[¼Õ¸ñ] ÃÊÀ½ÆÄ¿¡ ÀÇÇÑ ÁÖ»ó°ñ °ñÀý Áø´Ü
ÀÛ¼ºÀÚ : °ü¸®ÀÚ(khu3265442@naver.com) ÀÛ¼ºÀÏ : 2013-09-02 Á¶È¸¼ö : 7038
ÆÄÀÏ÷ºÎ :

¼ºº° / ³ªÀÌ
³²ÀÚ/32¼¼


ÁÖÁõ»ó
¿ìÃø ¼Õ¸ñÀÇ ÅëÁõ


º´·Â
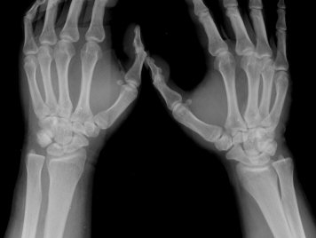
±³Åë »ç°í ÈÄ Å¸º´¿ø¿¡¼­ ¿¢½º·¹ÀÌ Âû¿µÇÏ°í ¿°Á Áø´ÜÇÏ¿¡ Àü¿øµÊ. 3ÁÖ ÈÄ ÅëÁõÀÌ °è¼ÓµÇ¾î ÃÊÁø º´¿ø¿¡¼­ Áֻ縦 ¸Â¾ÒÀ¸³ª Áõ»ó È£Àü ¾ø¾î ´Ù½Ã ³»¿ø


ÀÌÇÐÀû °Ë»ç
¼Õ¸ñÀÇ °üÀý °¡µ¿ ¹üÀ§°¡ °æ¹ÌÇÏ°Ô Á¦Çѵǰí ÁÖ»ó°ñ ºÎÀ§ ¾ÐÅëÀ» º¸ÀÓ


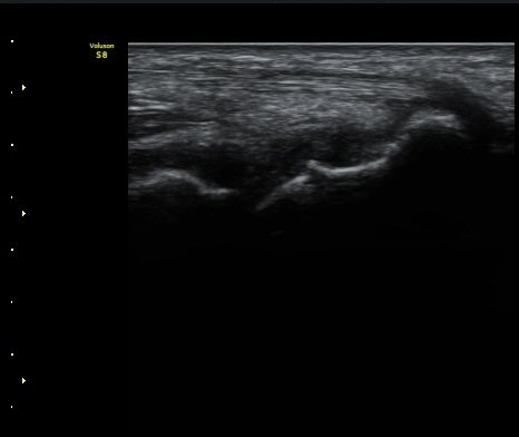
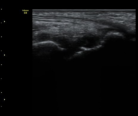
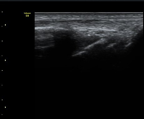
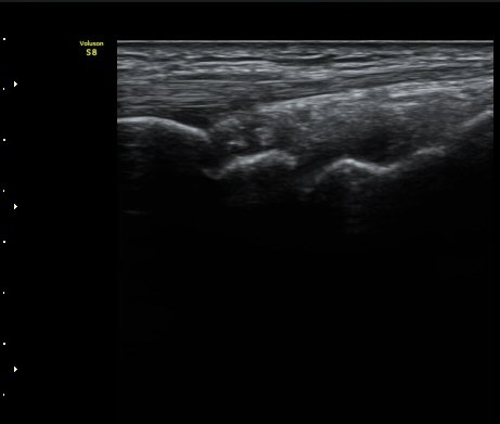
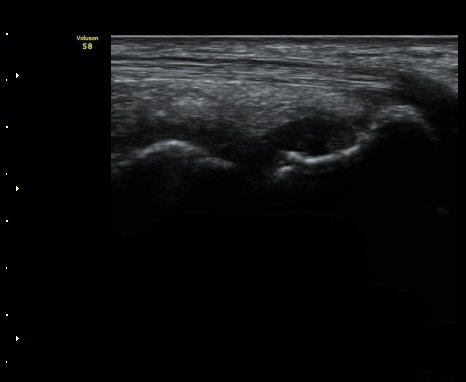
ÃÊÀ½ÆÄ °Ë»ç
¼Õ¸ñÀÇ Á¾´Ü

 


ÁÖ»ó°ñ ¼±»ó°ñÀýÀº ´Ü¼ø¹æ»ç¼± ÃÔ¿µ ½Ã È®ÀεÇÁö ¾ÊÀº °æ¿ì°¡ ¸¹Àºµ¥ ÀÌ ¶§ ÃÊÀ½ÆÄ
°Ë»ç°¡ ÁÖ»ó°ñ °ñÀý Áø´Ü¿¡ ¸Å¿ì À¯¿ëÇÏ´Ù. ±×·¯¹Ç·Î ¼Õ¸ñ ´ÙÄ£ ÈÄ Áö¼ÓÀûÀÎ ÅëÁõÀ»
È£¼ÒÇϰí ÁÖ»ó°ñ ºÎÀ§ ¾ÐÅëÀ» º¸ÀÌ´Â °æ¿ì ÃÊÀ½ÆÄ°Ë»ç¸¦ ½ÃÇàÇÏ¿© ÁÖ»ó°ñ °ñÀý ¿©ºÎ¸¦
È®ÀÎÇØ¾ß ÇÑ´Ù.

ÃÊÀ½ÆÄ°Ë»ç¸¦ ½ÃÇàÇÒ ¼ö ¾ø´Â °æ¿ì´Â ÄÄÇ»ÅÍ ÃÔ¿µ°Ë»ç¸¦ ÁÖ»ó°ñ °ñÀýÀ» È®ÁøÇÒ ¼ö ÀÖ´Ù. 
 

°ü·Ã ³í¹®

1. http://medicaljournalofcairouniversity.net/index/images/pdf/2009/December/19.pdf

2. http://radiology.rsna.org/content/220/1/231.long

ÀÌÀü±Û ÆÈ²ÞÄ¡ ³»ÃøºÎÀÎ´ë ÆÄ¿­ ¹× °ß¿­°ñÀý
´ÙÀ½±Û Äá¾Ë°¥°í¸®(pisohamate)°üÀý¿¡¼­ À¯·¡µÈ °áÀýÁ¾¿¡ ÀÇÇÑ Ã´°ñ½Å°æ º´Áõ
       
°¡¸ÍÁ¡¸í : ½Ã¸®¾Ç½ºÁ¤ÇüÀÇÇבּ¸È¸
»ç¾÷ÀÚµî·Ï¹øÈ£ : 894-81-00627 | ´ëÇ¥ÀÚ : ÀåµÎÇõ
 
ÁÖ¼Ò : °æ±âµµ ¾çÆò±º ¿ë¹®¸é ¿ë¹®·Î 375-1, 2Ãþ 1È£
TEL : 010-2323-4055
E-mail : cyriax12@naver.com
ÀԱݾȳ»
±¹¹ÎÀºÇà | ½Ã¸®¾Ç½ºÁ¤ÇüÀÇÇבּ¸È¸(ÁÖ)
220401-04-194155