[¼Õ¸ñ] ÀÚÀü°Å Ÿ°í ¹ß»ýÇÑ °¥°í¸®»À °í¸® °ñÀý¿¡ ÀÇÇÑ Ã´°ñ½Å°æ º´ÁõÀÇ ÃÊÀ½ÆÄ °Ë»ç ¼Ò°ß
ÀÛ¼ºÀÚ : °ü¸®ÀÚ(khu3265442@naver.com) ÀÛ¼ºÀÏ : 2014-05-16 Á¶È¸¼ö : 10355
ÆÄÀÏ÷ºÎ :

¼ºº° / ³ªÀÌ
³²ÀÚ/47


ÁÖÁõ»ó
ÁÂÃø ¼Õ¿¡ ÈûÀÌ ¾ø´Ù (1´Þ)


º´·Â
ÇÑ´Þ Àü ÀÚÀü°Å Ÿ°í °¡´Ù°¡ ±Þºê·¹ÀÌÅ© Á¦µ¿ ÈÄ ¼ÕÀÇ ÅëÁõÀÌ ÀÖÀº ÈÄ ÈûÀÌ ¾È°£´Ù.


ÀÌÇÐÀû °Ë»ç
µÎ¹øÂ° ¼Õ°¡¶ô ¿ÜÀü T·Î ¾àÈ­, 5¹øÂ° ¿ÜÀüÀº G, °¨°¢ ÀÌ»óÀº º¸ÀÌÁö ¾ÊÀ½.


ÃÊÀ½ÆÄ °Ë»ç
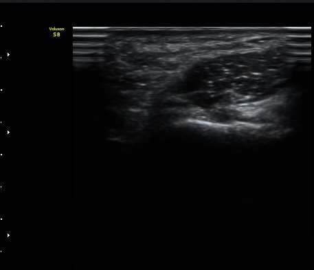
Guyon's canal ±ÙÀ§ºÎ ¿ÜÃø¿¡¼­ ô°ñ½Å°æ ½ÉºÎ°¡Áö(DUN)°¡ °üÂûµÇ°í ½ÉºÎ¿¡ °¥°í¸®»À(hamate)

°í¸®(hook)°¡ Èñ¹ÌÇÏ°Ô °üÂûµÈ´Ù(±×¸²1)

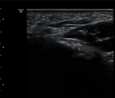
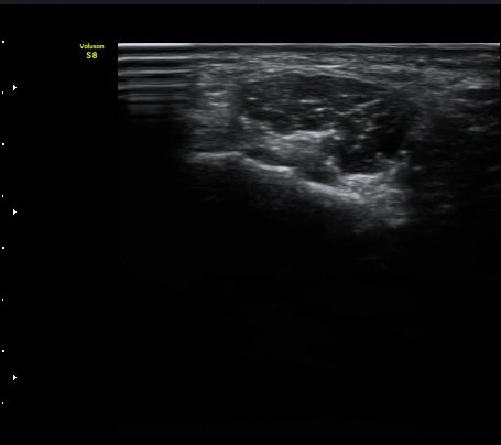
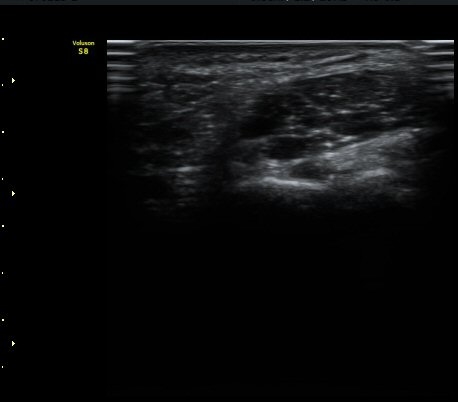
ŽÃËÀÚ¸¦ Á» ´õ ³»ÃøÀ¸·Î °æ»ç¸¦ ÁÖ¾î °¥°í¸®»À °í¸®ÀÇ Ãø¸éºÎ¸¦ °üÂûÇÏ´Ï °¥°í¸®»À °í¸®ÀÇ

ÇÇÁú°ñ ¿¬°á¼º ¼Ò½Ç(°ñÀý)°ú ±¹¼ÒÀû Àú¿¡ÄÚ ºÎÁ¾ÀÌ °üÂûµÇ°í Àú¿¡ÄÚ ºÎÁ¾ ¿ÜÃø¿¡¼­ ö°ñ½Å°æ

½ÉºÎ°¡Áö°¡ °üÂûµÈ´Ù(±×¸² 2, 3, 4,).


´Ü¼ø¹æ»ç¼±°Ë»ç
½ÃÇàÇÏÁö ¾ÊÀ½


ÀÚ±â°ø¸í°Ë»ç
±ÙÀüµµ°Ë»ç : ô°ñ½Å°æ ½ÉºÎ°¡Áö Áߵ º´Áõ


Ä¡·á
ÀÇ·Ú º´¿øÀ¸·Î À̼Û



 


ÀÚÀü°Å¸¦ Àå½Ã°£  Ÿ´Â °æ¿ì ƯÈ÷ ¼Õ¸ñÀ» °ú½ÅÀü Çϰí Ÿ´Â °æ¿ì Guyon's canal¿¡¼­

ô°ñ½Å°æÀÌ ¾Ð¹Ú ¹Þ¾Æ 4,5 ¼Õ°¡¶ô Àú¸²Áõ µî °¨°¢ ÀÌ»ó°ú ¼Õ°¡¶ôÀÇ ±Ù·Â °¨¼Ò°¡ ¹ß»ýÇÒ ¼ö ÀÖ´Ù.

Guyon's canal ¸»´ÜºÎ¿¡¼­ ½Å°æÀÌ ¾Ð¹Ú ¹Þ´Â °æ¿ì¿¡´Â ºÎÀ§¿¡ µû¶ó ½ÉºÎ °¡Áö¿Í Ç¥Ãþ°¡Áö

(superficial sensory branch)°¡ ¼±ÅÃÀûÀ¸·Î ¾Ð¹ÚÀ» ¹Þ¾Æ °¨°¢ÀÌ»ó°ú ±Ù·Â°¨¼Ò°¡ ´Üµ¶ÀûÀ¸·Î ¹ß»ý

ÇÒ ¼ö ÀÖ´Ù.

º» Áõ·ÊÀÇ °æ¿ì ÀÚÀü°ÅÀÇ ±ÞÁ¦µ¿¿¡ ÀÇÇØ °¥°í¸®»À °í¸®ÀÇ ¼±»ó°ñÀýÀÌ ¹ß»ýÇϰí ÀÌ¿¡ µû¸¥

ºÎÁ¾ µîÀ¸·Î ô°ñ½Å°æ ½ÉºÎ°¡ÁöÀÇ ¾Ð¹ÚÀÌ ¹ß»ýÇÏ¿© °¨°¢ÀÌ»ó ¾øÀÌ ±Ù·Â°¨¼Ò¸¸ ¹ß»ýÇÑ °æ¿ìÀÌ´Ù.


32697874_ea1c2d7d_Guyon-canal.jpg

ÀÌÀü±Û ³¶Á¾¿¡ ÀÇÇÑ ¿ä°ñ½Å°æ Èİñ°£½Å°æ ºÐÁö º´Áõ
´ÙÀ½±Û ±Þ¼º ¼®È¸È­¼º Á¡¾×³¶¿° ÃÊÀ½ÆÄ°Ë»ç ¹× ÁÖ»çÄ¡·á
       
°¡¸ÍÁ¡¸í : ½Ã¸®¾Ç½ºÁ¤ÇüÀÇÇבּ¸È¸
»ç¾÷ÀÚµî·Ï¹øÈ£ : 894-81-00627 | ´ëÇ¥ÀÚ : ÀåµÎÇõ
 
ÁÖ¼Ò : °æ±âµµ ¾çÆò±º ¿ë¹®¸é ¿ë¹®·Î 375-1, 2Ãþ 1È£
TEL : 010-2323-4055
E-mail : cyriax12@naver.com
ÀԱݾȳ»
±¹¹ÎÀºÇà | ½Ã¸®¾Ç½ºÁ¤ÇüÀÇÇבּ¸È¸(ÁÖ)
220401-04-194155