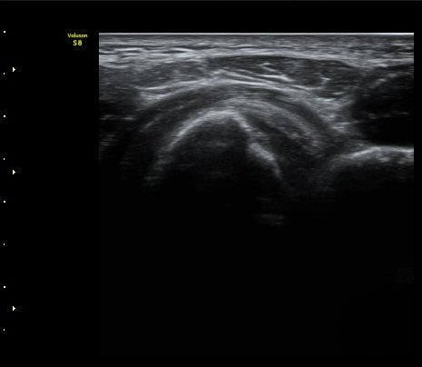
ÆÈ²ÞÄ¡ µÚÂÊ °üÀý¸éÀ¸·ÎºÎÅÍ 2.5cm ¾Æ·¡¿¡¼­ ¿ä°ñ°ü°ú ô°ñ °æ°èºÎ¸¦ Ⱦ´Ü¸éÀ¸·Î

°Ë»çÇÏ´Ï ¿ä°ñµÎ¿¡ ºÎÂøµÈ À̵ιڱ٠ÈûÁÙÀÌ °üÂûµÈ´Ù(±×¸² 9). Á¾´Ü¸é°Ë»ç¿¡¼­µµ

À̵ιڱ٠ÈûÁÙ°ú ¿ä°ñµÎ°¡ ¶Ñ·ÈÈ÷ °üÂûµÈ´Ù(±×¸² 10).


´Ü¼ø¹æ»ç¼±°Ë»ç
ÀÌ»ó ¼Ò°ß ¾øÀ½


ÀÚ±â°ø¸í°Ë»ç
½ÃÇàÇÏÁö ¾ÊÀ½


Ä¡·á
¹°¸®Ä¡·á¿Í ¾à¹°Ä¡·á¸¦ ½ÃÇàÇÏ¿´°í °æ°ú¿¡ µû¶ó ÃÊÀ½ÆÄÀ¯µµÇÏ ÁÖ»çÄ¡·á ½ÃÇà ¿¹Á¤



 


ÃÊÀ½ÆÄ°Ë»ç´Â À̵ιڱٺÎÂøºÎ °Ç¿° Áø´Ü¿¡ ¸Å¿ì À¯¿ëÇÏ´Ù.

À̵ιڱ٠ºÎÂøºÎ °Ç¿° ½Ã Áֻ縦 ÆÈ²ÞÄ¡ µÚ ¾Æ·¡¿¡¼­ ½ÃÇàÇ϶ó´Â
Dr. Cyriax ÀÇ À§´ëÇÑ °¡¸£Ä§À» È®ÀÎÇÏ´Â ¼Ò°ßÀÌ´Ù.

ÀÌÀü±Û ¿­»ó ÈÄ ¹ß»ýÇÑ ¿ä°ñ½Å°æ ¸»´Ü °¨°¢½Å°æ ºÐÁö º´Áõ
´ÙÀ½±Û ³¶Á¾¿¡ ÀÇÇÑ ¿ä°ñ½Å°æ Èİñ°£½Å°æ ºÐÁö º´Áõ
       
°¡¸ÍÁ¡¸í : ½Ã¸®¾Ç½ºÁ¤ÇüÀÇÇבּ¸È¸
»ç¾÷ÀÚµî·Ï¹øÈ£ : 894-81-00627 | ´ëÇ¥ÀÚ : ÀåµÎÇõ
 
ÁÖ¼Ò : °æ±âµµ ¾çÆò±º ¿ë¹®¸é ¿ë¹®·Î 375-1, 2Ãþ 1È£
TEL : 010-2323-4055
E-mail : cyriax12@naver.com
ÀԱݾȳ»
±¹¹ÎÀºÇà | ½Ã¸®¾Ç½ºÁ¤ÇüÀÇÇבּ¸È¸(ÁÖ)
220401-04-194155