[ÆÈ²ÞÄ¡] ¹æ»ç¼± °Ë»ç¿¡¼­ º¸ÀÌÁö ¾Ê´Â ÆÈ²ÞÄ¡ ¿ä°ñµÎ Á¾Ãà¸é °ñÀý
ÀÛ¼ºÀÚ : °ü¸®ÀÚ(khu3265442@naver.com) ÀÛ¼ºÀÏ : 2013-11-19 Á¶È¸¼ö : 5476
ÆÄÀÏ÷ºÎ : IMG_20131111_1_13.avi

¼ºº° / ³ªÀÌ
³²ÀÚ/ 46¼¼


ÁÖÁõ»ó
¿ìÃø ÆÈ²ÞÄ¡ ÅëÁõ(1ÀÏ)


º´·Â
ÀÚÀü°Å Ÿ´Ù ³Ñ¾îÁø ÈÄ ¹ß»ýÇÑ ¿ìÃø ÆÈ²ÞÄ¡¿Í ÁÂÃø ¼Õ¸ñÀÇ ÅëÁõÀ» ÁÖ Áõ»óÀ¸·Î ³»¿øÇÔ. ÆÎÀ» µ¹¸± ¶§ ÆÊ²ÞÄ¡ ÅëÁõÀÌ ¹ß»ýÇÔ.


ÀÌÇÐÀû °Ë»ç
ÆÈ²ÞÄ¡ °üÀý°¡µ¿¹üÀ§´Â °ÅÀÇ Á¤»ó ¼Ò°ßÀ» º¸ÀÓ. ¼öµ¿ÀûÀΠȸ³», ȸ¿Ü ½Ã ÅëÁõÀÌ ¹ß»ýÇÔ. ÀúÇװ˻翡¼­ ƯÀÌ ¼Ò°ßÀ» º¸ÀÌÁö ¾ÊÀ½.mf


ÃÊÀ½ÆÄ °Ë»ç
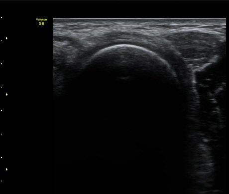
ÆÈ²ÞÄ¡  ¾ÕÂÊ¿¡¼­ ½ÃÇàÇÑ ¿ä°ñµÎ Á¾´Ü¸é°Ë»ç¿¡¼­ ƯÀÌ ¼Ò°ßÀ» º¸ÀÌÁö ¾ÊÀ½(±×¸² 1).

ÆÈ²ÞÄ¡ ¿ÜÃø¿¡¼­ ½ÃÇàÇÑ ¿ä°ñµÎ Á¾´Ü¸é°Ë»ç¿¡¼­ ¿ä°ñµÎ¿Í ¿ä°ñ °æ°èºÎ°¡ ¿¹°¢À¸·Î ÀÌÇàµÇ°í
°æ°èºÎ¿¡ ¼Ò·®ÀÇ ¼ö¾×Àú·ù°¡ °üÂûµÊ(±×¸² 2)

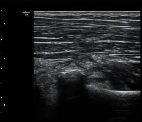
ÆÈ²ÞÄ¡ ³»Ãø¿¡¼­ ½ÃÇàÇÑ ¿ä°ñµÎ Á¾´Ü¸é°Ë»ç¿¡¼­ ¿ä°ñµÎ ÇÇÁú°ñÀÇ ºÒ±ÔÄ¥º¯È­(irregularity)°¡
°üÂûµÇ¾î ¼Õ»óÀÌ ÃßÁ¤µÊ(±×¸² 3)

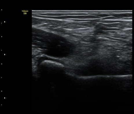
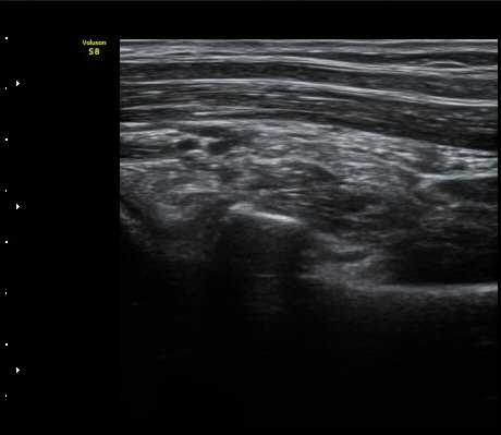
¿ä°ñµÎ Ⱦ´Ü¸é°Ë»ç¿¡¼­ ƯÀÌ ¼Ò°ßÀ» º¸ÀÌÁö ¾ÊÀ½(±×¸² 4)

¾Æ·§ÆÈÀ» µ¹¸®¸é¼­ ¿ä°ñµÎ Ⱦ´Ü¸é°Ë»ç ½Ã ¿ä°ñµÎ ÇÇÁú°ñ ¿¬°á¼º ¼Ò½ÇÀÌ °üÂûµÊ(±×¸² 5)

¾Æ·§ÆÈ µ¹¸®¸é¼­ ¿ä°ñµÎÀÇ ¿òÁ÷ÀÓ°ú °ñÀý¼± ³ëÃâÀÌ µ¿¿µ»ó¿¡¼­ ¶Ñ·ÈÇÔ(÷ºÎ ÆÄÀÏ).


´Ü¼ø¹æ»ç¼±°Ë»ç
ƯÀÌ ¼Ò°ß ¾øÀ½.


ÀÚ±â°ø¸í°Ë»ç
°ËÇ»ÅÍ ÃÔ¿µ : ¿ä°ñ µÎ ÀåÃà¸é °ñÀý( ±×¸² 6. 7)


Ä¡·á
Àå»óÁö ºÎ¸ñ °íÁ¤



 

 


¿ä°ñµÎ ¹Ì¼¼°ñÀýÀ» ¾Ï½ÃÇÏ´Â ÃÊÀ½ÆÄ ¼Ò°ß(ÃÖÀçÀÍ ¿øÀåÀÇ ÁÖ°üÀûÀÎ Àǰß)

1) ¿ä°ñµÎ¿Í ¿ä°ñ °æ°èºÎÀÇ ¿¹°¢À¸·Î ÀÌÇà

2) ¿ä°ñµÎ ÇÇÁú°ñÀÇ ºÒ±ÔÄ¥º¯È­

3) ¿ä°ñµÎ¿Í ¿ä°ñ °æ°èºÎ¿¡ ¼ö¾× Àú·ù

4) ¾Æ·§ÆÈÀ» µ¹¸®¸é¼­ ¿ä°ñµÎ Àüü¸¦ È®ÀÎÇÏ¿© ¿ä°ñµÎ ÀåÃà¸é°ñÀý È®ÀÎ

ÀÌÀü±Û ÃÊÀ½ÆÄ¸¦ ÀÌ¿ëÇÑ °¥°í¸®»À(hook of hamate) °ñÀý
´ÙÀ½±Û Àü°ÅºñÀδë, ºñ°ñÁ¾°ñÀÎ´ë ÆÄ¿­ ÃÊÀ½ÆÄ°Ë»ç µ¿¿µ»ó
       
°¡¸ÍÁ¡¸í : ½Ã¸®¾Ç½ºÁ¤ÇüÀÇÇבּ¸È¸
»ç¾÷ÀÚµî·Ï¹øÈ£ : 894-81-00627 | ´ëÇ¥ÀÚ : ÀåµÎÇõ
 
ÁÖ¼Ò : °æ±âµµ ¾çÆò±º ¿ë¹®¸é ¿ë¹®·Î 375-1, 2Ãþ 1È£
TEL : 010-2323-4055
E-mail : cyriax12@naver.com
ÀԱݾȳ»
±¹¹ÎÀºÇà | ½Ã¸®¾Ç½ºÁ¤ÇüÀÇÇבּ¸È¸(ÁÖ)
220401-04-194155