[¹ß¸ñ] °ß¿­°ñÀýÀ» µ¿¹ÝÇÑ Àü¹æ°Å°ñºñ°ñÀδëÀÇ ÃÊÀ½ÆÄ°Ë»ç, °ßÀÎ°Ë»ç ¹× Ä¡·á
ÀÛ¼ºÀÚ : °ü¸®ÀÚ(khu3265442@naver.com) ÀÛ¼ºÀÏ : 2013-04-29 Á¶È¸¼ö : 11181
ÆÄÀÏ÷ºÎ : [mix]atl-1.avi [mix]atl-2.avi

¼ºº° / ³ªÀÌ
³²ÀÚ / 16¼¼


ÁÖÁõ»ó
¿ìÃø ¹ß¸ñ ÅëÁõ( 2ÀÏ)


º´·Â
³»¿ø 2ÀÏ Àü ³Ñ¾îÁ® ¹ß¸ñÀÇ ÅëÁõ ¹ß»ý.


ÀÌÇÐÀû °Ë»ç
ÅëÁõ¿¡ ÀÇÇÑ ÆÄÇ༺ º¸ÇàÀ» º¸ÀÓ. ¿Ü»ó°ú Àü¸éÀÇ ºÎÁ¾°ú ±¹¼ÒÀû ¾ÐÅëÀ» º¸ÀÓ. ¹ßÀü¹æ°ßÀÎ°Ë»ç ½Ã ÅëÁõÀ» º¸ÀÓ.


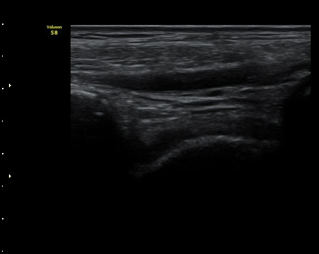
ÃÊÀ½ÆÄ °Ë»ç
ÃÊÀ½ÆÄ °Ë»ç ½Ã ¹ß¸ñ °üÀýÀÇ ¼ö¾×Àú·ù°¡ °üÂûµÊ(±×¸² 1).
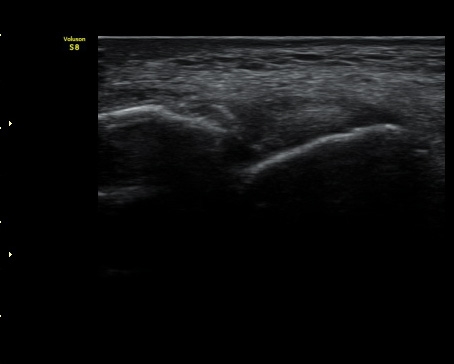
Àü¹æ°Å°ñºñ°ñÀδë Á¾´Ü¸é°Ë»ç¿¡¼­ ¹Ì¼¼ÇÑ ºñ°ñ¿¡¼­ ¹Ú¸®µÈ ¹Ì¼¼ °ñÆí°ú
ÀδëÀÇ Àú¿¡ÄÚ ºÎÁ¾ÀÌ °üÂûµÈ(±×¸² 2).
ÃÊÀ½ÆÄ°¨½ÃÇÏ °Å°ñºñ°ñÀÎ´ë °ßÀΰ˻翡¼­ °ñÆíÀÇ ¹ú¾îÁüÀÌ °üÂûµÊ(µ¿¿µ»ó 1).

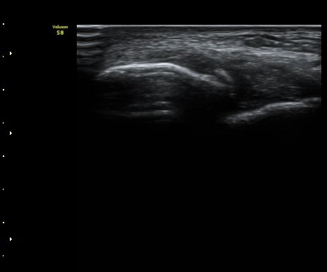
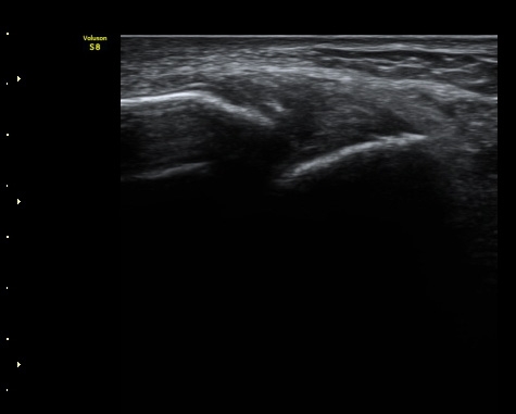
3ÁÖ ÈÄ ÃßÀû°Ë»ç¿¡¼­ ¹Ú¸®µÈ°ñÆíÀÌ °üÂûµÇ°í ÀδëÀÇ Àú¿¡ÄÚ ºÎÁ¾Àº ¾à°£
Áõ°¡µÈ ¼Ò°ßÀ» º¸ÀÓ(±×¸² 3, 4).
ÃÊÀ½ÆÄ°¨½ÃÇÏ °Å°ñºñ°ñÀÎ´ë °ßÀΰ˻翡¼­ °ñÆíÀÇ ¹ú¾îÁüÀÌ °üÂûµÇÁö ¾ÊÀ½(µ¿¿µ»ó 2).


´Ü¼ø¹æ»ç¼±°Ë»ç

ƯÀÌ ¼Ò°ß ¾øÀ½


ÀÚ±â°ø¸í°Ë»ç


Ä¡·á
3ÁÖ°£ ºÎ¸ñ °íÁ¤



 


ÃÊÀ½ÆÄ°Ë»ç´Â ¹æ»ç¼±ÃÔ¿µÀ̳ª ÄÄÇ»ÅÍ ÃÔ¿µ¿¡¼­µµ È®ÀεÇÁö ¾Ê´Â ¹Ì¼¼ °ß¿­°ñÀýÀ»
Áø´ÜÇÒ ¼ö ÀÖ°í ¶ÇÇÑ ÃÊÀ½ÆÄ Åõ½ÃÇÏ ºÎÇϰ˻縦 ½ÃÇàÇÔÀ¸·Î¼­ ÀδëÀÇ ¿ÂÁ¡ÇÔ(integrity)À»
È®ÀÎÇÒ ¼ö ÀÖ´Ù.

º» Áõ·ÊÀÇ °æ¿ì¿¡µµ ÃÊÀ½ÆÄ°Ë»ç¸¦ ½ÃÇàÇÏ¿© Á¤È®ÇÑ Áø´Ü°ú »óŸ¦ ÆÄ¾ÇÇÏ¿©
ÃÖÀûÀÇ Ä¡·á¸¦ ½ÃÇàÇÔÀ¸·Î¼­ ¹ß¸ñ ¿°Á ÈÄ ÈçÈ÷ ¹ß»ýÇÒ ¼ö ÀÖ ¹ß¸ñÀÇ ºÒ¾ÈÁ¤¼ºÀ»
¿¹¹æÇÑ °ÍÀ¸·Î ÆÇ´ÜµÇ¾î, ¹ß¸ñ ¼Õ»ó¿¡ À־ ÃÊÀ½ÆÄ°Ë»çÀÇ À¯¿ë¼ºÀ» ´Ù½Ã Çѹø
È®ÀÎÇÑ °æ¿ìÀÌ´Ù.

ÀÌÀü±Û ÃÊÀ½ÆÄ¿¡ ÀÇÇÑ ¹ß¸ñ Àü°Å°ñºñ°ñ ÀÎ´ë ÆÄ¿­ Áø´ÜÀÇ ½ºÆ®·¹½º °Ë»ç Á߿伺
´ÙÀ½±Û ¼Õ¸ñ ±¼°î°Ç ÆÄ¿­ÀÇ ÃÊÀ½ÆÄ À¯µµÇÏ PDRN ÁÖ»çÄ¡·á
       
°¡¸ÍÁ¡¸í : ½Ã¸®¾Ç½ºÁ¤ÇüÀÇÇבּ¸È¸
»ç¾÷ÀÚµî·Ï¹øÈ£ : 894-81-00627 | ´ëÇ¥ÀÚ : ÀåµÎÇõ
 
ÁÖ¼Ò : °æ±âµµ ¾çÆò±º ¿ë¹®¸é ¿ë¹®·Î 375-1, 2Ãþ 1È£
TEL : 010-2323-4055
E-mail : cyriax12@naver.com
ÀԱݾȳ»
±¹¹ÎÀºÇà | ½Ã¸®¾Ç½ºÁ¤ÇüÀÇÇבּ¸È¸(ÁÖ)
220401-04-194155