[¾ûµ¢ÀÌ] ü¿ÜÃæ°ÝÆÄ Ä¡·á ÈÄ ¼Ò½ÇµÈ ´ëÅðÁ÷±Ù ±â½ÃºÎ ¼®È¸È­(¼®È¸È­¼º °ÇÃÊ¿°)
ÀÛ¼ºÀÚ : °ü¸®ÀÚ(khu3265442@naver.com) ÀÛ¼ºÀÏ : 2013-01-26 Á¶È¸¼ö : 6811
ÆÄÀÏ÷ºÎ :

¼ºº° / ³ªÀÌ
³²ÀÚ/ 57¼¼


ÁÖÁõ»ó
¿ìÃø ¼­ÇýºÎ ÅëÁõ(ÇÑ´Þ)


º´·Â
ÇÑ´Þ ÀüºÎÅÍ ÀÌÀ¯ ¾øÀÌ ÅëÁõ ¹ß»ý. ´Ù¸®¸¦ ¾Õ, ¿·À¸·Î µé¸é ¾ÆÇÁ´Ù.


ÀÌÇÐÀû °Ë»ç
¾ûµ¢ÀÌ °üÀý, ±¼°î, ½ÅÀü Á¦ÇÑ ¹× ÅëÁõ ¹ß»ý. patric sign(+), ¼­ÇýºÎ¿¡ ±¹¼ÒÀû ¾ÐÅë(+).


ÃÊÀ½ÆÄ °Ë»ç

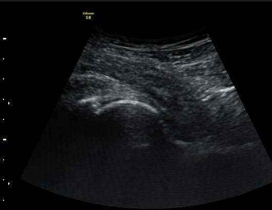
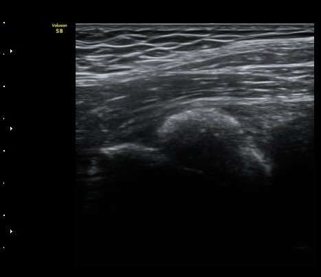
¾ûµ¢ÀÌ °üÀý Á¾´Ü¸é°Ë»ç¿¡¼­ ƯÀÌ ¼Ò°ßÀ» º¸ÀÌÁö ¾ÊÀ½(»çÁø 1).

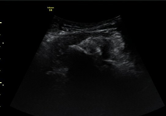
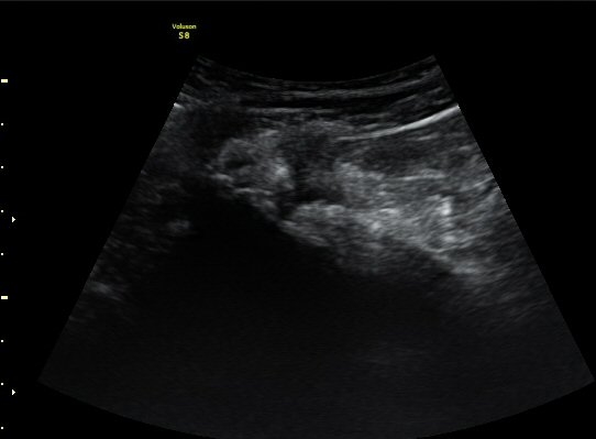
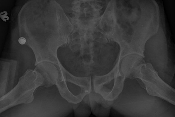
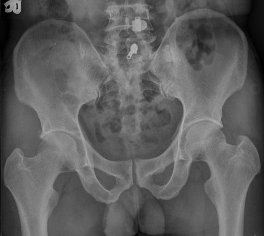
ŽÃËÀÚ¸¦ ¾ûµ¢ÀÌ °üÀý ¿ÜÃø Á¾´Ü¸é°Ë»ç ½Ã ÀüÇÏÀ屨(AIIS)¿¡¼­ ¼®È¸È­¼º À½¿µÀÌ °üÂûµÊ(»çÁø 2, 3).

¼±»óŽÃÊÀÚ¸¦ ÀÌ¿ëÇÑ °Ë»ç¿¡¼­ ÀüÇÏÀ屨ÀÇ ´ëÅðÁ÷±Ù ±â½ÃºÎ¿¡ ¼®È¸È­ À½¿µÀÌ ¶Ñ·ÈÈ÷
°üÂûµÊ(»çÁø 4, 5).


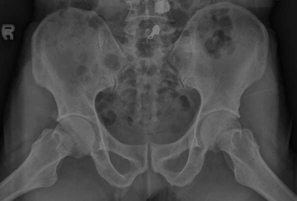
´Ü¼ø¹æ»ç¼±°Ë»ç
ÃÊÁø ½Ã ½ÃÇàÇÑ ¹æ»ç¼± ÃÔ¿µ»ó ÀüÇÏÀ屨 ºÎÀ§¿¡¼­ ¼®È¸È­ À½¿µÀÌ °üÂûµÇ°í, 3ÁÖ ÈÄ ½ÃÇàÇÑ ÃÔ¿µ¿¡¼­
¼®È¸È­ À½¿µ ¼Ò½ÇÀÌ È®ÀεÊ.


ÀÚ±â°ø¸í°Ë»ç


Ä¡·á
1ÁÖ °£°ÝÀ¸·Î ü¿ÜÃæ°ÝÆÄÄ¡·á 2ȸ¿Í ¾à¹°Ä¡·á



 


°í°üÀý ÁÖÀ§ÀÇ ÅëÁõÀº  ´Ù¾çÇÑ ¿øÀÎÀ¸·Î ¹ß»ýÇÒ ¼ö ÀÖ°í Æ¯È÷ ¿äÃß º´º¯¿¡ ÀÇÇÑ ¹æ»çÅë¿¡ ÀÇÇÑ
°æ¿ìµµ ÈçÇÏ¿© Á¤È®ÇÏ°Ô ÅëÁõÀÇ ¿øÀÎÀ» ±Ô¸íÇϱⰡ ½±Áö ¾Ê´Ù. ±×·¯³ª ÅëÁõ ºÎÀ§°¡ ¼­ÇýºÎ³ª
ÅÂÅð ¾ÕÂÊ ¶Ç´Â ³»ÃøÀÎ °æ¿ì °í°üÀýÀÇ  º´º¯À» °­·ÂÈ÷ ½Ã»çÇÏ°í Æ¯ÀÌ °í°üÀý ¿òÁ÷ÀÓ ½Ã ÅëÁõÀÌ
À¯¹ßµÇ¸é °í°üÀý ÀÚü º´º¯À» °­·ÂÈ÷ ½Ã»çÇÏ´Â ¼Ò°ßÀÌ´Ù.

°í°üÀý º´º¯ÀÌ ÀǽɵǴ °æ¿ì¿¡´Â ½Ã¸®¾Ç½º Á¤ÇüÀÇÇÐ Áø´Ü¹æ¹ýÀÌ ¸Å¿ì À¯¿ëÇѵ¥
°üÀý°¡µ¿¹üÀ§ °Ë»ç¸¦ ½ÃÇàÇÏ¿© °üÀý³¶¾ç»óÀ» º¸ÀÌ´Â °æ¿ì °üÀý¿°, Ȱ¾×¸·¿°, ´ëÅð°ñµÎ±«»ç¸¦
ÃßÁ¤ÇÒ ¼öÀÖ°í, °üÀý ±¼°îÀÌ °æ¹ÌÇÏ°Ô Á¦ÇÑµÇ°í ³»Àü ½Ã ÅëÁõÀÌ ¾ÇÈ­µÇ´Â °æ¿ì¿¡´Â
Ãæµ¹ÁõÈıºÀ» È®ÀÎÇØ¾ßÇÑ´Ù.
°í°üÀý ¿ÜÀü ½Ã ÅëÁõÀ» º¸À̰í patric sign ¾ç¼º ¼Ò°ßÀ» º¸ÀÌ´Â °æ¿ì¿¡´Â ´ëÀüÀÚÁ¡¾×³¶¿°À»
°­·ÂÈ÷ ½Ã»çÇÏ´Â ¼Ò°ßÀÌ´Ù.

Á·±¸³ª Ã౸ µî ¿îµ¿ ÈÄ ½ÉÇÑ ÅëÁõÀÌ ¹ß»ýÇÏ¿´´Ù¸é ±ÙÀ°ÀÇ ÆÄ¿­À̳ª ÀüÇÏÀ屨ÀÇ °ß¿­°ñÀýÀ» È®ÀÎÇØ¾ß ÇÑ´Ù.

½ºÆ÷Ã÷ Ȱµ¿¾øÀÌ ½ÉÇÑ ÅëÁõÀÌ ¹ß»ýÇÏ´Â °æ¿ì Ȱ¾×¸·¿°À̳ª ¼®È¸È­¼º°ÇÃÊ¿°À» ÀǽÉÇØ¾ß ÇÑ´Ù.  

º» Áõ·Ê¿¡¼­´Â ½ºÆ÷Ã÷ Ȱµ¿ ¾øÀÌ ½ÉÇÑ ¼­ÇìºÎÅëÁõÀÌ ¹ß»ýÇÏ¿© ¿°Áõ¼º ÁúȯÀ» ½Ã»çÇÏ¿´À¸³ª
ÃÊÀ½ÆÄ°Ë»ç»ó °í°üÀý³» ¼ö¾×Àú·ù¸¦ º¸ÀÌÁö ¾Ê¾Ò°í ÀüÇÏÀ屨¿¡ ¼®È­È­ À½¿µÀ» º¸¿© Áø´Ü¿¡
¾î·Á¿òÀÌ ¾ø¾ú´Ù.

°í°üÀý ÁÖº¯ÀÇ ¼®È¸È­¼º º´º¯Àº ´ëÅðÁ÷±Ù ±â½ÃºÎ(direct head, indirected head)¿Í °üÀý¼ø ºÎÀ§ µî
´Ù¾çÇÑ ºÎÀ§¿¡ ¹ß»ýÇϱ⠶§¹®¿¡ ÃÊÀ½ÆÄ°Ë»ç¸¦ ¼¼¹ÐÇÏ°Ô ½ÃÇàÇÏ¸é ´ëºÎºÐ Áø´ÜÀÌ °¡´ÉÇÏ´Ù.
¼®È¸È­ÀÇ ¼º»óÀ̳ª À§Ä¡¿¡ µû¶ó ¹æ»ç¼±°Ë»ç¿¡¼­´Â °üÂûµÇÁö ¾ÊÀ» ¼ö Àֱ⠶§¹®¿¡ ÁÖÀÇÇØ¾ß ÇÑ´Ù.

Áõ»ó È£Àü¿¡ °¡Àå ºü¸¥ È¿°úÀûÀÎ ¹æ¹ýÀº ÃÊÀ½ÆÄÀ¯µµÇÏ ½ºÅ×·ÎÀ̵å¿Í ±¹¼Ò¸¶ÃëÁ¦¸¦ ÁÖ»çÇÏ´Â
°ÍÀ̰í ü¿ÜÃþ°ÝÆÄÄ¡·á°¡ ¼®È­È­ ¼Ò½Ç¿¡ È¿°úÀûÀ̶ó´Â º¸°íµµ ÀÖ´Ù.

º» Áõ·Ê¿¡¼­´Â 1ÁÖ °£°ÝÀ¸·Î ü¿ÜÃþ°ÝÆÄÄ¡·á¸¦ ½ÃÇàÇÏ¿´°í ¹°¸®Ä¡·á¿Í ¾à¹°Ä¡·á¸¦ º´ÇàÇÏ¿´´Ù.

Ä¡·á ½ÃÀÛ 1ÁÖ ÈÄ ºÎÅÍ ÅëÁõÀÌ °æ°¨ÇÏ¿´°í 2ÁÖ ÈÄ Áõ»óÀÌ Å©°Ô È£Àü µÇ¾úÀ¸¸ç 3ÁÖ °æ¿¡´Â
Áõ»óÀÌ °ÅÀÇ ¾ø°í ÀÌÇÐÀû°Ë»ç ¼Ò°ßÀÌ Á¤»óÈ­µÇ¾ú°í ¹æ»ç¼± ÃßÀû°Ë»ç¿¡¼­ ¼®È¸È­ ¼Ò½Çµµ
È®ÀεǾú´Ù.

±¹³»¿Ü¿¡¼­ ¼Ò¼öÀÇ ´ëÅðÁ÷±Ù ¼®È¸È­°ÇÃÊ¿° Áõ·Ê º¸°í´Â ÀÖ¾úÀ¸³ª ´ëºÎºÐ Ä¡·á °á°ú¿¡
´ëÇÑ º¸°íÀÌ°í ¼®È¸ÀÇ ¼Ò½Ç¿¡ ´ëÇÑ º¸°í´Â ¸Å¿ì µå¹°´Ù.

º»ÀÎÀÌ 2010³â º¸°íÇÑ À¯»ç Áõ·Ê¿¡¼­ ÁÖ»çÄ¡·á°¡ ¸Å¿ì À¯¿ëÇÔÀ» º¸°íÇѹ٠ÀÖ´Ù.
 


Âü°í¹®Çå

1) ´ëÅðÁ÷±Ù¿¡ ¹ß»ýÇÑ ¼®È¸È­°Ë¿° : Áõ·Ê º¸°í, ÀÓ»óÅëÁõÇÐȸÁö vol 10 No. 2. 2011

http://pdf.medrang.co.kr/paper/pdf/Cpain/Cpain010-02-08.pdf


2) ´ëÅðÁ÷±Ù¿¡ ¹ß»ýÇÑ ¼®È¸È­ °Ç¿°, ´ëÇÑÁ¤Çü¿Ü°úÇÐȸÁö 

http://www.google.co.kr/url?q=http://www.koa.or.kr/journal/download.php%3Fpath%3DL2hvbWUvdmlydHVhbC9rb2EvbmV3L3VwbG9hZC9qb3VybmFsLzEvMV8yMDA0MDAzOTAzXzAxMDk3NS5wZGY%3D%26filename%3DMV8yMDA0MDAzOTAzXzAxMDk3NS5wZGY%3D%26sid%3D10975&sa=U&ei=frMDUeycH4WUkgWBqIDADQ&ved=0CCUQFjAGOAo&usg=AFQjCNEEWuZUjvu3lLntITp8lqkl1uZOaw


3. Case report: calcific tendinitis of the rectus femoris: a rare cause of snapping hip.
Pierannunzii L, Tramontana F, Gallazzi M. Clin Orthop Relat Res. 2010 Oct;468(10):2814-8.

https://www.ncbi.nlm.nih.gov/pubmed/20054675

ÀÌÀü±Û ¾î±ú°üÀý °ßºÀ¿À±¸µ¹±âÀÎ´ë ¾Æ·¡¿¡¼­ Ãæµ¿ÁõÈıº ÃÊÀ½ÆÄ ¼Ò°ß(Áõ·Ê 2)
´ÙÀ½±Û ÈûÁÙÀÇ ºÎÁ¾ÀÌ ½ÉÇÏ¿© ÆìÁöÁö ¾È´Â ¹æ¾Æ¼è ¼Õ°¡¶ô
       
°¡¸ÍÁ¡¸í : ½Ã¸®¾Ç½ºÁ¤ÇüÀÇÇבּ¸È¸
»ç¾÷ÀÚµî·Ï¹øÈ£ : 894-81-00627 | ´ëÇ¥ÀÚ : ÀåµÎÇõ
 
ÁÖ¼Ò : °æ±âµµ ¾çÆò±º ¿ë¹®¸é ¿ë¹®·Î 375-1, 2Ãþ 1È£
TEL : 010-2323-4055
E-mail : cyriax12@naver.com
ÀԱݾȳ»
±¹¹ÎÀºÇà | ½Ã¸®¾Ç½ºÁ¤ÇüÀÇÇבּ¸È¸(ÁÖ)
220401-04-194155