[¹ß¸ñ] °ß¿­°ñÀýÀ» µ¿¹ÝÇÑ Àü¹æ°Å°ñºñ°ñÀδëÀÇ ÃÊÀ½ÆÄ°Ë»ç, °ßÀÎ°Ë»ç ¹× Ä¡·á 2
ÀÛ¼ºÀÚ : °ü¸®ÀÚ(khu3265442@naver.com) ÀÛ¼ºÀÏ : 2013-05-06 Á¶È¸¼ö : 4064
ÆÄÀÏ÷ºÎ : [mix]IMG_20130503_1_7.avi [mix]IMG_20130430_1_8.avi

¼ºº° / ³ªÀÌ
¿©ÀÚ/9¼¼


ÁÖÁõ»ó
¿ìÃø ¹ß¸ñÀÇ ÅëÁõ(±ÝÀÏ)


º´·Â
űǵµ ÇÏ´Ù°¡ ¹ß¸ñÀ» »µ¾î ³»¿ø


ÀÌÇÐÀû °Ë»ç
¹ß¸ñÀÇ ºÎÁ¾°ú ¿Ü°ú ºÎÀ§ ±¹¼ÒÀû ¾ÐÅë


ÃÊÀ½ÆÄ °Ë»ç
¹ß¸ñ°üÀý Á¾´Ü¸é°Ë»ç¿¡¼­ °üÀý³» ¼ö¾×Àú·ù°¡ °üÂûµÈ´Ù(±×¸² 1).
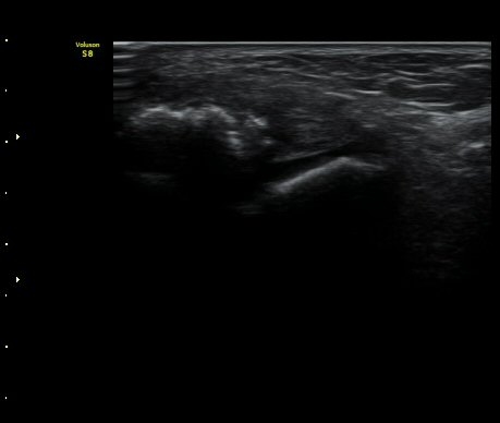
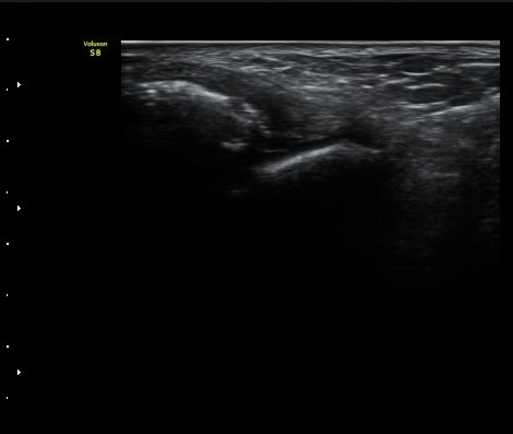
Àü°Å°ñºñ°ñÀδë Á¾´Ü¸é°Ë»ç»ó Àδë ÀδëÀÇ Àú¿¡ÄÚ ºÎÁ¾°ú ºñ°ñ
ºÎÂøºÎ ¹Ì¼¼ °ß¿­°ñÀýÀÌ °üÂûµÈ´Ù(±×¸² 3, 4).

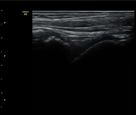
ÃÊÀ½ÆÄÅõ½ÃÇÏ ºÎÇϰ˻翡¼­ ºñ°ñ°ú °ß¿­°ñÀý °ñÆí»çÀÌ¿Í ºñ°ñ°ú °Å°ñ »çÀ̰¡ ¹ú¾îÁø´Ù
(樨毢 1)

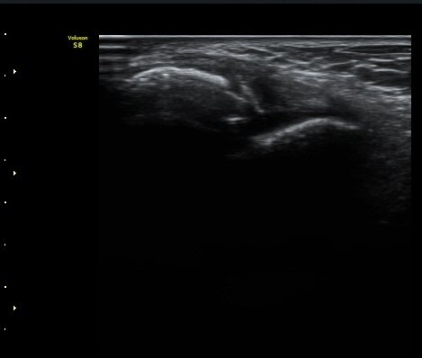
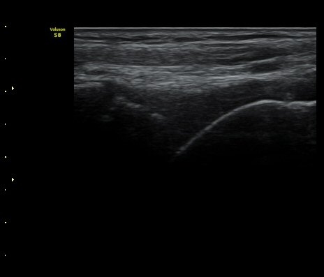
3ÁÖ ÈÄ ÃßÀû°Ë»ç»ó °üÀý³» ºÎÁ¾ÀÌ ¼Ò½ÇµÇ°í(±×¸² 4). Àü°Å°ñºñ°ñÀδëÀÇ Àú¿¡ÄÚ ºÎÁ¾ÀÌ
°¨¼ÒÇÏ°í °ß¿­°ñÀý °ñÆíÀº ºñ°ñ °¡±îÀÌ À§Ä¡Çϰí ÀÖ´Ù(±×¸² 5, 6).

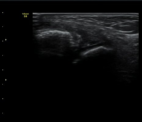
ÃÊÀ½ÆÄ Åõ½ÃÇÏ ºÎÇϰ˻翡¼­ ºñ°ñ°ú ÀδëºÎÂøºÎ¿Í  ºñ°ñ°ú °Å°ñ»çÀ̰¡ ¹ú¾îÁöÁö ¾Ê´Â´Ù
(樨毢 2).


´Ü¼ø¹æ»ç¼±°Ë»ç
ƯÀÌ ¼Ò°ß ¾øÀ½(³»Ãø °æ°ñ°ú °Å°ñ °£°ÝÀÌ 4mm ÀÌ»ó ¹ú¾îÁ® ÀÖÁö ¾ÊÀ½).


ÀÚ±â°ø¸í°Ë»ç


Ä¡·á
4ÁÖ°£ ºÎ¸ñ °íÁ¤



 


±×¸²4) 3ÁÖ ÈÄ ÃßÀû°Ë»ç

±×¸²5) 3ÁÖ ÈÄ ÃßÀû°Ë»ç

±×¸²6) 3ÁÖ ÈÄ ÃßÀû°Ë»ç


ÃÊÀ½ÆÄ°Ë»ç¸¦ ½ÃÇàÇÏ¿© ¹Ì¼¼ÇÑ ºñ°ñÀÇ °ß¿­°ñÀýÀ» Áø´ÜÇϰí ÃÊÀ½ÆÄ Åõ½ÃÇÏ
ºÎÇϰ˻縦 ½ÃÇàÇÏ¿© ºñ°ñ°ú °Å°ñ »çÀÌÀÇ ºÒ¾ÈÁ¤¼ºÀ» È®ÀÎÇϰí
Àû±ØÀûÀÎ Ä¡·á(ÀûÁ¤±â°£ ºÎ¸ñ °íÁ¤)¸¦ ½ÃÇàÇÏ¿© ¹Ù¶÷Á÷ÇÑ °æ°ú¸¦ º¸¿´´Ù.

ÃßÈÄ Àå±â°£ ÃßÀû°Ë»ç¿¡¼­ °ß¿­°ñÀý °ñÆíÀÌ ºñ°ñ°ú À¯ÇÕÇÑ´Ù¸é ÃÖÀûÀÇ Ä¡·á·Î
ÆÇ´ÜÇÒ ¼ö ÀÕ´Ù

ÀÌÀü±Û ȸÀü±Ù°³(±Ø»ó°Ç) ÆÄ¿­ ȯÀÚÀÇ Áõ½ÄÄ¡·á
´ÙÀ½±Û Àü°Å°ñºñ°ñÀδë ÀüÃþ ÆÄ¿­ÀÇ ÃÊÀ½ÆÄ°Ë»ç ¹× ºÎÇϰ˻çÀÇ À¯¿ë¼º
       
°¡¸ÍÁ¡¸í : ½Ã¸®¾Ç½ºÁ¤ÇüÀÇÇבּ¸È¸
»ç¾÷ÀÚµî·Ï¹øÈ£ : 894-81-00627 | ´ëÇ¥ÀÚ : ÀåµÎÇõ
 
ÁÖ¼Ò : °æ±âµµ ¾çÆò±º ¿ë¹®¸é ¿ë¹®·Î 375-1, 2Ãþ 1È£
TEL : 010-2323-4055
E-mail : cyriax12@naver.com
ÀԱݾȳ»
±¹¹ÎÀºÇà | ½Ã¸®¾Ç½ºÁ¤ÇüÀÇÇבּ¸È¸(ÁÖ)
220401-04-194155