[ÆÈ²ÞÄ¡] ¼Õ¸ñ ±¼°î°Ç ÆÄ¿­ÀÇ ÃÊÀ½ÆÄ À¯µµÇÏ PDRN ÁÖ»çÄ¡·á
ÀÛ¼ºÀÚ : °ü¸®ÀÚ(khu3265442@naver.com) ÀÛ¼ºÀÏ : 2013-03-16 Á¶È¸¼ö : 4375
ÆÄÀÏ÷ºÎ : [mix]movie 1.mp4 [mix]movie 2.mp4

¼ºº° / ³ªÀÌ
³²ÀÚ / 53¼¼


ÁÖÁõ»ó
¿ìÃø ÆÈ²ÞÄ¡ ÅëÁõ


º´·Â
¾à 1³âÀü ¹ßº´ÇÏ¿© ºÀħÁÖ»ç µî ¿©·¯ °¡Áö Ä¡·á¸¦ ¹Þ¾ÒÀ¸³ª Áõ»ó È£Àü ¾ø¾î ³»¿ø.


ÀÌÇÐÀû °Ë»ç
ÆÈ²ÞÄ¡ °üÀý °¡µ¿ ¹üÀ§ Á¦ÇÑÀº ¾øÀ¸³ª ³»»ó°ú¿¡ ±¹¼ÒÀû ¾ÐÅëÀÌ ¶Ñ·ÈÇϰí ÀúÇ׿¡ ´ëÇÑ È¸³»(pronation) ½Ã ÅëÁõÀÌ ³ªÅ¸³². ¼Õ¸ñ ±¼°î ½Ã¿¡´Â ÅëÁõÀ» º¸ÀÌÁö ¾ÊÀ½.


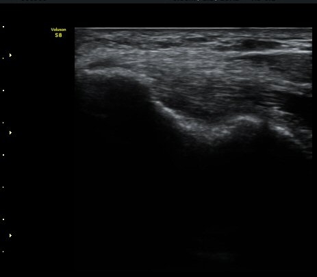
ÃÊÀ½ÆÄ °Ë»ç
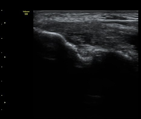
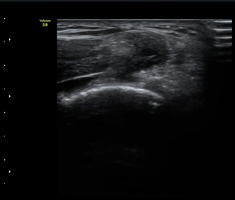
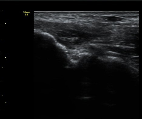
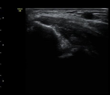
³»»ó°ú¿¡¼­ ¼Õ¸ñ±¼°î°Ç Á¾´Ü¸é°Ë»ç»ó ³»¤µ¾Æ°ú ÇÇÁú°ñÀÇ ºÒ±ÔÄ¢º¯È­¿Í ÈûÁÙ³» ¿¬°á¼º

¼Ò½Ç ¹× Àü¹ÝÀûÀÎ Àú¿¡ÄÚ ºÎÁ¾ÀÌ °üÂûµÈ´Ù(±×¸² 1, 2, 3). ±¼°î°Ç ÀϺδ Á¤»óÀûÀÎ °í¿¡ÄÚ

¼¶À¯ ¾ç»óÀ¸·Î °üÂûµÈ´Ù(±×¸² 4). ÈûÁ٠Ⱦ´Ü¸é °Ë»ç¿¡¼­µµ °Ç³» ¿¬°á¼º ¼Ò½Ç°ú Àú¿¡ÄÚ

º¯È­°¡ °üÂûµÈ´Ù(±×¸² 5).  ÃÊÀ½ÆÄÀ¯µµÇÏ ÁÖ»ç ½Ã ÁÖ»ç¾×ÀÌ °Ç³»¿¡¼­ ÀÚÀ¯·Ó°Ô ÆÛÁ®¼­

°ÇÀÇ ½ÉÇÑ ÆÄ¿­À» º¸¿©ÁØ´Ù(÷ºÎ ÆÄÀÏ µ¿¿µ»ó 1).


´Ü¼ø¹æ»ç¼±°Ë»ç


ÀÚ±â°ø¸í°Ë»ç


Ä¡·á
ÃÊÀ½ÆÄ À¯µµÇÏ PDRN Áõ½ÄÄ¡·á



 


ÃÊÀ½ÆÄ°Ë»ç ½Ã ÈûÁÙÀÇ ÆÄ¿­ÀÌ °üÂûµÇ´Â °æ¿ì¿¡´Â Áõ½ÄÄ¡·á(Æ÷µµ´ç, PDRN, PRP)°¡ °¡Àå ¿ì¼±ÀûÀÎ

ÁÖ»çÄ¡·á ¼±ÅÃÀÌ µÈ´Ù.

ÀÌÀü±Û °ß¿­°ñÀýÀ» µ¿¹ÝÇÑ Àü¹æ°Å°ñºñ°ñÀδëÀÇ ÃÊÀ½ÆÄ°Ë»ç, °ßÀÎ°Ë»ç ¹× Ä¡·á
´ÙÀ½±Û ±Þ¼º±â ¼®È¸È­¼º °ÇÃÊ¿°¿¡ÀÇÇÑ ½ÉÇÑ ¾î±úÀÇ ÅëÁõ
       
°¡¸ÍÁ¡¸í : ½Ã¸®¾Ç½ºÁ¤ÇüÀÇÇבּ¸È¸
»ç¾÷ÀÚµî·Ï¹øÈ£ : 894-81-00627 | ´ëÇ¥ÀÚ : ÀåµÎÇõ
 
ÁÖ¼Ò : °æ±âµµ ¾çÆò±º ¿ë¹®¸é ¿ë¹®·Î 375-1, 2Ãþ 1È£
TEL : 010-2323-4055
E-mail : cyriax12@naver.com
ÀԱݾȳ»
±¹¹ÎÀºÇà | ½Ã¸®¾Ç½ºÁ¤ÇüÀÇÇבּ¸È¸(ÁÖ)
220401-04-194155