[¾ûµ¢ÀÌ] °ñ Á¾¾ç¿¡ ÀÇÇÑ Á°ñ½Å°æ º´Áõ(sciatic neuropathy due to bony mass)
ÀÛ¼ºÀÚ : °ü¸®ÀÚ(khu3265442@naver.com) ÀÛ¼ºÀÏ : 2012-05-25 Á¶È¸¼ö : 4138
ÆÄÀÏ÷ºÎ :

¼ºº° / ³ªÀÌ
³²ÀÚ/44


ÁÖÁõ»ó
¿ìÃø ÇÏÁö ¹æ»çÅë ¹× Àú¸²Áõ(2´Þ)


º´·Â
Ưº°ÇÑ ÀÌÀ¯ ¾øÀÌ Áõ»ì ¹ß»ý


ÀÌÇÐÀû °Ë»ç
¹ß¸ñ°ú ¾öÁö¹ß°¡¶ô ¹è±¼ÀÌ G-Á¤µµ·Î °¨¼ÒµÇ°í ¹ß ÀüüÀÇ °¨°¢ÀÌ ÀúÇϵÊ.
Ç㸮ÀÇ ¿îµ¿Àº Á¦ÇÑÀ» º¸ÀÌÁö ¾ÊÀ½.


ÃÊÀ½ÆÄ °Ë»ç
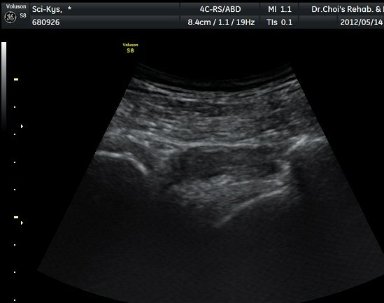
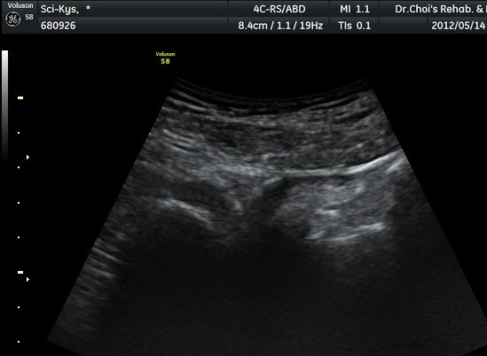
¾ûµ¢ÀÌ Á°ñ¿¡¼­ Á°ñ½Å°æ Ⱦ´Ü¸é°Ë»ç¿¡¼­ ´ëµÐ±Ù°ú quadratus femoris »çÀÌÀÇ ±Ù¸·
°æ°èºÎ¿¡¼­ Á°ñ½Å°æÀÌ °üÂûµÇ´Âµ¥ ³»Ãø Á°ñ°áÀý(ischial tuberosity) ÃøÀ¸·Î Ä¡¿ìÃÄ
ÀÖ´Â °ÍÀ¸·Î ÆÇ´ÜµÈ´Ù(±×¸² 1, 2, 3).

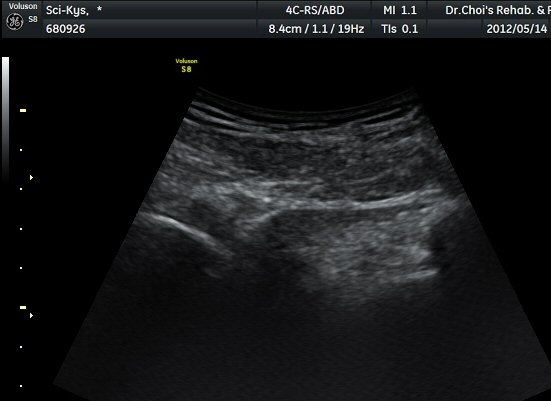
Á¤»óÃø(±×¸² 6, 7)°ú ºñ±³Çϸé Á°ñ½Å°æÀÇ ³»Ãø ÀüÀ§°¡ ¶Ñ·ÈÇÏ´Ù.

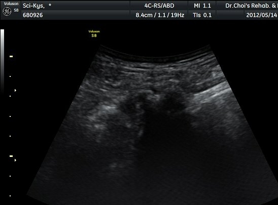
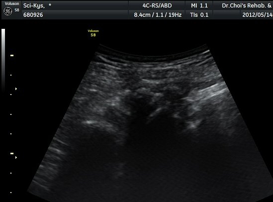
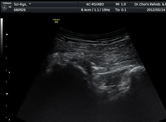
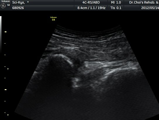
ŽÃËÀÚ¸¦ ¾à°£ ±ÙÀ§ºÎ·Î À̵¿ÇÏ´Ï °æ°è°¡ ºÒºÐ¸íÇÑ »À°¡ Á°ñ½Å°æ ¿ÜÃø¿¡¼­ µ¹ÃâÇϸ鼭
Á°ñ½Å°æÀ» ³»ÃøÀ¸·Î ½ÉÇÏ°Ô ÀüÀ§½ÃŲ´Ù(±×¸² 4, 5).


´Ü¼ø¹æ»ç¼±°Ë»ç


ÀÚ±â°ø¸í°Ë»ç


Ä¡·á
Àü¿ø




ÀÌÀü±Û ¹ß¸ñ°ú ¹ß°¡¶ô ½ÅÀü°Ç °ÇÃÊ¿°(tendinitis of ankle and toe extensor tendon)
´ÙÀ½±Û õºñ°ñ½Å°æ ½Å°æÁ¾¾ç(neuroma of superficial peroneal nerve)
       
°¡¸ÍÁ¡¸í : ½Ã¸®¾Ç½ºÁ¤ÇüÀÇÇבּ¸È¸
»ç¾÷ÀÚµî·Ï¹øÈ£ : 894-81-00627 | ´ëÇ¥ÀÚ : ÀåµÎÇõ
 
ÁÖ¼Ò : °æ±âµµ ¾çÆò±º ¿ë¹®¸é ¿ë¹®·Î 375-1, 2Ãþ 1È£
TEL : 010-2323-4055
E-mail : cyriax12@naver.com
ÀԱݾȳ»
±¹¹ÎÀºÇà | ½Ã¸®¾Ç½ºÁ¤ÇüÀÇÇבּ¸È¸(ÁÖ)
220401-04-194155