[¾î±ú] Åëdz¿¡ ÀÇÇÑ Á¡¾×³¶¿°
ÀÛ¼ºÀÚ : °ü¸®ÀÚ(khu3265442@naver.com) ÀÛ¼ºÀÏ : 2013-03-16 Á¶È¸¼ö : 3810
ÆÄÀÏ÷ºÎ : bursitis.mp4

¼ºº° / ³ªÀÌ
¿©ÀÚ/72¼¼


ÁÖÁõ»ó
¿ìÃø ¾î±úÀÇ ÅëÁõ( 1´Þ)


º´·Â
¾à ÇÑ´Þ Àü Ưº°ÇÑ ÀÌÀ¯ ¾øÀÌ ¾î±úÀÇ ÅëÁõÀÌ ¹ß»ýÇÏ¿© Ÿº´¿ø¿¡¼­ ÃÊÀ½ÆÄ°Ë»ç ÈÄ ÁÖ»ç µî
ÇÑ´Þ°£ Ä¡·á¸¦ ¹Þ¾ÒÀ¸³ª Áõ»ó È£Àü ¾ø¾î ³»¿ø.


ÀÌÇÐÀû °Ë»ç
¾î±ú ¾ÕÂÊ¿¡ ºÎÁ¾ÀÌ °üÂûµÇ°í ±¼°î, ¿ÜȸÀü, ¿ÜÀüÀº 160, 80, 90µµ·Î °æ¹ÌÇÑ Á¦ÇÑÀ» º¸À̰í ÀúÇ׿¡ ´ëÇÑ ¿ÜÀü ½Ã ÅëÁõÀ» º¸ÀÓ. Ãæµ¹°Ë»ç¿¡¼­´Â ÀÌ»ó ¼Ò°ßÀ» º¸ÀÌÁö ¾ÊÀ½.


ÃÊÀ½ÆÄ °Ë»ç
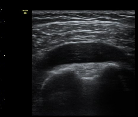
¾î±ú À̵ιڱ٠Ⱦ´Ü¸é°Ë»ç¿¡¼­ ½ÉÇÑ Á¡¾×³¶³» ¼ö¾×Àú·ù°¡ °üÂûµÇÁö¸¸ ÆÄ¿öµµÇ÷¯

°Ë»ç¿¡¼­ Ç÷·ùÁõ°¡´Â °üÂûµÇÁö ¾Ê´Â´Ù(±×¸² 1, 2).   À̵ιڱ٠¾Æ·¡ Ⱦ´Ü¸é°Ë»ç¿¡¼­

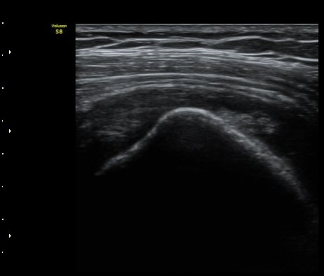
°üÀý³» ¼ö¾×Àú·ù´Â ¶Ñ·ÈÇÏÁö ¾Ê´Ù(±×¸² 3). ±Ø»ó°Ç Á¾´Ü¸é°Ë»ç¿¡¼­ Á¡¾×³¶³» ¼ö¾×

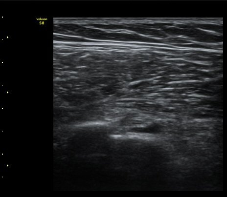
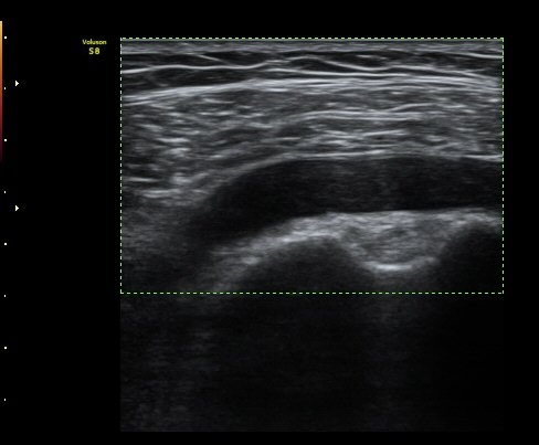
Àú·ù°¡ °üÂûµÈ´Ù(±×¸² 4, 5). ±Ø»ó°Ç Ⱦ´Ü¸é À­ ºÎºÐ¿¡¼­ °æ¹ÌÇÑ ¼ö¾×Àú·ù¸¦ º¸ÀδÙ(±×¸² 6).


´Ü¼ø¹æ»ç¼±°Ë»ç


ÀÚ±â°ø¸í°Ë»ç


Ä¡·á
ÃÊÀ½ÆÄ À¯µµÇÏ Á¡¾×³¶³» ÁÖ»çÄ¡·á(÷ºÎÆÄÀÏ µ¿¿µ»ó)



 


¿Ü°ß»ó ºÎÁ¾°ú ÃÊÀ½ÆÄ°Ë»ç»ó Á¡¾×³¶³» ¼ö¾×Àú·ù°¡ ½ÉÇÑ °æ¿ì, ±×·¯³ª ȸÀü±Ù°³¿¡´Â Å« ÀÌ»ó ¼Ò°ß

ÀÌ ¾ø°í Ãæµ¹°Ë»ç(impingement)¿¡¼­µµ ÀÌ»ó ¼Ò°ßÀ» º¸ÀÌÁö ¾Ê´Â °æ¿ì¿¡´Â ·ù¸¶Æ¼½º°üÀý¿°,

°­Á÷¼ºÃ´Ãß¿°, Åëdz µî  ¿°Áõ¼º Áúȯ¿¡ ÀÇÇÑ Á¡¾×³¶¿°À̳ª Ȱ¾×¸·¿°À» °¨º°Áø´Ü ÇØ¾ß ÇÑ´Ù.

º» Áõ·ÊÀÇ °æ¿ì Ç÷¾×°Ë»ç¿¡¼­ ¿ä»êÀÌ ³ô°Ô È®ÀεǾî Åëdz¿¡ ÀÇÇÑ Á¡¾×³¶¿°À¸·Î ÃßÁ¤ÇÒ ¼ö ÀÖ´Ù.

º» Áõ·ÊÀÇ °æ¿ì ÃÊÀ½ÆÄÀ¯µµÇÏ Á¡¾×³¶³»  ÁÖ»çÄ¡·á ´ÙÀ½ ³¯ ºÎÅÍ Å« Áõ»óÀÇ È£ÀüÀ» º¸¿´´Ù.

ÀÌÀü±Û ±Þ¼º±â ¼®È¸È­¼º °ÇÃÊ¿°¿¡ÀÇÇÑ ½ÉÇÑ ¾î±úÀÇ ÅëÁõ
´ÙÀ½±Û pirifrormis ±ÙÀ° ÁÖ»çÄ¡·á
       
°¡¸ÍÁ¡¸í : ½Ã¸®¾Ç½ºÁ¤ÇüÀÇÇבּ¸È¸
»ç¾÷ÀÚµî·Ï¹øÈ£ : 894-81-00627 | ´ëÇ¥ÀÚ : ÀåµÎÇõ
 
ÁÖ¼Ò : °æ±âµµ ¾çÆò±º ¿ë¹®¸é ¿ë¹®·Î 375-1, 2Ãþ 1È£
TEL : 010-2323-4055
E-mail : cyriax12@naver.com
ÀԱݾȳ»
±¹¹ÎÀºÇà | ½Ã¸®¾Ç½ºÁ¤ÇüÀÇÇבּ¸È¸(ÁÖ)
220401-04-194155